歯の黄ばみの原因

歯の黄ばみの原因とは

歯科医院の歯のクリーニング専用の機械で歯を磨かれている様子

歯の黄ばみの原因には外因性と内因性のものがあります。大人だけではなく、子供の歯も同じ用に歯の黄ばみが発生することがあります。今回は黄ばみの原因や防止方法をお伝えします。

1.飲み物や食べ物・たばこ

歯の黄ばみの原因は赤ワインやカレー、コーヒーなどが代表的なものです。 これらの食品が歯の表面を覆っている「ペリクル」に付着すると色素と反応し歯が黄ばんで見えます。この黄ばみは着色やステインと呼ばれます。 また、食品だけでなくたばこのヤニも歯の表面に付着して着色汚れになります。

コーヒーカップにコーヒーが入っている写真

2.プラークや歯石

歯磨きしても磨き残しがあると、お口の中にプラークが残ってしまいます。 プラークが着いたままになると、石灰化をし始めて硬い歯石になります。 プラークも歯石も黄ばんだような色で口臭の原因にもなります。
さらに、プラークが着いたままだと、歯の表面を溶かす「脱灰」を引きおこします。初期の段階であれば、再石灰化で元に戻ります。ただ、むし歯が進行して脱灰が進むと歯の表面の透明感がなくなり、歯の黄ばみが目立つようになります。

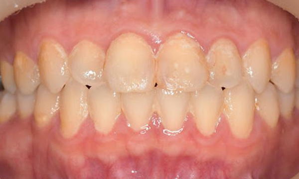
プラークや歯石の付着した口腔内写真

3.加齢によるもの

歯の色は歯の表面のエナメル質と象牙質の色に左右されます。 象牙質は黄ばんだ色をしているのですが、エナメル質で覆われているので通常は見えることがありません。 ただし、加齢によって少しずつエナメル質がすり減っていくと、象牙質が見えやすくなり歯の色が黄ばんだように見えるのです。 歯の色が1人1人違うのは、エナメル質と象牙質にも個人差があるためです。

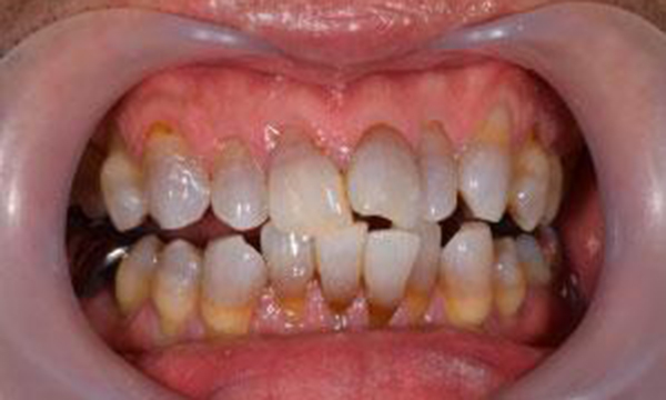
加齢による着色をした口腔内写真

4.生まれつきの歯の色

日本人の歯の色は生まれつき黄色っぽい人が多いです。 肌の色に個人差があるように、歯にも生まれつきの個性があります。 これは、日本人のエナメル質が薄い傾向にあり、中の象牙質が透けて見えるので黄色味がかかった歯の人が多いのです。

顎を押さえ微笑む女性

5.薬の副作用によるもの

小さい頃に服用していた薬が原因で歯の色が黄ばんでしまうケースもあります。 昭和40年ごろに風邪薬のシロップで使用されていたテトラサイクリン系の薬を歯の形成時期の0~12歳の頃に多量に摂取していると、副作用として歯の変色が起きます。 特徴としては、歯の色に灰色がかったり、縞模様ができたりすることがあります。

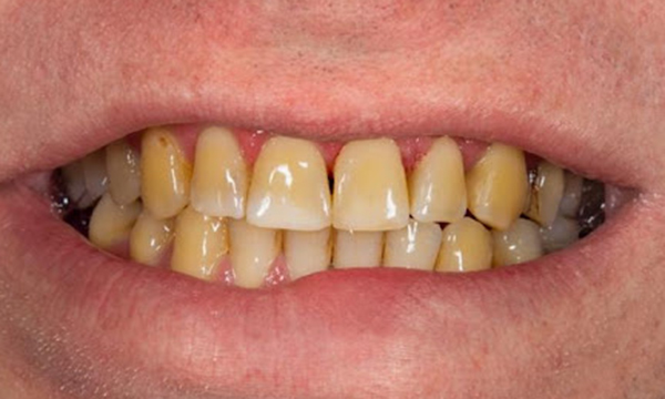
薬の副作用により変色してしまった歯がある口腔内写真

6.つめ物を入れた・被せ物を入れた
歯の色

つめ物やかぶせ物を入れた歯が黄ばんでしまうケースがあります。 レジンという材料の性質上、吸水性があり時間が経つと着色、変色してしまいます。つめ直しや新しいかぶせ物を入れて治療することで改善することができます。 かぶせ物の場合、セラミックのかぶせ物を入れることで歯の色をキープすることができます。

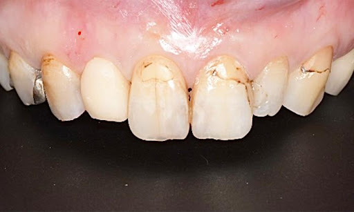
レジンという素材を詰めて治療している歯があり、その部位に経年的な着色が見られる口腔内写真
セラミック治療

歯の黄ばみを落とす方法

東松原歯科の院内にある診療台

1.着色汚れや歯石の場合

着色汚れが付きそうな食事をした際は、ホワイトニング用の歯磨き粉で磨いてみましょう。また、着色しやすい食品を摂取した時にはうがいをして着色が着きにくいように工夫しましょう。 プラークや歯石は磨き残しが原因で付着するので、細かく歯ブラシを当ててできるだけ汚れを落とすことが大切です。 付いてしまい取れない着色は、歯医者でクリーニングをすると落とすことができます。

2.生まれつきや加齢、薬の影響の場合

生まれつきや加齢、薬の影響の場合には象牙質が影響しているので、歯磨きやクリーニングでは白くなりません。これらの歯の黄ばみはホワイトニングをして薬を反応させると歯の黄ばみを改善できることがあります。個人差があるためかかりつけの歯科医院でしっかり相談後に施術を受けましょう。 ホワイトニングには歯医者で行う「オフィスホワイトニング」と自宅でマウスピースをはめる「ホームホワイトニング」があります。

オフィスホワイトニングはすぐに効果を実感しやすく、数回で白さをアップすることが出来ます。歯科医師や歯科衛生士が施術してくれるのでセルフケアが苦手という方におすすめの方法です。

ホームホワイトニングは自宅でマウスピースをはめるだけでホワイトニングができるので自分のペースでホワイトニングを行うことが出来ます。 徐々に白くなるので、少し期間や回数はかかりますが、その分色の後戻りが遅いメリットがあります。

歯の黄ばみを予防する方法

1.着色しやすい食品を摂取した時にはうがいや歯みがきをする

着色しやすい食品はたくさんあるので、すべて避けるのは難しいものです。 そのような食品を摂取した時には、歯磨きをして着色が着くのを防ぎましょう。すぐに歯磨きが難しい時にはうがいでも効果があります。

2.唾液を増やす工夫をする

プラークの汚れや着色汚れが着きにくくするために、唾液を増やすと自浄作用があり効果的です。唾液の自浄作用は汚れを洗い流してくれる作用です。 唾液を増やすためには「よく噛んで食事をする」「口の中が乾燥しないようにする」ことが大切です。 すぐに実践できるので、取り入れてみてくださいね。

まとめ

歯の黄ばみの原因により対処方法が異なります。歯の黄ばみ汚れを自分で落とそうとして歯や歯ぐきを傷つけてしまう方がいらっしゃいますが、自己判断せず歯科医院で自分にあったクリーニングやホワイトニング、セルフケアを聞いてみましょう。