予防歯科

予防歯科について

親子で歯ブラシをする様子

クリーニング(スケーリング)

スケーリングは、歯周病や虫歯の原因になる歯石・プラークを除去することです。歯石の除去は「手用スケーラー」や「超音波スケーラー」といわれる器具を使用して行います。

超音波スケーラーは超音波の細かい振動で歯石を歯から除去する効果があります。スケーリングに使う器具は、歯石の付着している場所によって使いわけていて、痛みが出やすい深い部分は手用スケーラーを使用します。スケーリングを行った後に歯の表面をツルツルにする為、ブラシで磨いていきます。

超音波の振動で汚れを落とすイメージイラスト

虫歯の予防にかかせない習慣

小さな虫歯、放置するとどうなる?

虫歯になりにくい習慣を身につける

クリーニングの流れ

歯科医院の歯のクリーニング専用の機械で歯を磨かれている様子

STEP1 口腔内検査・カウンセリング

歯のクリーニングを定期的におこない、チェックすることでお口の中の環境を整えることができます。治療前にカウンセリングをして、患者さまに合ったクリーニングや治療の間隔を提案いたします。

男性の患者さまの問診をとる笑顔の女性スタッフ

STEP2 口腔内写真撮影

クリーニング前に口の中を撮影して、口の中を記録すると汚れが着いている場所も確認できます。また、過去の口の中と比較して経過もたどることができます。

口腔内の撮影をするためのカメラの写真

STEP3 歯石除去

歯ぐきの上にある歯石は、超音波のスケーラーの振動で除去していきます。歯ぐきが下がって知覚過敏を感じやすい方や音や振動が苦手な方は遠慮せずに伝えてください。ほかの器具を使用して歯石を除去することもできます。

歯科医院で使用する超音波の機械の先から水が滴る様子

STEP4 フロッシング

歯と歯の間は歯ブラシだけでは汚れが残ってしまうことが多いので、デンタルフロスで汚れを落としていきます。

デンタルフロス(糸のみと柄付きの数種類)の写真

STEP5 表面を研磨する

歯の表面を研磨剤で磨いていきます。研磨することで歯の表面に汚れが着きにくく、着色も落とすことができます。

歯科医院の歯のクリーニング専用の機械で歯を磨かれている様子

どれくらいの頻度でクリーニングを
受けるのが良いか

患者さまの口の中の清掃状況や歯周病の進行度合いなどで個人差はありますが、平均で3~6カ月に1度の期間のクリーニングが効果的です。

自宅でのケアがしっかりと行えていて、歯周病や虫歯のリスクが低い方は期間は長めで、虫歯や歯周病のリスクが低い方は期間を短めにすることが多いです。

通院頻度~何回も通うのはなぜ?~

リコール(定期検診)の重要性

歯石やバイオフィルムについて

細菌のイメージイラスト

歯石について

歯石の前の段階のプラークは歯の表面や歯の間に着いた白くネバネバしたものです。
このプラークの中には多くの細菌が住みついていて、1グラムで1000億以上もの細菌が生息しています。

歯石はプラークが唾液の中のカルシウムやリンと結びついて「石灰化した塊」のことをいいます。

また、歯石になると、歯ブラシで取ることが難しいため、歯科医院で除去することが必要です。
そのため、歯石になる前のプラークの段階でブラッシングやデンタルフロスで汚れを除去することが大切です。

バイオフィルムとは

バイオフィルムは微生物が集合したものです。水がある所にぬるぬるした膜を形成します。
例えば、お風呂場の排水口などにみられる粘着物がバイオフィルムです。口の中では、細菌のかたまりであるプラークもバイオフィルムに含まれます。
歯にしっかりと着いて、うがいでは落ちにくくブラッシングが必要です。またバイオフィルムは細菌の毒素が溜まって、歯周病を誘発します。このバイオフィルムやプラークは放置すると、歯周病になるので早めに除去する必要があります。

歯の周りに歯石・バイオフィルム・細菌がまとわりつくイメージイラスト

歯ぐきの検査の概要

歯周病検査を受けている様子

プローブという器具で、歯ぐきの内部を調べて、歯周病の進行や回復状態をチェックします。

歯ぐきの深さを測定して、歯ぐきの内側を触って状態を確認します。プローブから伝わる感覚で歯石がついているか確認できます。また出血や歯周ポケットの深さで炎症や進行度合いが分かります。また出血や歯周ポケットの深さで炎症や進行度合いが分かります。

歯周ポケットの深さの進行度合い

健康な歯ぐき 3ミリ以下
中等度歯周病 4~6ミリ
重度歯周病 7ミリ以上

歯ブラシ・フロス・
歯間ブラシについて

コップに入った歯ブラシ2本とタオルの写真

1.歯ブラシ

子供の歯ブラシの選び方について
子供の歯ブラシ選びのポイントをご紹介します。

乳幼児期 0~2歳

まずは歯ブラシに慣れることを目標にしましょう。

  • 歯ブラシに慣れるために、持ち手は
    「真っすぐ太めのもの」がおすすめです。
  • もし転んだ時のために、ハンドルは曲がるものや喉まで届かない設計の歯ブラシが安心です。
  • ヘッドは小さめで、毛先はお口に優しいやわらかめのものがおすすめです。

幼児期 3~6歳

歯みがきに慣れてくる時期なので、自分で磨く習慣をつけてあげましょう。

まだ、完全に磨くことは難しいので保護者が仕上げ磨きを行いましょう。

  • 持ち手は引き続き「真っすぐ太め」のものが
    おすすめです。
  • ヘッドは小さめのものがおすすめですが、乳幼児期より一回り大きいものを選びましょう。
  • 歯ブラシの毛の硬さはふつうで平切りカットのものを選びましょう。

児童期 6~12歳

乳歯から永久歯に生え変わって、磨きにくい時期なので、鏡を見ながら縦や斜めに磨いて毛先がきちんと当たるようにしましょう。

  • 奥まできちんと磨けるように持ち手が長い歯ブラシがおすすめです。
  • 乳歯と永久歯が入り混じるので、小回りが利く「コンパクトヘッド」で毛の硬さは「ふつう」のものがおすすめです。

大人の歯ブラシの選び方

歯ブラシ選びの3つのポイントをご紹介します。

ヘッドの大きさ

  • ヘッドの大きさは、ヘッドが口の中に合ったものを選びましょう。
  • 少し小さめのヘッドは奥歯や細かい所も磨き
    やすいです。
  • ヘッドが大きいと細かい所に磨き残しが出てしまうことがあります。
  • きちんと汚れを落とせて歯の隙間なども磨きやすいものを選びましょう。

毛先

毛の硬さは、「かため」「ふつう」「やわらかめ」のものがありますが、歯ぐきに合っているものを選びましょう。
歯ぐきに問題がない時にはふつうがおすすめで、少し炎症がある時にはやわらかめのものが良いでしょう。

毛先のタイプ

毛先のタイプは極細やふつうのものがありますが、歯ぐきの境目を磨く時には毛先が細くなっているものがおすすめです。

正しい歯ブラシ使い方、ブラッシングについて

歯ブラシの当て方のポイントを紹介します。

細かく動かす

歯を1~2本ずつ細かく歯ブラシを動かして磨いてみましょう。

毛先が当たっているか確認

歯の面、歯と歯の間に毛先が当たっているか確認しましょう。歯と歯ぐきの境目は毛先が入り込むように45度位の角度をつけて細かく動かしてみましょう。

軽い力で動かす

毛先が広がらない200~300グラム程度の軽い力で磨きましょう。

ブラッシングの工夫

歯並びがデコボコの部分

1本ずつ歯を歯ブラシで磨くイメージイラスト

デコボコの部分は歯ブラシが当たりにくいので、1本ずつ歯ブラシを縦に当てましょう。

歯と歯ぐきの境目

歯と歯茎の境目に向かって斜め45度で歯ブラシを当てるイメージイラスト

歯と歯ぐきの境目は毛先が入り込むように45度位の角度をつけて細かく動かしましょう。

2.フロス

フロスとは

デンタルフロス(糸のみと柄付きの数種類)の写真

歯と歯の間の汚れを除去する補助清掃用具です。ホルダーに糸がついているホルダータイプと糸だけの糸巻きタイプがあります。糸巻きタイプは手に巻き付けて使用するので、コストは安いですが、慣れるまでに少しコツが必要です。

フロスが必要な理由

歯と歯の間の汚れを取るには、歯ブラシだけでは不十分で6割程度しか落とせないといわれています。フロスを使用すると、歯と歯の間の汚れを効果的に除去できるので9割程度まで汚れが除去できるようになります。

正しいフロスの使い方

ホルダータイプの使い方

歯と歯の間に柄付きのデンタルフロス(糸ようじ)を通すイメージイラスト

鏡で歯と歯の間を確認してフロスの糸の部分を当てます。ゆっくりのこぎりを引くように、歯と歯の間に通していきます。歯の面に沿わせて、前の面と後ろの面に分けて順番に糸を通しましょう。

糸巻きタイプの使い方

歯と歯の間に糸のみのデンタルフロスを通すイメージイラスト

フロスを40センチ程度に切って、中指に巻き付けます。15センチくらいになるように調整して親指とひと差し指で固定します。こちらも歯と歯の間にゆっくりのこぎりを引くように入れていきます。勢いよく入れると、歯ぐきを傷つけるので、気をつけましょう。

子供にもフロスって必要?

歯と歯の間は汚れが残りやすく、虫歯になりやすい場所です。子供もフロスを通して、虫歯予防をしましょう。
また、小さい頃からフロスを通す習慣を続けていると、自然と大人になってもケアをする習慣が身につくと言われています。

3.歯間ブラシ

歯間ブラシとは

歯間ブラシ3本の写真

歯間ブラシは、歯と歯の隙間に針金にナイロンが付いているブラシ、ゴム製の細いブラシと多くの種類があります。いずれもプラークを除去する補助清掃用具です。歯の隙間が狭すぎる場合は、使用できないことがあります。

歯間ブラシが必要な理由

歯と歯の隙間が大きくなると、その隙間に多くのプラークや食べかすが付着します。
デンタルフロスでも汚れは取れるのですが、歯間ブラシの方が効果的に汚れを除去できます。ただし、隙間が小さい部分に無理に歯間ブラシを入れると歯ぐきを傷めることがあるので、サイズは小さい物から選びましょう。サイズに悩まれる方は、歯科医院で歯間ブラシのサイズを聞くと良いでしょう。

正しい歯間ブラシの使い方

  1. 歯と歯の隙間を確認するために、鏡を見ながら行いましょう。
  2. 噛む面に向かって少し斜めに入れます。
  3. 歯間ブラシを水平にして、歯の面に合わせて2~3回動かして汚れを取ります。奥歯が内側と外側の両面から入れて動かしましょう。
  4. 使い終わったら水洗いしてしっかりと乾かしましょう。使い捨て推奨の歯間ブラシは1度で捨てましょう。

子供にも歯間ブラシって必要??

歯ブラシを嬉しそうに加えようとする女の子の写真

子供は歯と歯の間も小さく歯間ブラシが通らないことが多いです。デンタルフロスで汚れを除去できるのでデンタルフロスで汚れを除去しましょう。
矯正治療でワイヤーが付いている場合、汚れをしっかり落とすために歯間ブラシを使用していただくことがあります。

PMTCについて

PMTCとは

着色で汚れている歯をラバーカップという機械で歯を綺麗に磨くイメージイラスト

PMTCは歯のクリーニングのことで、毎日のセルフケアでは落としきれないプラークや着色汚れを専用の機械で落とすことです。表面をツルツルに磨くことで、プラークが着きにくくなるので虫歯や歯周病になりにくいメリットがあります。

PMTCが必要な理由

先の鋭利な器具で歯に付着した汚れを落とすイメージイラスト

PMTCは歯ブラシではなかなか落とすことができない細菌の塊「バイオフィルム」を除去することができます。
また、歯の表面だけでなく、歯ぐきの境目のプラークを落とすことができるので歯ぐきの炎症や歯周病の予防を目的としておこないます。ヤニや着色を除去することも可能です。

PMTCは何歳からやる方がいい??

PMTCに年齢は関係なく小さなお子さんから受けることができます。 小さい頃から痛みが無くても歯医者に通う習慣があると、口の中の環境を整えることができるのでおすすめです。

Step1 口の状態のチェック

PMTCの流れ

毎日のセルフケアで磨くのが苦手な部分があるのか確認していきます。

歯の模型を使用して男性の患者さまに歯磨き指導を行う笑顔の女性スタッフの写真

Step2 歯石除去

歯周病の原因になる歯石がある時は、超音波の機械を使用して除去します。

歯科医院で口腔内チェックをうける男性の患者さま

Step3 歯を磨く

専用の機械でペーストを使用しながら、ブラシやカップで磨いていきます。

歯科医院の歯のクリーニング専用の機械で歯を磨かれている様子

症例

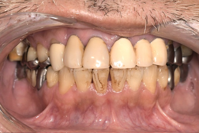
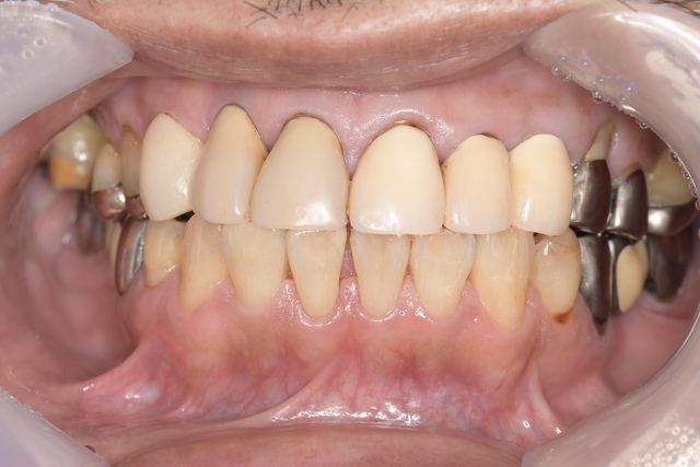
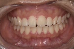
CASE 1(PMTC)

Before

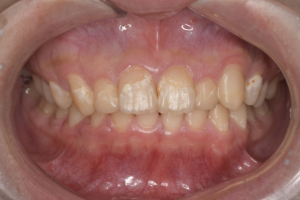
症例

After

症例

基本情報

年齢・性別 60代・男性
主訴 主訴:口臭、着色が気になる
治療部位:全顎
治療内容 ・歯石除去、歯磨き指導
・着色除去(PMTC)
治療期間 1ヶ月
治療費 合計:7,220円
内訳
・歯石除去:1,720円(保険診療3割負担)
・PMTC:5,500円(自費診療)
(2022年7月現在)
リスク・副作用 再度着色がつく可能性があるため定期的にクリーニングをする必要がある。
治療方針 1、歯磨き指導、歯石除去
2、PMTC
特記事項 ・タバコは20歳から50歳まで1日20本吸っていたが今は吸っていない。
・歯周病も進行しているため、今後歯周病の治療も進めていく予定。
担当者所見 上顎前歯の被せ物は保険診療で材質がプラスチックなので、着色がつきやすいこと、下顎前歯は歯ブラシがしっかり当たっていなかったため着色が特に着いてしまったことが考えられる。

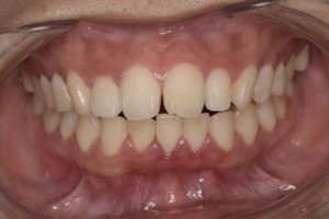
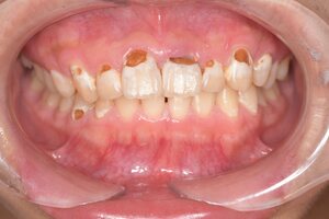
CASE 2

Before

症例

After

症例

途中経過

症例

基本情報

年齢・性別 10代・男性
主訴 主訴:上の前歯が気になる
治療部位:全顎
治療内容 1.ブラッシング指導、歯石除去、食生活の見直し
2.カリエス治療(CR:上顎3〜3、右下34、左下23)
3.定期検診、フッ素
治療期間 1ヶ月
治療費 ※今回は東京都の公費負担適応のため窓口負担額0円

合計:5,662円
1.写真.パノラマ.歯周基本検査.TBI.SC :1,492円
2.TBIチェック.SC.PMTC :661円
3.上顎3〜3CR :1,949円
4.左下23CR :689円
5.右下34CR :871円
(2024年7月現在)
リスク・副作用 ・ブラッシング時に歯ぐきから出血する可能性がある
・歯石除去により知覚過敏の症状がでる可能性がある
・虫歯を取り切った際に歯髄まで到達してしまった場合、神経の治療をする必要がある
・神経の近くまで削るため麻酔が切れた後、痛みが出る場合がある
・CR(レジン充填)は変色しやすく、菌もつきやすいため、治療後もしっかり磨く必要がある
治療方針 1.TBI(B20M.ハピプロ購入)、食生活について
2.TBIチェック、歯石除去、PMTC
3.CR(レジン充填)上顎前歯の気になる歯から順に
 左上1の歯ぐきは電気メスにて歯ぐきの形態を修正した
4.3ヶ月おきの定期検診、フッ素塗布
特記事項 ・歯医者3年ぶり
・歯ブラシを当てて痛みはない
・歯ブラシは母親が買って来てくれるため交換頻度は不明
・歯磨き粉はホワイトニング用
・間食はほぼ毎日、夜ご飯食べた後、ポテチなどしょっぱいものが多い、甘いものは食べない
・飲み物はほぼお茶だが毎日学校から帰ってきたらオレンジジュースやカルピスを飲む
担当者所見 今回は年齢的にも歯ぐきの反応が良く、本人も歯磨き不足が原因と理解があった為、すぐにブラッシング方法を改善することができスムーズに虫歯治療を行うことができた。
今後はこの状態を維持するために、無理のない間隔で定期検診に通ってもらうことを目標とする。

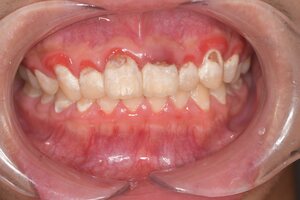
CASE 3

Before

症例

After

症例

基本情報

年齢・性別 20代・女性
主訴 主訴:検診希望、歯茎からの出血が気になる
治療部位:全顎
治療内容 全顎ディープSC・SRP、PMTC
治療期間 1ヶ月
治療費 合計:10,980円
・内訳(保険診療)
1.初診検査、レントゲン撮影、スケーリング、TBI:4,480円
2.上顎SRP:2,280円
3.下顎SRP:1,680円
4.再評価、スケーリング:2,540円
(2024年9月現在)
リスク・副作用 ・家でのブラッシング時に出血する可能性が高い
・SRP後歯肉が引き締まり、知覚過敏の症状が出る場合がある
・一度歯周ポケットが改善しても、再発する可能性がある
治療方針 1.検査、TBI・歯肉縁上SC
2.TBIチェック、上顎SRP
3.下顎SRP
4.再評価
5.定期検診
特記事項 ・3ヶ月間海外出張があるため、1ヶ月弱しか通えない
・トレーナーの仕事をしているため、歯軋り食いしばりをする自覚あり
担当者所見 下顎前歯部の歯肉に特に発赤腫脹が見られ原因としては歯間部の清掃が行き届いていなかったためと考えられる。
そのため歯ブラシの当て方とフロスの必要性を説明した。
歯周ポケットが4mm残っている部位に関しては残石は確認出来なかったため、今後もホームケアと歯科医院での定期的な検診・クリーニングをしっかり行うことで改善すると判断した。

東松原歯科 診療内容

患者様のお悩みを解決する
総合診療の東松原歯科

虫⻭治療から⻭を失ってしまったかたへのインプラント、入れ⻭、美しい⻭を実現する審美⻭科(⻭のセラミック)やホワイトニングまで、総合診療を提供しております。

急な痛み、つめ物が取れた・外れた等、お口の中に困りごとがありましたら、お気軽にご相談ください。