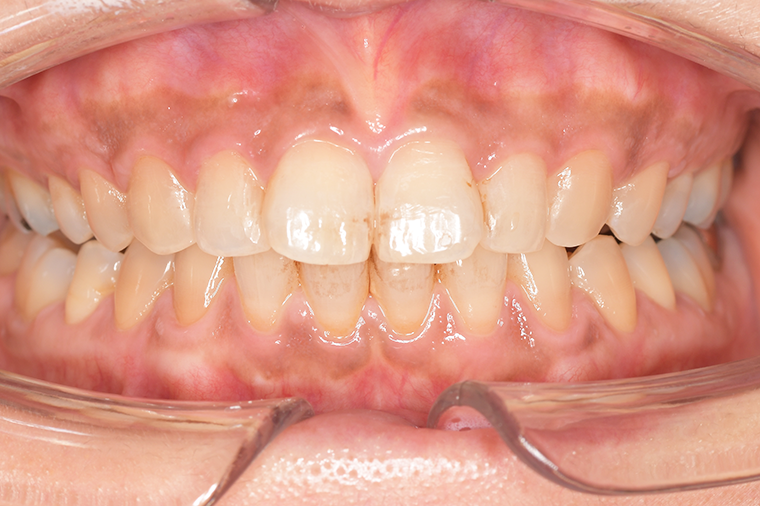
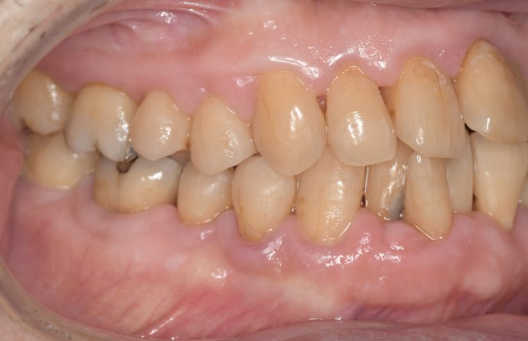
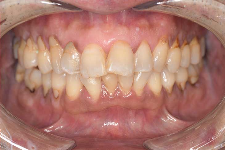
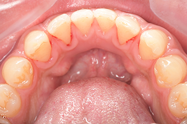
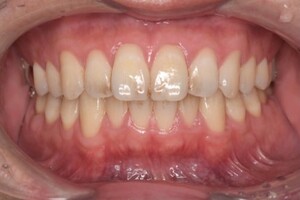
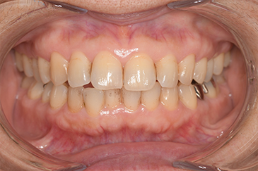
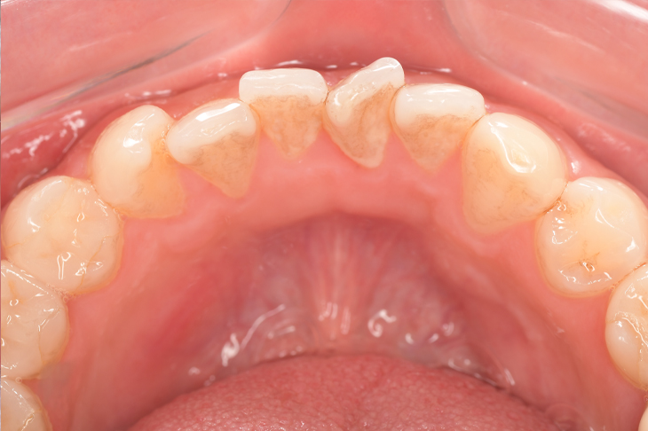
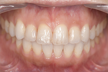
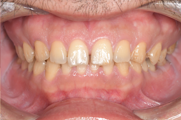
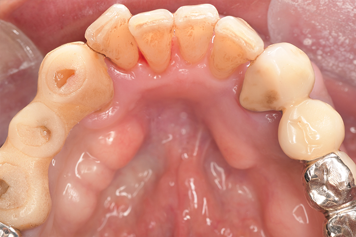
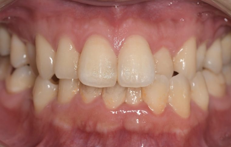
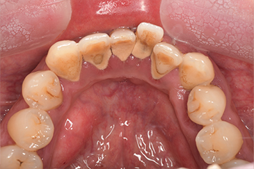
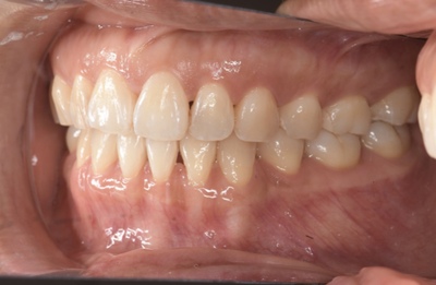
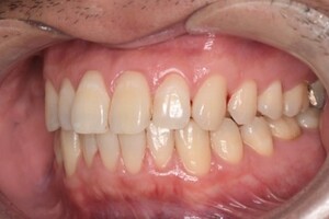
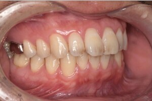
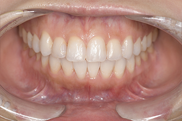
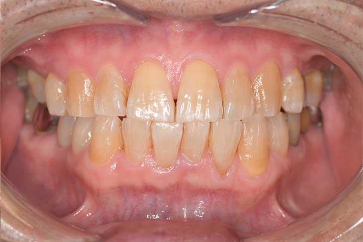
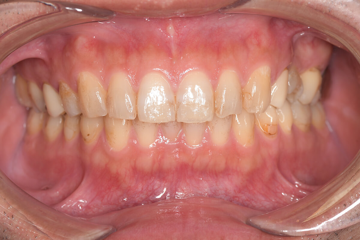
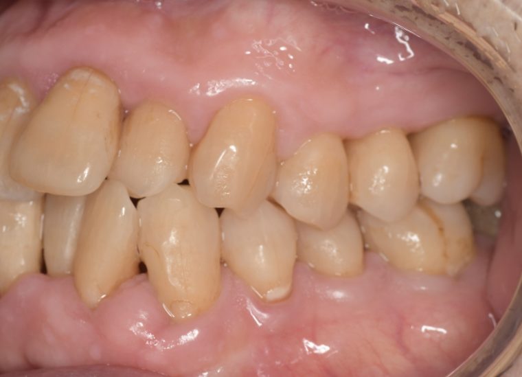
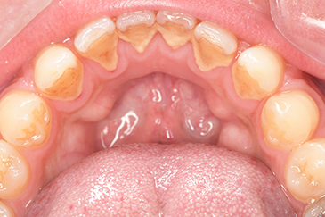
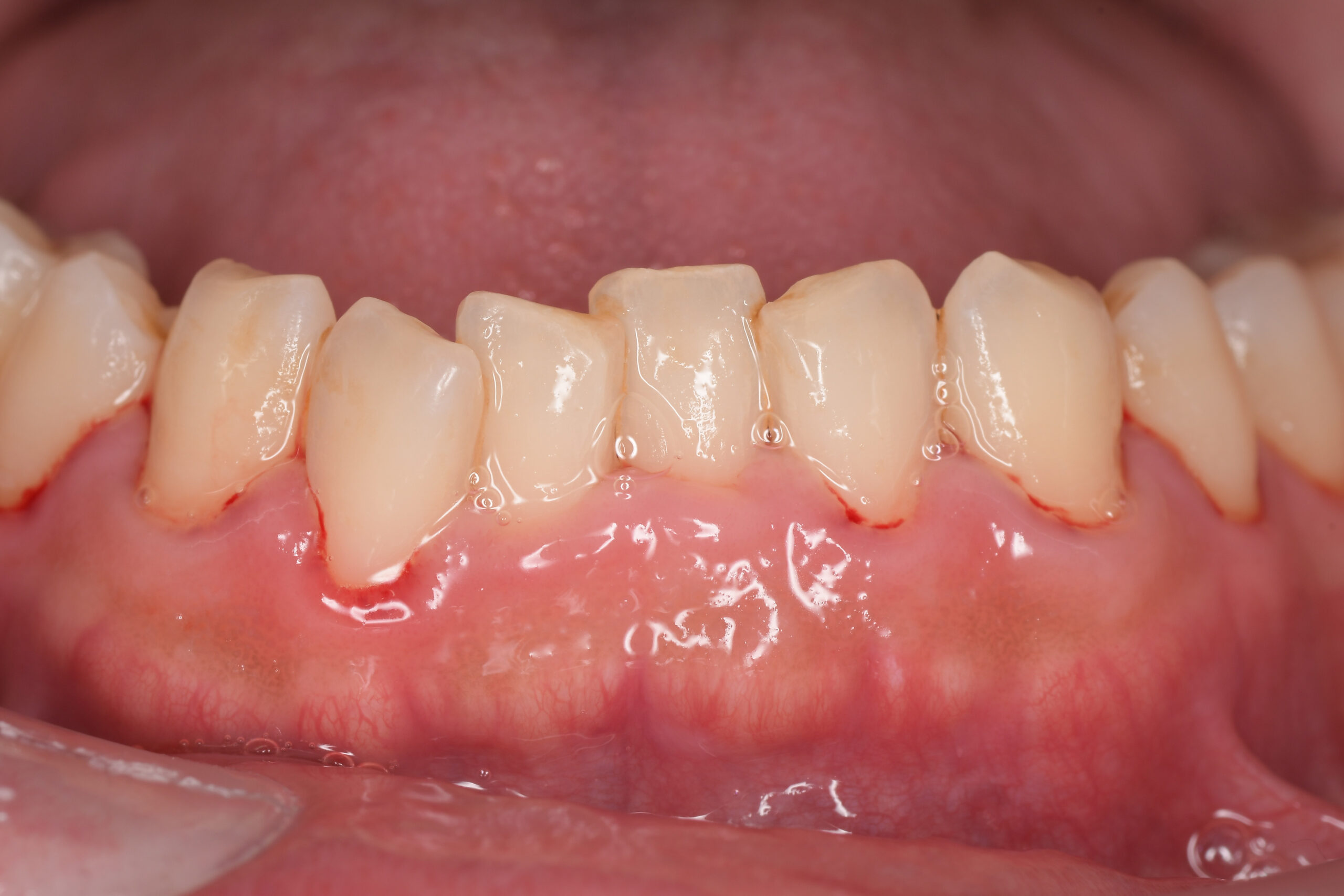
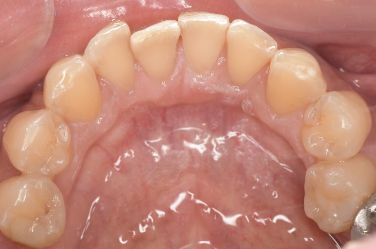
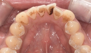
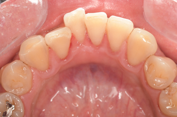
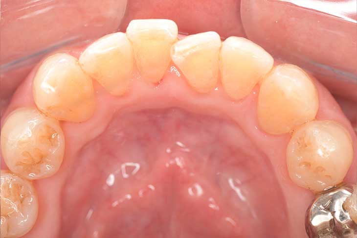
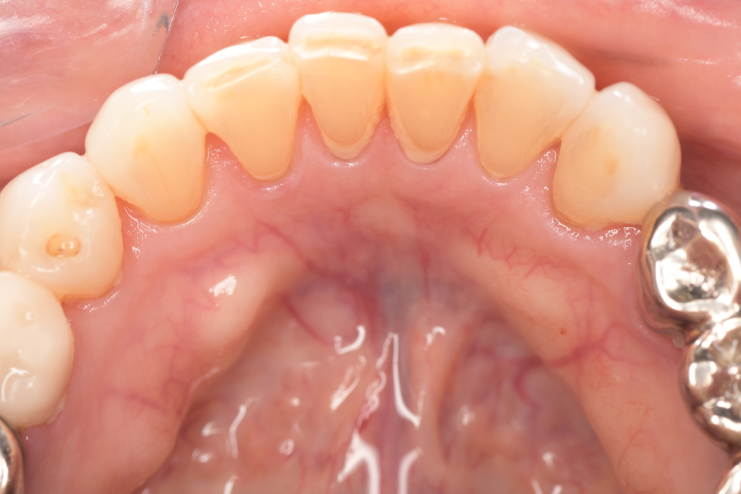
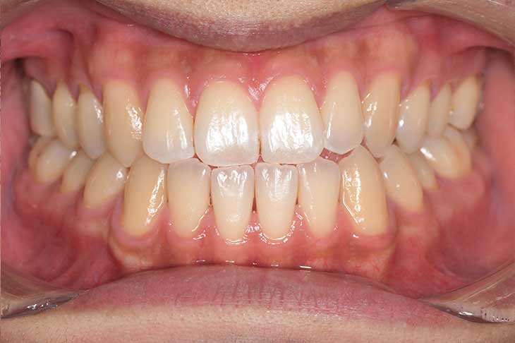
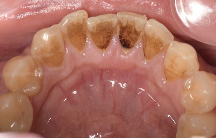
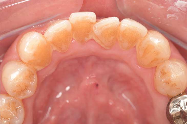
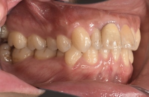
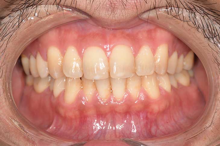
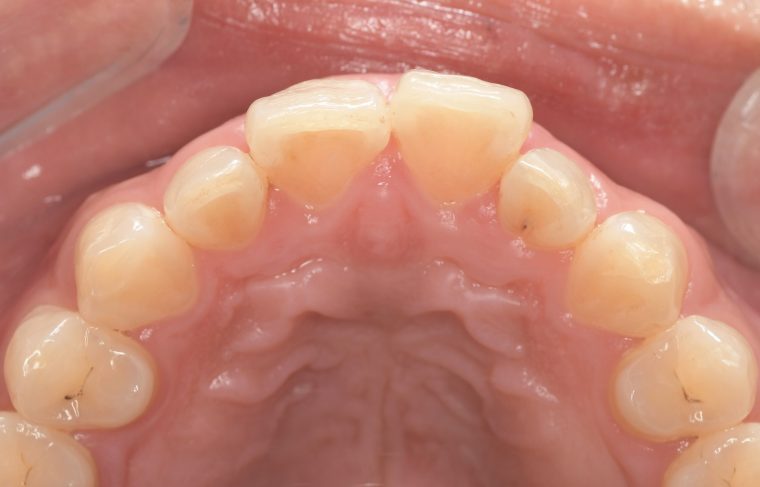
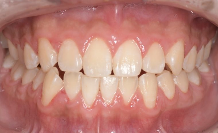
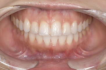
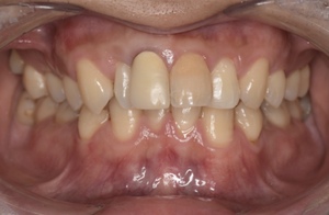
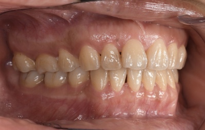
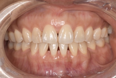
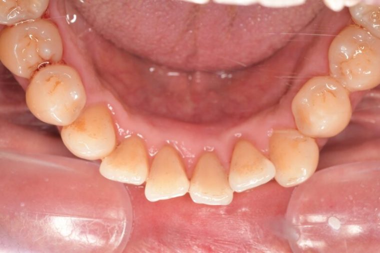
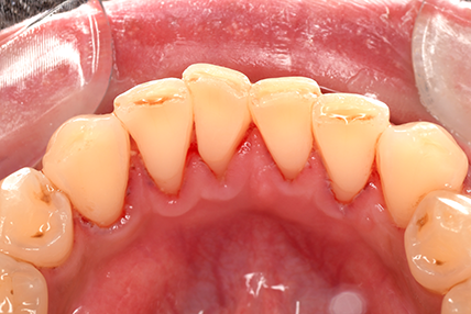
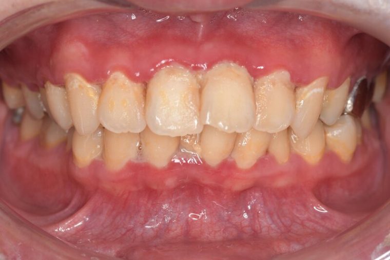
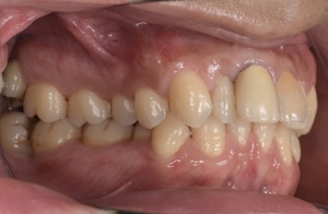
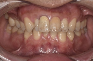
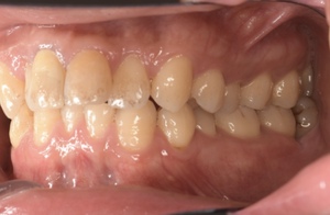
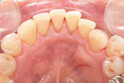
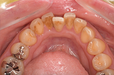
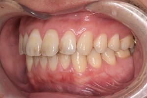
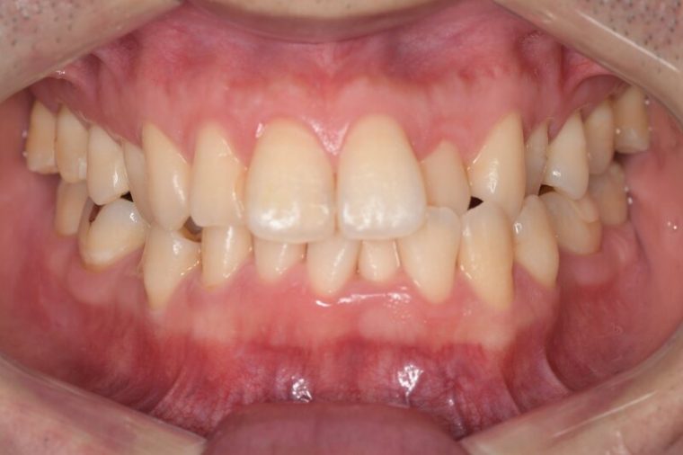
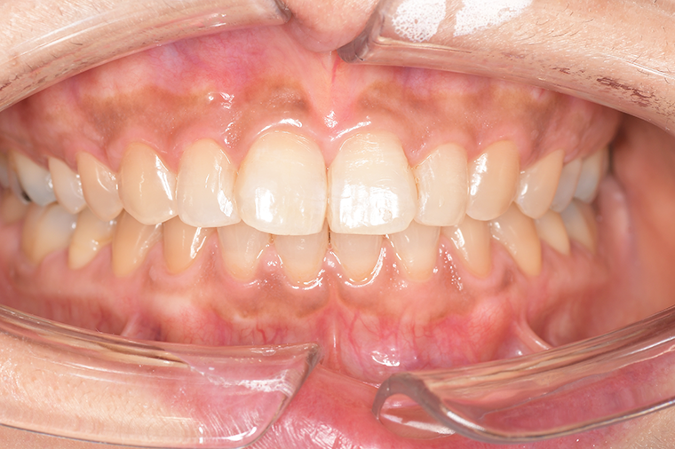
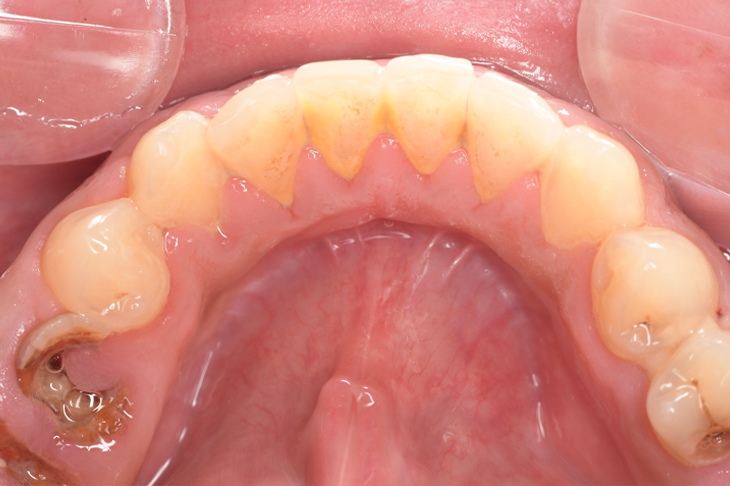
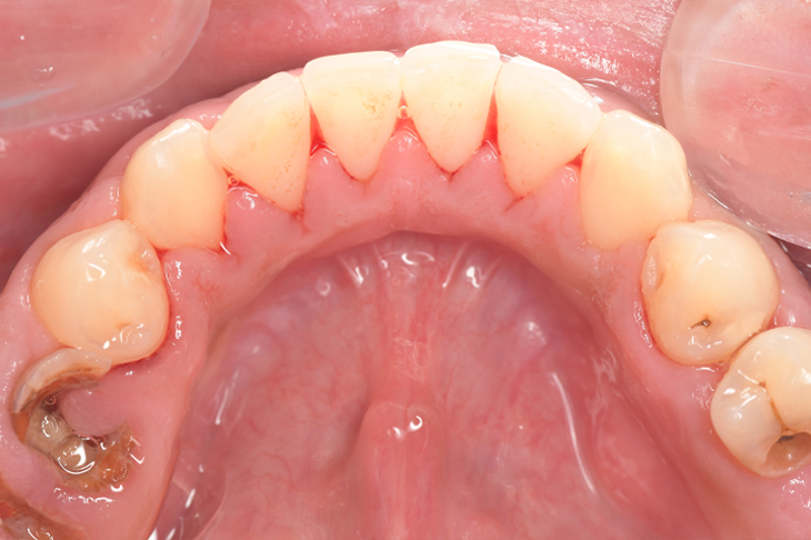
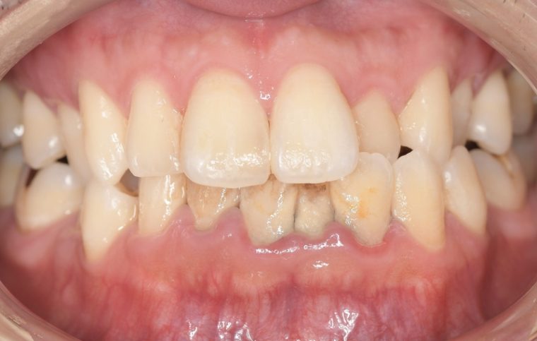
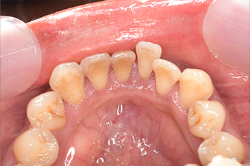
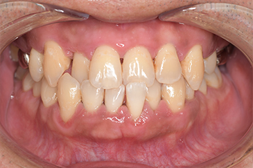
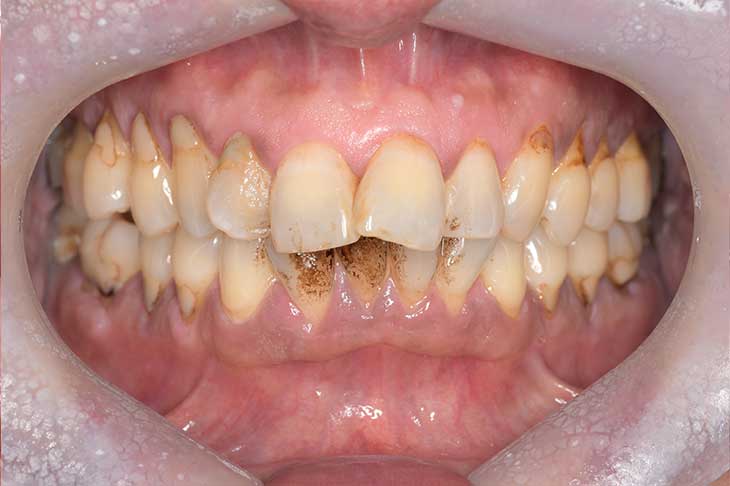
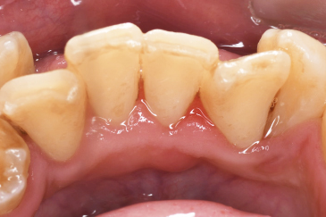
クリーニングの症例
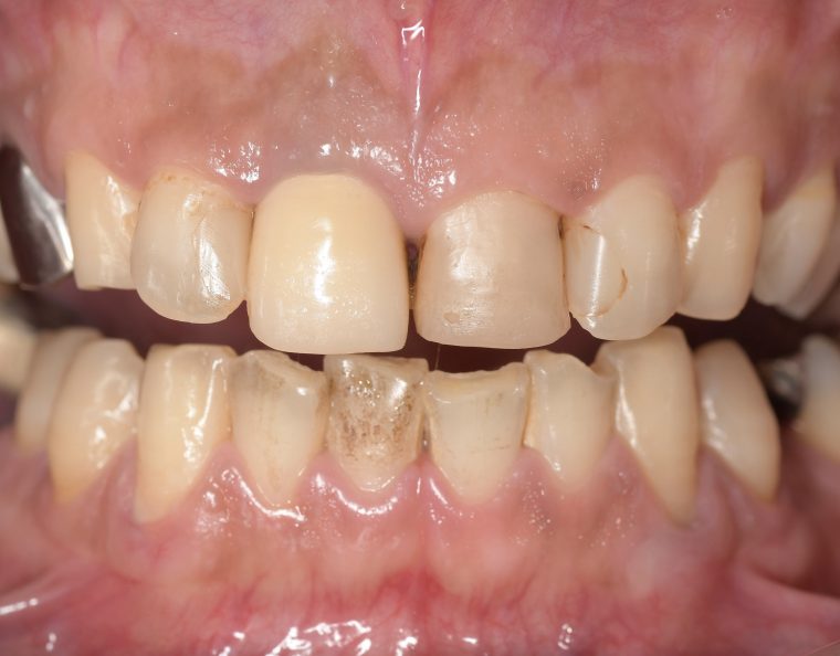
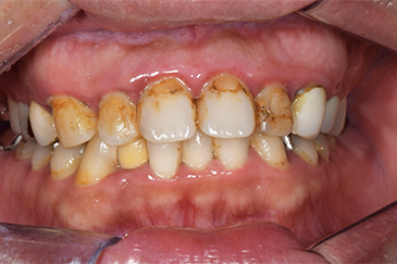
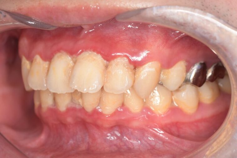
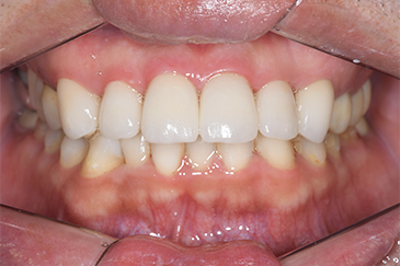
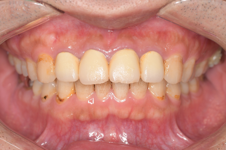
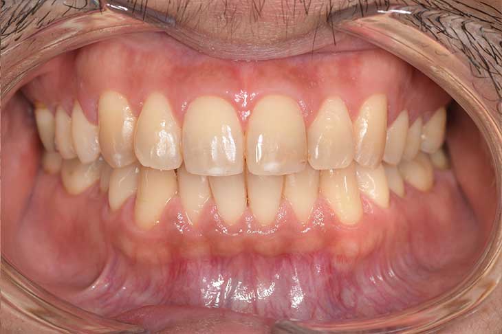
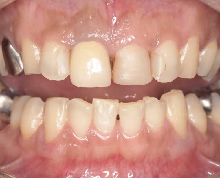
現在の治療費と異なる場合がございます。最新の治療費は料金表をご確認ください。CASE 1
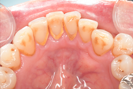
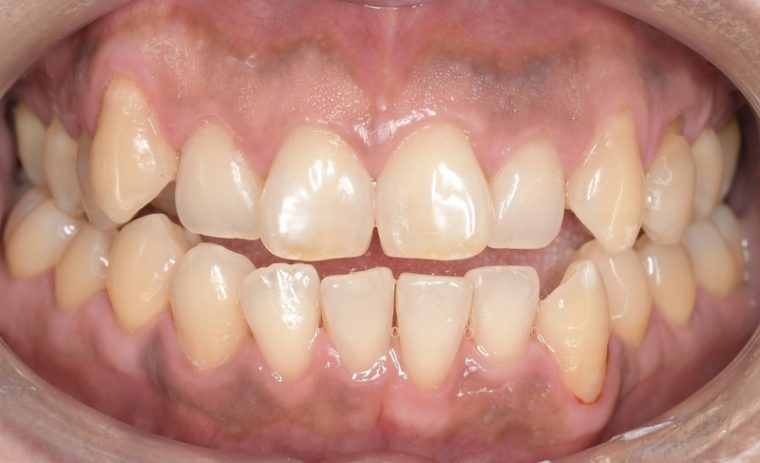
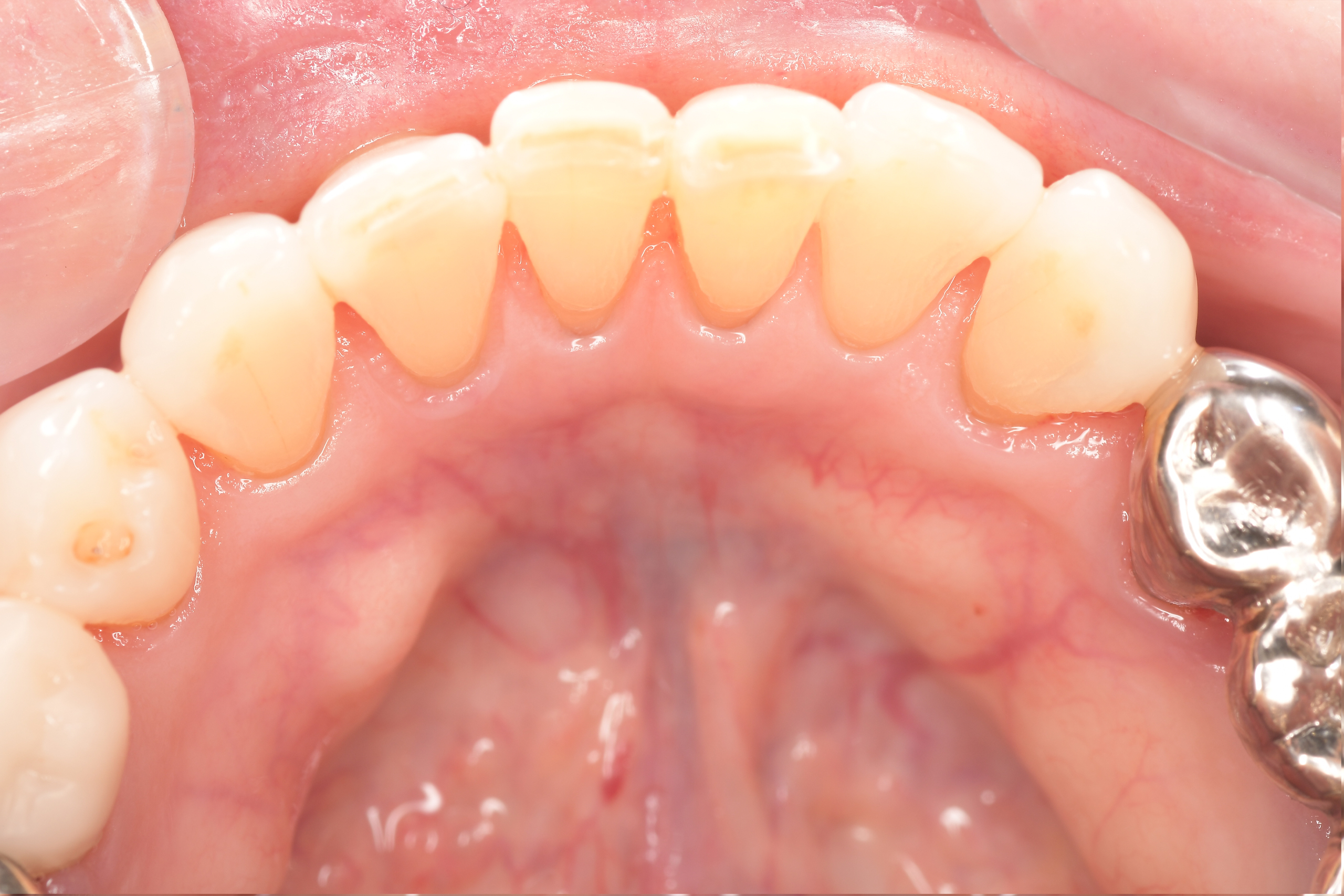
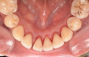
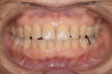
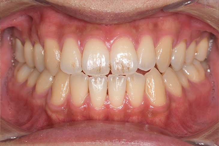
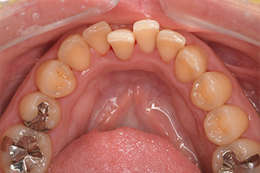
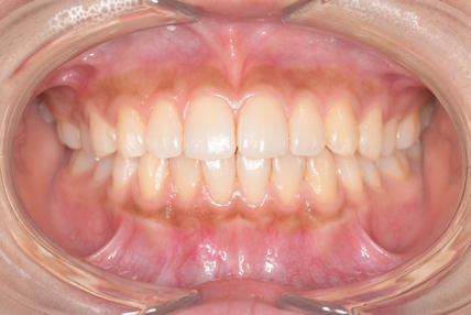
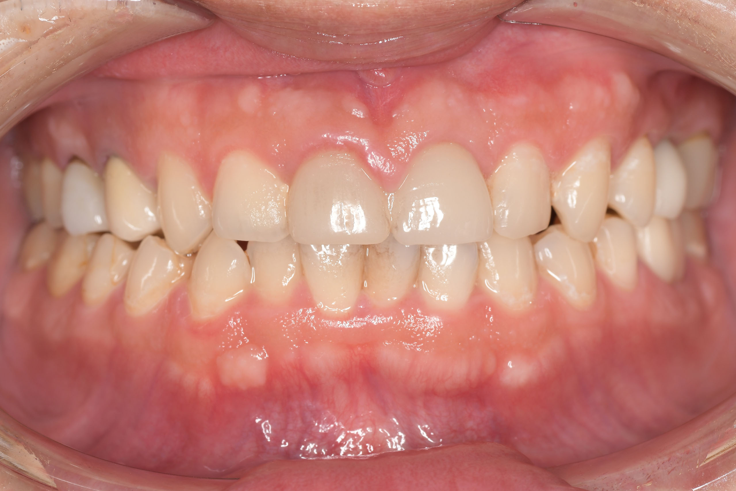
Before
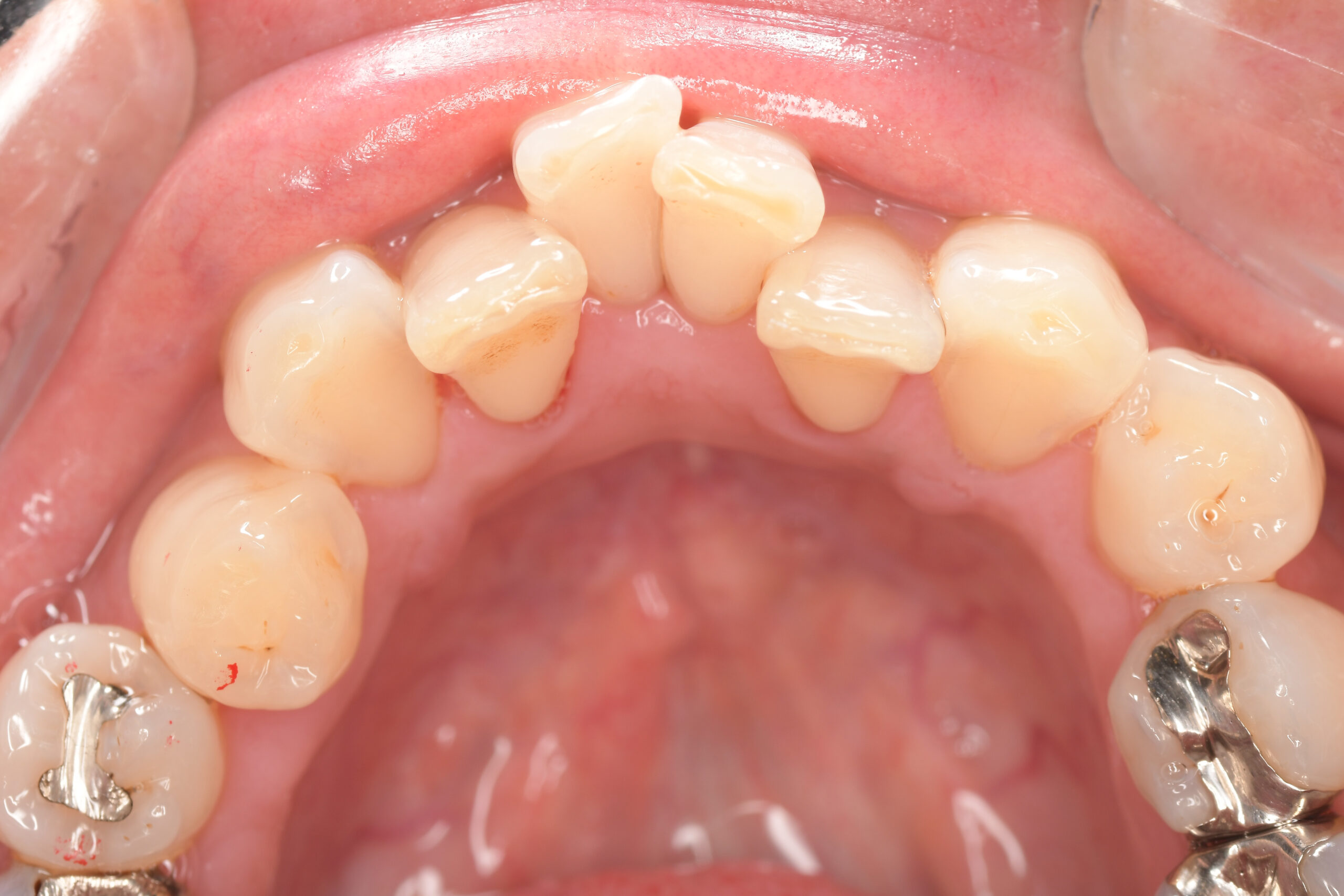
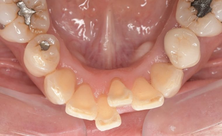
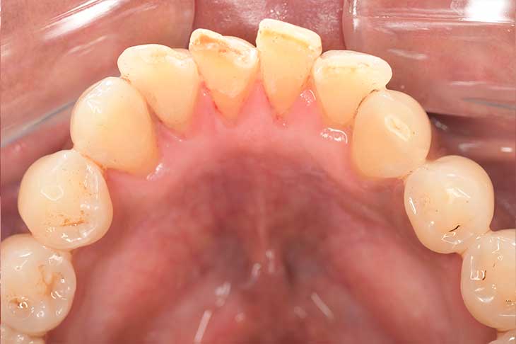
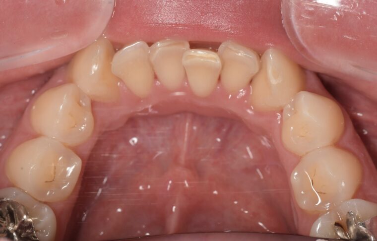
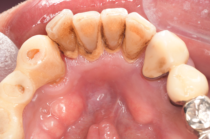
After
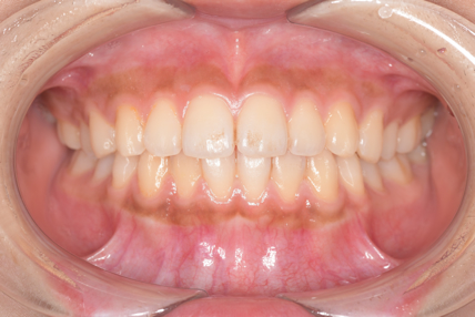
基本情報
| 主訴 | 見た目をきれいにしたい |
|---|---|
| 治療期間 | 6ヶ月 |
| 治療費 | ジルコニアボンド(セラミックの被せもの)¥165,000×7(税込み) オフィスホワイトニング4回 ¥4,400×4(税込み) ホームホワイトニング¥11,000 |
| リスク・副作用 | かみ合わせがとても強い方の場合、稀に割れてしまうことがあります。 |
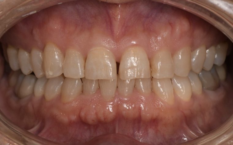
| 先生からの提案 | 上の前歯6本と右下の2番目の歯はセラミックの被せもので治療。 残りの下の前歯5本はプラスチックの材料で虫歯を治療し、 ホワイトニングをおこないました。白くなったご自身の歯の色に合わせてセラミックの 被せものを作成しています。 模型上で完成後をシュミレーションし、上の歯茎の位置をきれいに見えるように 揃えています。(外科処置はしていません) |
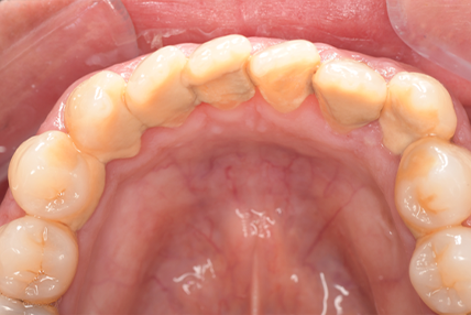
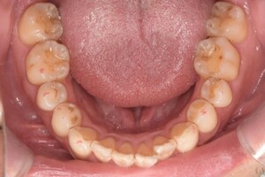
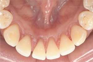
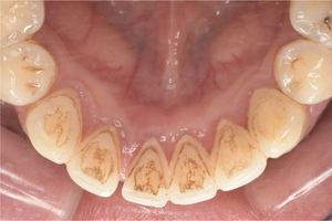
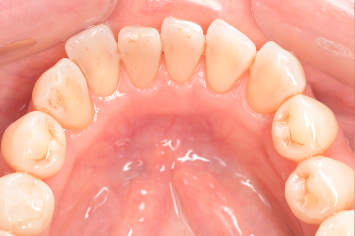
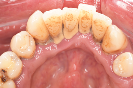
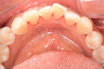
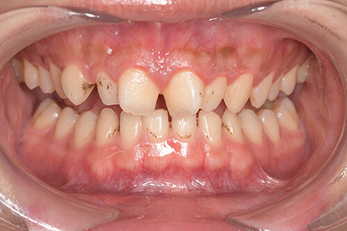
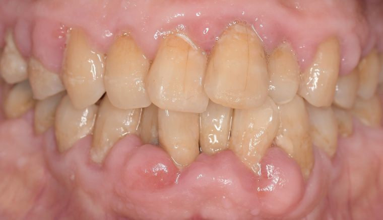
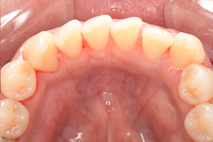
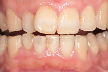
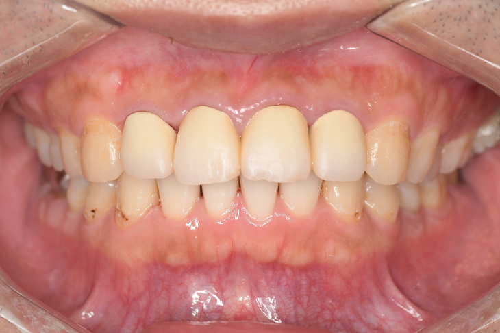
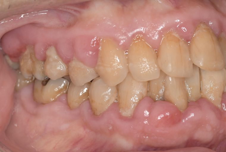
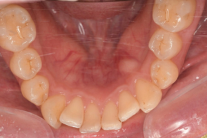
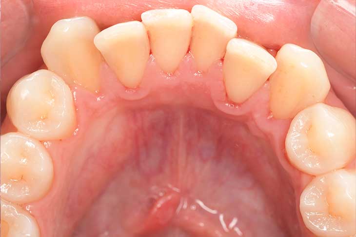
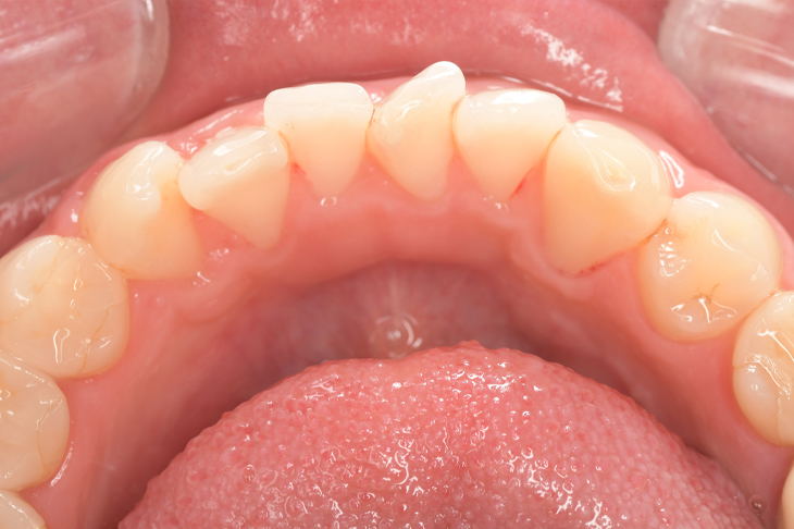
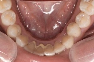
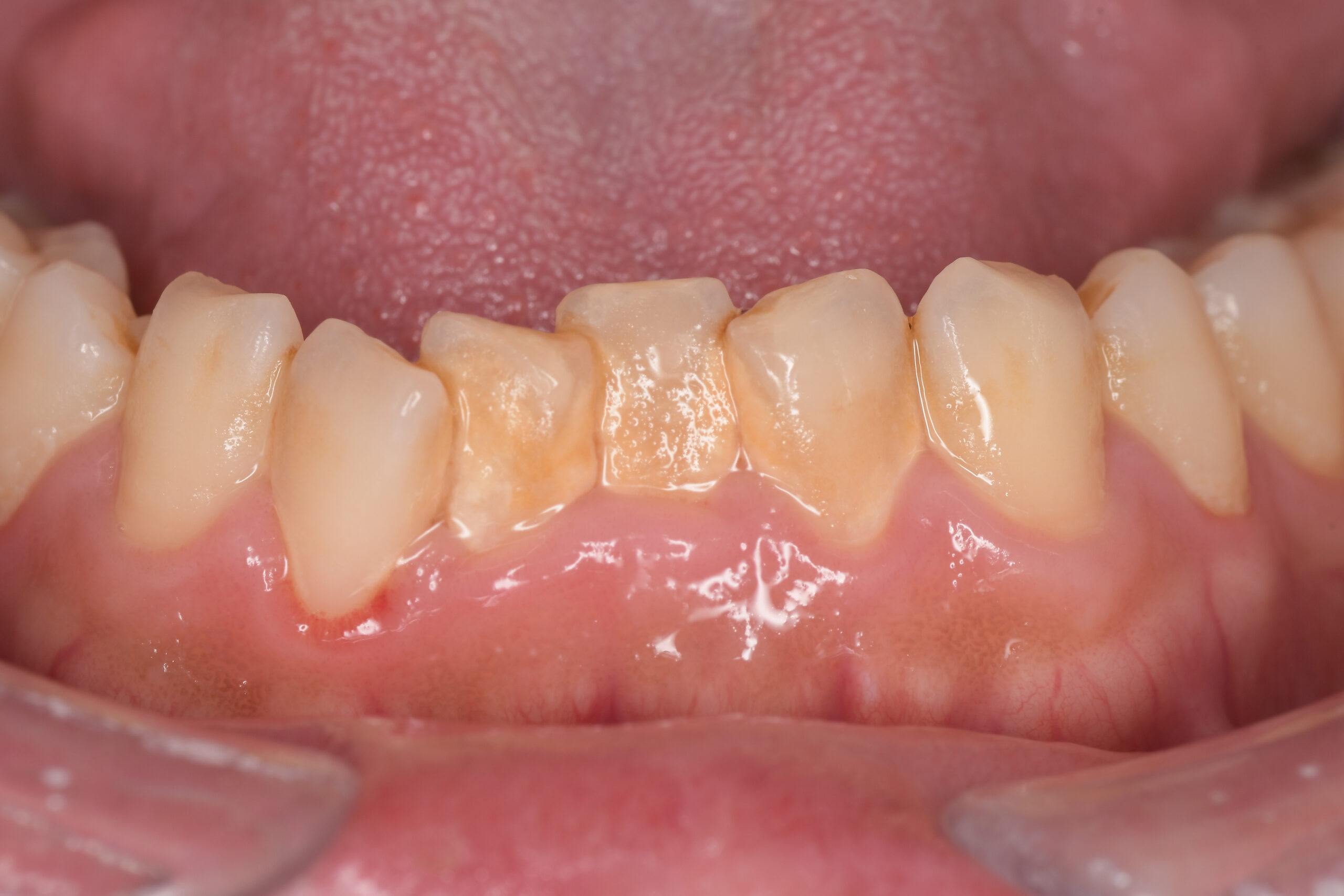
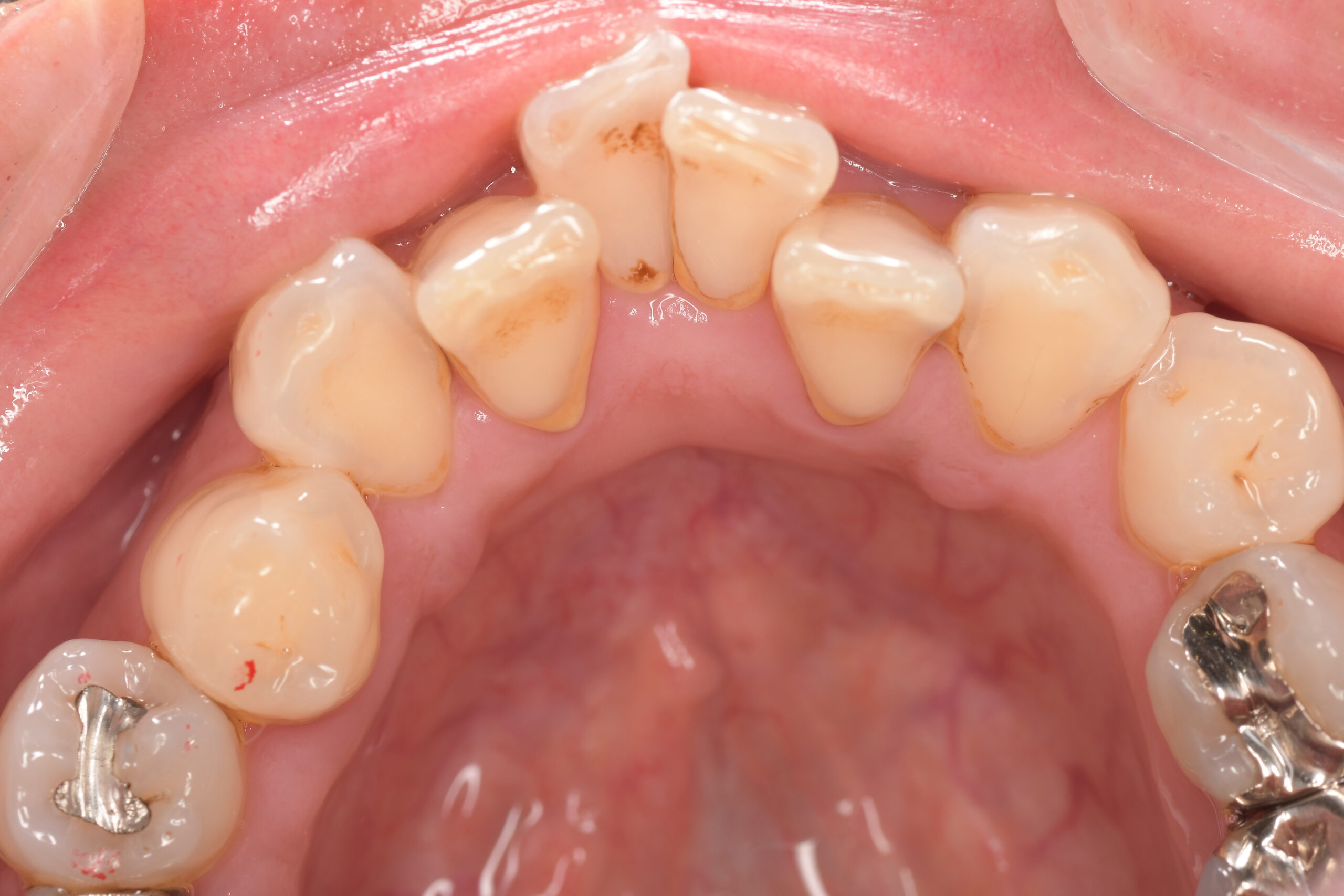
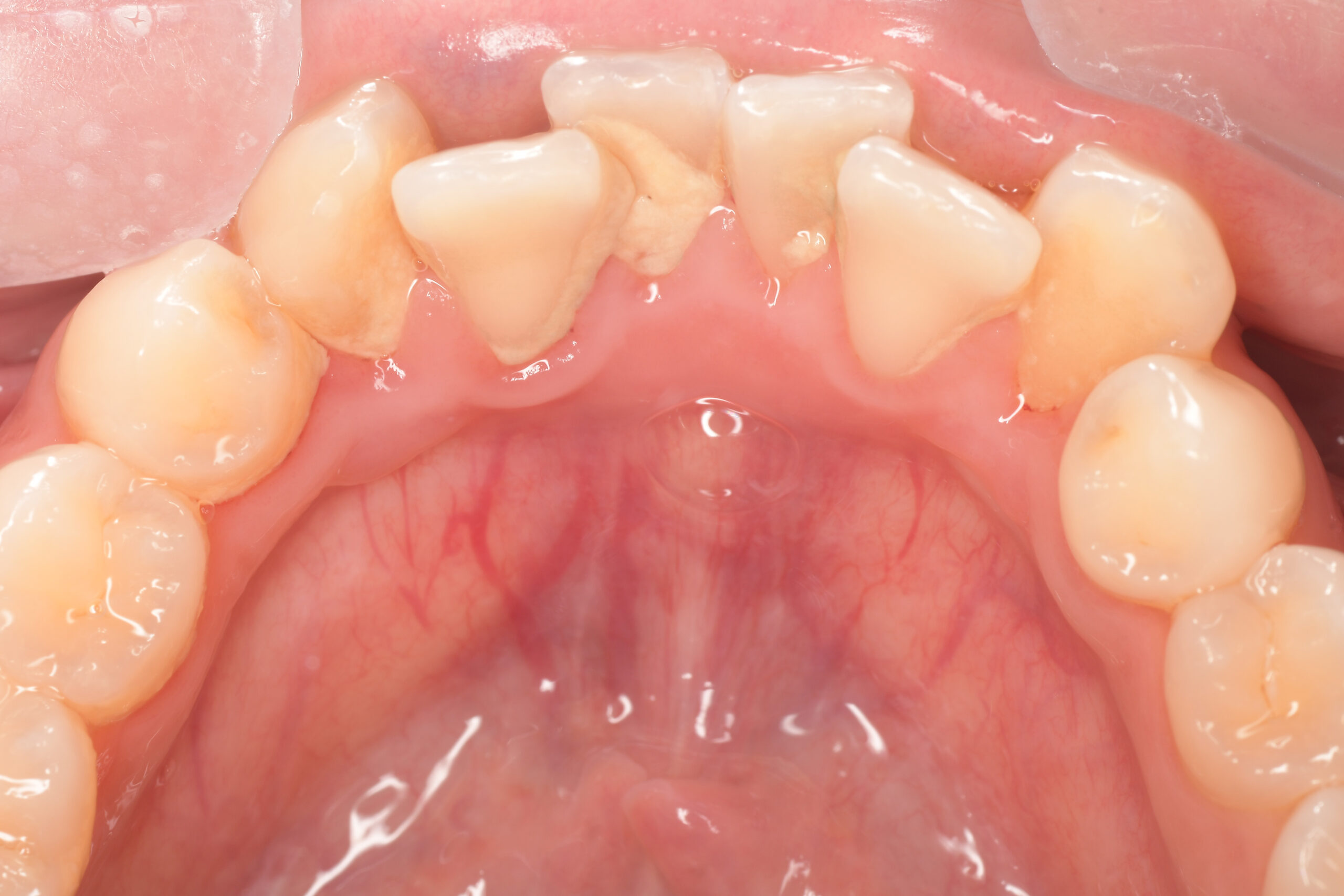
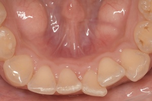
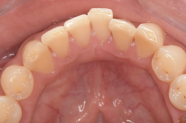
CASE 2
Before
After
基本情報
| 年齢・性別 | 30代・男性 |
|---|---|
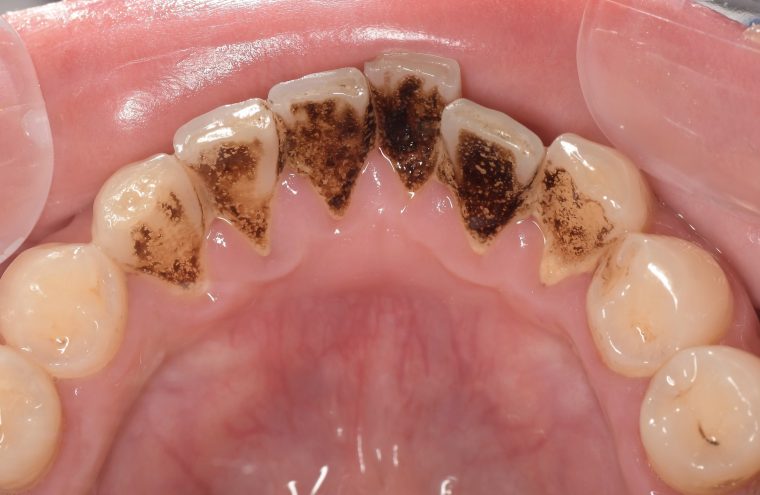
| 主訴 | 歯石を取りたい |
| 治療内容 | 超音波スケーラーでの歯石除去 |
| 治療期間 | 60分 |
| 治療費 | 初診料を含め約4,500円 |
| リスク・副作用 | 歯ぐきに違和感や痛みを覚える場合がある。 1週間程度、歯を磨くといつもより出血することがある。 腫れていた歯ぐきが引き締まることで歯ぐきが下がった様に見える。 歯ぐきが下がることで歯がみしやすくなることがある。 一時的に歯の動揺(ゆれ)が増す場合がある。 |
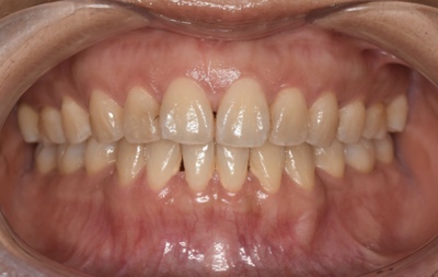
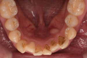
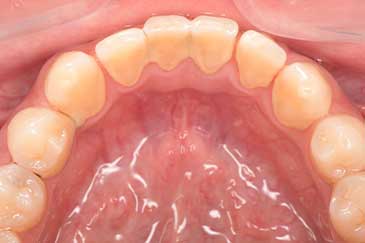
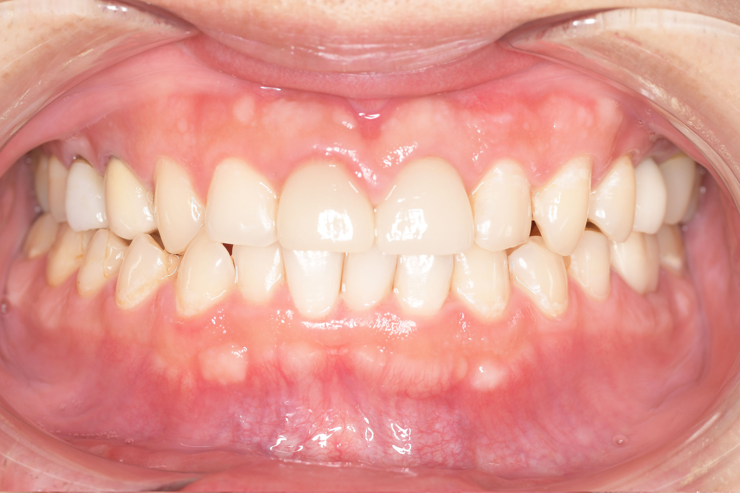
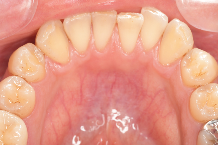
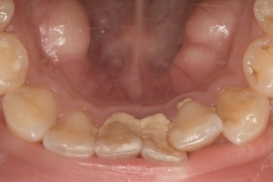
CASE 3
Before
After
基本情報
| 年齢・性別 | 30代・女性 |
|---|---|
| 主訴 | 定期検診 |
| 治療内容 | PMTC |
| 治療期間 | 60分 |
| 治療費 | 5,750円 |
| リスク・副作用 | しみる可能性があります。 |
| 治療方針 | PMTCでステインの除去。 |
| 担当者所見 | ステインが付きやすいため、3カ月毎の定期検診で除去する。 |
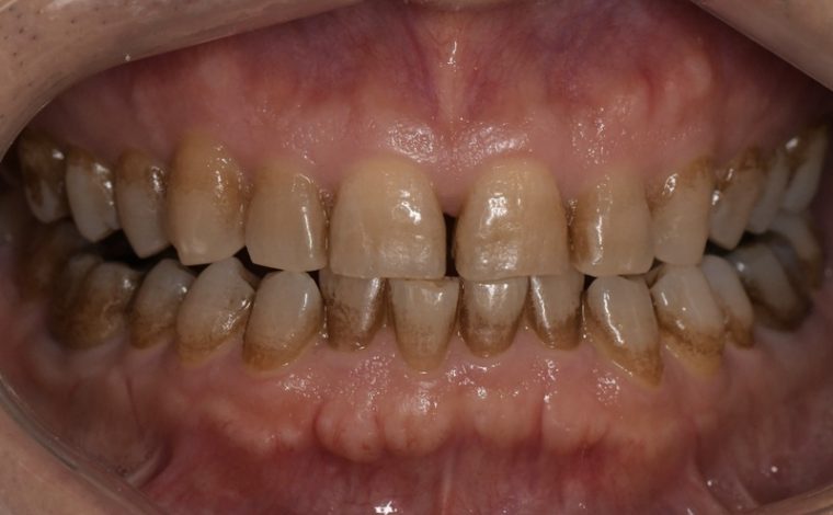
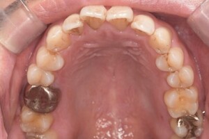
CASE 4
Before
After
基本情報
| 年齢・性別 | 52歳・女性 |
|---|---|
| 主訴 | クリーニングしたい |
| 治療内容 | スケーリング・PMTC |
| 治療期間 | 60分 |
| 治療費 | 約7,000円 |
| リスク・副作用 | 知覚過敏、歯肉退縮 |
| 治療方針 | 歯石とステインを除去して、今後は定期検診でのクリーニングと併せてガムピーリングやホワイトニングを行います。 |
| 担当者所見 | 歯肉の色素沈着が目立つため、ガムピーリングを行いながらホワイトニングを行うことをおすすめします。 |
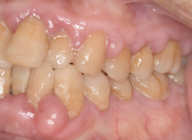
CASE 5
Before
After
基本情報
| 年齢・性別 | 19歳・女性 |
|---|---|
| 主訴 | 定期検診 |
| 治療内容 | PMTC |
| 治療期間 | 30分 |
| 治療費 | 5,500円 |
| リスク・副作用 | 知覚過敏 |
| 治療方針 | スケーリングしてから着色を除去しました。着色は一度綺麗に落としても再度付着するため、今後は定期的なクリーニングを行います。 |
| 担当者所見 | 歯ぐきに色素が沈着しているためガムピーリングとホワイトニングを行うことで、より明るく見えるようになります。 |
CASE 6
Before
After
基本情報
| 年齢・性別 | 35歳・男性 |
|---|---|
| 主訴 | 定期検診 |
| 治療内容 | スケーリング |
| 治療期間 | 30分 |
| 治療費 | 1,500円(保険診療) |
| リスク・副作用 | 知覚過敏、出血 |
| 治療方針 | まずは歯石除去を行い、ブラッシング方法の指導を行いました。炎症が落ち着いてきたら縁下歯石を除去して定期的なメンテナンスで歯石除去、着色除去を行います。 |
| 担当者所見 | 1年ぶりの歯医者。出血が多く炎症が強いため、歯石除去をしてご自身でもプラークコントロールができるようにブラッシングの方法をお伝えしました。 |
CASE 7
Before
After
基本情報
| 年齢・性別 | 48歳・男性 |
|---|---|
| 主訴 | 定期検診 |
| 治療内容 | スケーリング |
| 治療期間 | 60分 |
| 治療費 | 1,500円(保険診療) |
| リスク・副作用 | 知覚過敏、出血 |
| 治療方針 | まず歯肉縁上歯石を除去して、スッキリとした感覚や滑らかな舌ざわりを実感してもらいました。この状態を保てるように歯磨きの仕方や、歯周病についてお話ししました。 今後は歯肉縁下歯石を除去して、歯周病治療を行っていきます。 |
| 担当者所見 | 久しぶりの歯科医院への受診でした。 治療に慣れていないため、少しずつ歯石を除去していきました。 |
CASE 8
Before
After
基本情報
| 年齢・性別 | 70歳・男性 |
|---|---|
| 主訴 | 虫歯治療、定期検診 |
| 治療内容 | スケーリング |
| 治療期間 | 60分 |
| 治療費 | 1,500円(保険診療) |
| リスク・副作用 | 知覚過敏、出血 |
| 治療方針 | 今回は歯肉縁上歯石を除去しました。今後はSRPを行い、定期的にクリーニングをしていきます。 |
| 担当者所見 | 歯石を除去して歯根面が露出したことにより、知覚過敏が起こりやすいことをお話ししました。再びプラークや歯石がつかないようにセルフケアの重要性をお伝えしました。 |
CASE 9
Before
After
基本情報
| 年齢・性別 | 49歳・男性 |
|---|---|
| 主訴 | 定期検診 |
| 治療内容 | スケーリング |
| 治療期間 | 1回30分、2日間 |
| 治療費 | 約1,500円(保険診療) |
| リスク・副作用 | 知覚過敏、出血 |
| 治療方針 | 歯肉縁上歯石を除去してから、14枚法を撮影して歯肉縁下歯石を除去します。歯周ポケットが深く、歯石が残っている部位はフラップ手術を行います。 今後一年程かけて虫歯の治療と並行して歯周病治療、生活習慣の改善を行いプラークコントロールができるように指導します。 |
| 担当者所見 | 久しぶりの歯科医院受診のため、2日に分けて歯石を除去しました。 |
CASE 10
Before①
After①
Before②
After②
基本情報
| 年齢・性別 | 38歳・男性 |
|---|---|
| 主訴 | 下顎 歯石除去したい |
| 治療内容 | スケーリング |
| 治療期間 | 30分 |
| 治療費 | 約1,500円(保険診療) |
| リスク・副作用 | 知覚過敏、歯肉退縮 |
| 治療方針 | 歯肉縁上歯石を除去してから歯肉縁下歯石を除去します。ご自身でのプラークコントロールができるようになったら定期検診に移行します。 |
| 担当者所見 | 半年ぶりの歯科医院の受診。歯石が付きやすいためセルフケアの重要性をお伝えして、定期的にクリーニングを行います。出血率が高く炎症が強いため、今後はセルフケアを強化して歯周病治療を行います。 |
CASE 11
Before
After
基本情報
| 年齢・性別 | 32歳・男性 |
|---|---|
| 主訴 | 歯石をとりたい |
| 治療内容 | スケーリング |
| 治療期間 | 30分 |
| 治療費 | 1,500円(保険診療) |
| リスク・副作用 | 知覚過敏、歯肉退縮、出血 |
| 治療方針 | 今後も定期的にクリーニングを行っていきます。 |
CASE 12
Before
After
基本情報
| 年齢・性別 | 46歳・男性 |
|---|---|
| 主訴 | 歯石をとりたい |
| 治療内容 | スケーリング |
| 治療期間 | 30分 |
| 治療費 | 1,500円(保険診療) |
| リスク・副作用 | 知覚過敏、歯肉退縮、出血 |
| 治療方針 |
歯肉縁上歯石を除去して、次回から歯肉縁下歯石を除去します。 その後も定期的にクリーニングを行い、メインテナンスしていきます。 |
CASE 13
Before
After
基本情報
| 年齢・性別 | 31歳・男性 |
|---|---|
| 主訴 | 歯石をとりたい |
| 治療内容 | スケーリング |
| 治療期間 | 30分 |
| 治療費 | 1,500円(保険診療) |
| リスク・副作用 | 知覚過敏、歯肉退縮 |
| 治療方針 |
定期的なメインテナンスで歯石を除去していきます。 歯石が付くのを予防するため普段から歯間ブラシ、フロスを活用してセルフケアを行ってもらいます。 |
CASE 14
下顎before
下顎after
臼歯before
臼歯after
基本情報
| 年齢・性別 | 27歳・男性 |
|---|---|
| 主訴 | 歯石とりたい |
| 治療内容 | スケーリング |
| 治療期間 | 30分 |
| 治療費 | 約1,500円(保険診療) |
| リスク・副作用 | 知覚過敏、歯肉退縮、出血 |
| 治療方針 | 歯列不正でプラークがつきやすいため、TBIを行い定期的に歯石を除去していきます。 プラークコントロールが出来るようになったら定期検診でクリーニングを行っていきます。 |
CASE 15
before
after
基本情報
| 年齢・性別 | 44歳・女性 |
|---|---|
| 主訴 | 歯石とりたい |
| 治療内容 | スケーリング |
| 治療期間 | 30分 |
| 治療費 | 約1,500円(保険診療)(2022年6月現在) |
| リスク・副作用 | 知覚過敏、歯肉退縮、出血 |
CASE 16
before
after
基本情報
| 年齢・性別 | 70歳・女性 |
|---|---|
| 主訴 | 歯石とりたい |
| 治療内容 | スケーリング |
| 治療期間 | 30分 |
| 治療費 | 約1,500円(保険診療) |
| リスク・副作用 | 知覚過敏、歯肉退縮、出血 |
CASE 17
before
after
基本情報
| 年齢・性別 | 30歳・ 男性 |
|---|---|
| 主訴 | 着色とりたい |
| 治療内容 | PMTC |
| 治療期間 | 30分 |
| 治療費 | 約5,500円(保険診療・2022年6月現在) |
| リスク・副作用 | 着色は1度綺麗に落としても、再度付着します。 一時的にしみる可能性があります。 |
CASE 18
before
after
基本情報
| 年齢・性別 | 32歳・ 女性 |
|---|---|
| 主訴 | 歯石とりたい |
| 治療内容 | スケーリング |
| 治療期間 | 30分 |
| 治療費 | 約1,500円(保険診療・2022年6月現在) |
| リスク・副作用 | 知覚過敏、歯肉退縮、出血。 |
CASE 19
before
after
before
after
before
after
基本情報
| 年齢・性別 | 39歳・ 男性 |
|---|---|
| 主訴 | 着色とりたい |
| 治療内容 | スケーリング PMTC |
| 治療期間 | 60分 |
| 治療費 | スケーリング 保険診療約1,500円 PMTC 自費約5,500円(2022年7月現在) |
| リスク・副作用 | 出血、知覚過敏 |
CASE 20
before
after
基本情報
| 年齢・性別 | 58歳・ 女性 |
|---|---|
| 主訴 | 歯石とりたい |
| 治療内容 | スケーリング |
| 治療期間 | 30分 |
| 治療費 | 約1,500円(保険診療・2022年7月現在) |
| リスク・副作用 | 知覚過敏、歯肉退縮、出血。 |
CASE 21
before
after
before
after
基本情報
| 年齢・性別 | 30歳・ 男性 |
|---|---|
| 主訴 | 着色とりたい |
| 治療内容 | PMTC |
| 治療期間 | 30分 |
| 治療費 | 約5,500円(2022年7月現在) |
| リスク・副作用 | 着色は1度綺麗に落としても、再度付着します。 一時的にしみる可能性があります。 |
CASE 22
before
after
基本情報
| 年齢・性別 | 37歳・ 男性 |
|---|---|
| 主訴 | 全顎、着色とりたい |
| 治療内容 | PMTC |
| 治療期間 | 30分 |
| 治療費 | 約5,500円(2022年7月現在) |
| リスク・副作用 | 着色は一度綺麗に落としても、再度付着します。 一時的にしみる可能性があります。 |
| 治療方針 | 着色を落としたいとのことで、PMTCを行いました。 コーヒーの摂取頻度が高いため、ステインが付きやすいです。 ステインの沈着を防ぐために、飲食後はできるだけ早く歯磨きをするか、 うがいをすることをおすすめしました。 ステインを完全につけないようにすることは難しいため、セルフケアだけでは 落とせない汚れを定期的なクリーニングで除去していきます。 |
CASE 23
before
after
基本情報
| 年齢・性別 | 25歳・ 男性 |
|---|---|
| 主訴 | 全顎、着色とりたい |
| 治療内容 | PMTC |
| 治療期間 | 30分 |
| 治療費 | 約5,500円(2022年7月現在) |
| リスク・副作用 | 着色は一度綺麗に落としても、 再度付着します。 一時的にしみる可能性があります。 |
| 治療方針 | クリーニング希望でご来院されました。 歯石よりもステインが気になるとのことで、自費でPMTCを行いました。 過蓋咬合のため、歯ブラシだけで汚れを落とすのは難しいです。 ステインの付着を防ぐためにも、タフトブラシや歯間ブラシを併用して セルフケアを高めてもらいます。 |
CASE 24
before
after
基本情報
| 年齢・性別 | 60歳・ 女性 |
|---|---|
| 主訴 | 全顎、着色とりたい |
| 治療内容 | PMTC |
| 治療期間 | 30分 |
| 治療費 | 約5,500円(2022年8月現在) |
| リスク・副作用 | 着色は一度綺麗に落としても、 再度付着します。 一時的にしみる可能性があります。 |
| 治療方針 | ステインを落として、お口周りが明るくなったことを実感していただきました。 今後はホワイトニングで白くしたいとのことです。 定期的なクリーニングとホワイトニングを行います。 |
CASE 25
before
after
基本情報
| 年齢・性別 | 28歳・ 男性 |
|---|---|
| 主訴 | 全顎、着色とりたい |
| 治療内容 | PMTC |
| 治療期間 | 30分 |
| 治療費 | 約5,500円(2022年8月現在) |
| リスク・副作用 | 着色は一度綺麗に落としても、 再度付着します。 一時的にしみる可能性があります。 |
| 治療方針 | 歯石とステインを除去したいとのことでご来院されました。 スケーリングをして歯石を除去してから、PMTCでステインを落としました。 歯面が凸凹しているため、ステインが付きやすいです。 今後は定期的にクリーニングしていきます。 |
CASE 26
before
after
基本情報
| 年齢・性別 | 33歳・ 男性 |
|---|---|
| 主訴 | 全顎、着色とりたい |
| 治療内容 | PMTC |
| 治療期間 | 30分 |
| 治療費 | 約5,500円(2022年8月現在) |
| リスク・副作用 | 着色は一度綺麗に落としても、 再度付着します。 一時的にしみる可能性があります。 |
| 治療方針 | クリーニング希望でご来院されました。 ステインの付着が多いためPMTCを行いました。 普段からお茶、コーヒーの摂取頻度が多く、ステインが付きやすいです。 お住まいが海外で定期的に通院できないため、 ステインを防ぐ歯磨き粉を使用してケアしていただきます。 |
CASE 27
before
after
基本情報
| 年齢・性別 | 30歳・ 男性 |
|---|---|
| 主訴 | 全顎、着色とりたい |
| 治療内容 | スケーリング、PMTC |
| 治療期間 | 30分×2日 |
| 治療費 | スケーリング 保険診療 約1,500円 PMTC 5,500円(2022年7月現在) |
| リスク・副作用 | 着色は1度綺麗に落としても、再度付着します。 一時的に知覚過敏のようにしみる症状がでる可能性があります。 歯肉退縮が起きたり、数日間出血する可能性があります。 |
| 治療方針 | 歯石と着色がつきやすく、患者様のご希望で3カ月に一度の定期検診に加えて、 カ月に一度のペースで自費でのクリーニングをしています。 ご自身でプラークコントロールが出来るようにセルフケアを高めてもらい、 今後は着色予防効果のある歯磨き粉を使用していただきます。 |
CASE 28
before
after
基本情報
| 年齢・性別 | 57歳・ 男性 |
|---|---|
| 主訴 | 歯石除去 |
| 治療内容 | スケーリング |
| 治療期間 | 30分 |
| 治療費 | 保険診療 約1,500円(2022年8月現在) |
| リスク・副作用 | 知覚過敏、歯肉退縮、出血、動揺 |
| 治療方針 | 右下の奥歯に痛みがあるとのことでご来院されました。 まずは部位に分けて、小さなレントゲンを14枚撮影しました。 全体的に撮影できるパノラマX線よりも精密に写るため、 14枚法を撮影して歯周病の状態や虫歯の進行を確認できます。 スケーリングをして歯肉縁上歯石を除去してから、右下の破折している歯を抜歯しました。 今後は虫歯の治療と並行しながらして、歯周病治療も進めていきます。 |
CASE 29
before
after
基本情報
| 年齢・性別 | 28歳・ 男性 |
|---|---|
| 主訴 | 全顎的に治療したい |
| 治療内容 | スケーリング |
| 治療期間 | 30分 |
| 治療費 | 保険診療 約1,500円(2022年8月現在) |
| リスク・副作用 | 知覚過敏、歯肉退縮、出血、動揺 |
| 治療方針 | 全体的に治療して綺麗にしたいとのことでご来院されました。現在痛みはないため、スケーリングをして歯石を除去してから治療を行います。 |
CASE 30
before
after
基本情報
| 年齢・性別 | 45歳・男性 |
|---|---|
| 主訴 | 歯石除去、着色除去 |
| 治療内容 | スケーリング、PMTC |
| 治療期間 | 30分 |
| 治療費 |
スケーリング 保険診療約1,500円 PMTC 自費診療5,500円 (2022年8月現在) |
| リスク・副作用 | 知覚過敏、歯肉退縮、出血 |
| 治療方針 | 全体的に歯を綺麗にしたいとのことでした。 スケーリングをしてからPMTCを行いました。 歯石と着色を除去したら印象が変わり、とても喜んでくれました。 喫煙歴が長く本数も多いため、喫煙習慣を改善していけるようにお話ししました。 今後は喫煙のコントロールやブラッシングによるセルフケアを重点的に行ってもらい、 定期的にクリーニングしていきます。 |
CASE 31
before
after
基本情報
| 年齢・性別 | 29歳・男性 |
|---|---|
| 主訴 | 歯石除去 |
| 治療内容 | スケーリング |
| 治療期間 | 30分 |
| 治療費 | 保険診療約1,500円(2022年8月現在) |
| リスク・副作用 | 知覚過敏、歯肉退縮、出血 |
| 治療方針 | 久しぶりの歯科医院の受診でした。 スケーリングをして歯石を除去してから、 歯磨きのやりかたとフロスの通し方についてお話しました。 |
CASE 32
before
after
基本情報
| 年齢・性別 | 54歳・男性 |
|---|---|
| 主訴 | 歯石除去、着色除去 |
| 治療内容 | スケーリング、PMTC |
| 治療期間 | 60分 |
| 治療費 |
スケーリング 保険診療約1,500円 PMTC 自費診療5,500円 (2022年8月現在) |
| リスク・副作用 |
一時的に知覚過敏の症状が起こることがあります。 歯肉の炎症が治まり歯肉が退縮する可能性があります。 着色は1度綺麗に落としても、再度付着します。 |
| 治療方針 |
クリーニング希望でご来院されました。 まずは歯石と着色を除去しました。 今後は黄ばみを落として全体的に白くしたいとのことで、 オフィスホワイトニングを行います。 |
CASE 33
before
after
基本情報
| 年齢・性別 | 33歳・男性 |
|---|---|
| 主訴 | 全顎、着色とりたい |
| 治療内容 | PMTC |
| 治療期間 | 30分 |
| 治療費 |
約5,500円 (2022年8月現在) |
| リスク・副作用 |
着色は1度綺麗に落としても、再度付着します。 一時的にしみる可能性があります。 |
| 治療方針 |
虫歯の治療と並行しながら歯周病治療を 行っています。 口腔内の環境をコントロールできるように なってきました。 着色は初診時には気になっていません でしたが、 最近目立つように感じてきた とのことでした。 モチベーションが高まってきたので、 今後はホワイトニングを行い、 前歯部補綴やCRのやり替えなども 行います。 |
CASE 34
before
after
before
after
基本情報
| 年齢・性別 | 27歳・女性 |
|---|---|
| 主訴 | 全顎、着色が気になる |
| 治療内容 | PMTC |
| 治療期間 | 30分 |
| 治療費 |
約5,500円 (2022年10月現在) |
| リスク・副作用 | 上顎前歯部隣接にレジン充填を行なっているため、レジンが変色や着色しやすいこと、レジンが劣化により変色している場合、レジン充填のやりかえが必要になる可能性がある。 |
| 特記事項 | 非抜歯で矯正を行っていたこともあり、その際ディスキングをした為、前歯部隣接面のレジン充填が多くある。 |
| 担当者所見 | 隣接面のレジン充填が変色しているようにも見えた為、レジン充填のやりかえが必要になるかと思ったが、クリーニングだけでとても綺麗になり、歯の色のトーンもかなり上がったように見えた。 |
CASE 35
before
after
before
after
途中経過
before
after
基本情報
| 年齢・性別 | 32歳・男性 |
|---|---|
| 主訴 | 全顎歯の動揺と口臭が気になるためクリーニング希望 |
| 治療内容 | 歯周病が進み全ての歯が動揺していたため、まずは歯磨きのやり方を教え、 毎日来ていただき歯磨きができてるかの確認から始め、 歯茎の炎症が治まったところで、歯茎より上にある歯石を取っていきました。 また、全身疾患との関係も考えられることから 内科との連携を取り薬のコントロールもしていきました。 歯茎の腫れが少なくなってきたところで歯茎より下についている歯石を、 数回に分け取り炎症が引くのを待ちました。 炎症が引くとほとんどの歯の動揺は良くなり、口臭もなくなりました。 まだ動揺するところは接着剤で隣の歯と固定することにより 不自由なく食事も取れています。 |
| 治療期間 | 4ヶ月 |
| 治療費 |
合計 約7,400円 SC 約1,200円 歯周精密検査1回 約1,200円 SRP全顎 約5,000円 全て保険内 (2022年10月現在) |
| リスク・副作用 | 歯石を取ることにより、腫れている歯茎が元の位置まで縮むため、 一時的にしみたり動揺が増すことがあります。 大量の歯石を取ることにより出血や発熱を起こすことがあります。 |
| 特記事項 | 今後この状態を維持しながら外科処置により減ってしまった骨を作っていきます。 |
CASE 36
before
after
基本情報
| 年齢・性別 | 36歳・男性 |
|---|---|
| 主訴 | クリーニング希望 |
| 治療内容 | 歯石除去、PMTC、ブラッシング指導 |
| 治療期間 | 2週間 |
| 治療費 |
5,500円 >(2022年11月現在) |
| リスク・副作用 | 歯石を取ることでしみたり歯肉が下がり隙間ができる可能性がある。 |
| 治療方針 | 歯石除去、PMTC、ブラッシング指導 |
| 特記事項 | 下顎前歯部ということもあり、歯肉が薄く歯肉が下がりやすいと予測したため、スケーリング時は歯間乳頭を傷つけないよう注意し、ブラッシング指導も歯石除去後はルシェロピセラP20Mの柔らかい歯ブラシを使用して頂き歯間部を重点的に磨くようお伝えした。歯肉が引き締まってからはB20Mの普通の硬さの歯ブラシで磨くよう指導した。 |
| 担当者所見 | 歯石により歯肉を押し付けていた為、歯石除去後歯肉退縮する可能性があったが、歯間乳頭もほぼ退縮せず、しみる症状も出なかった。 |
CASE 37
Before①
After①
Before②
After②
基本情報
| 年齢・性別 | 36歳・男性 |
|---|---|
| 主訴 | 前歯の着色が気になる |
| 治療部位 | 全顎 |
| 治療内容 | スケーリング→TBI.禁煙指導→PMTC→TBI.禁煙指導 ※TBI:歯磨き指導 ※PMTC:着色除去 |
| 治療期間 | 1ヶ月 |
| 治療費 | 5,500円 (2022年11月現在) |
| リスク・副作用 | しみる症状が出る、着色除去後も再度着色してくる可能性がある、歯肉が退縮し隙間ができる可能性がある |
| 治療方針 | スケーリング→TBI.禁煙指導→PMTC→TBI.禁煙指導 定期的なメインテナンスで着色や歯石の着き具合を管理 ※TBI:歯磨き指導 ※PMTC:着色除去 |
| 特記事項 | タバコにより歯石も硬く、その上に着色が付着していた為、落ちにくいこと説明。その他にもタバコにより歯周病の発見が遅れることや歯肉が綺麗に治りにくいことなど説明。 |
| 担当者所見 | クリーニングをしてもすぐにまた着色や歯石がついてこない様に、ブラッシング指導や禁煙指導を入念に行い、ご自身でも管理して頂く必要がある。 上の前歯の着色に関してはクリーニングでは落ちない為レジンの再充填を今後ドクターにお願いする予定。 |
CASE 38
Before①
After①
Before②
After②
基本情報
| 年齢・性別 | 28歳・男性 |
|---|---|
| 主訴 | クリーニング希望 |
| 治療部位 | 全顎 |
| 治療内容 | スケーリング、TBI ※TBI:歯磨き指導 PMTC ※PMTC:着色除去 |
| 治療期間 | 2週間 |
| 治療費 | 合計:7,900円 ・内訳 スケーリング:2,400円 PMTC:5,500円 (2022年12月現在) |
| リスク・副作用 | 歯石除去後、知覚過敏の症状が出る可能性がある。 着色は再度付着する可能性があるため、その時は定期的に落としていく必要がある。 |
| 治療方針 | 1.スケーリング、TBI、禁煙指導 2.PMTC、TBI、禁煙指導 |
| 特記事項 | 喫煙により歯石と着色が硬くこびりついていた。 プラークの付着はそこまで見られなかった。 |
| 担当者所見 | 電動歯ブラシを使用しているということもあり、プラークはあまり付着していなかったが、数年間定期検診に通っていなかった為、歯ブラシでは落とせない歯石や着色が蓄積されていた。 今後は定期的なクリーニングをして着色がなるべくつかないように管理していく必要がある。 |
CASE 39
Before①
After①
Before②
After②
Before③
After③
基本情報
| 年齢・性別 | 90歳・男性 |
|---|---|
| 主訴 | 歯茎から血が出る |
| 治療部位 | 全顎 |
| 治療内容 | 1.歯ブラシでのTBI(歯磨き指導) 2.上顎のスケーリング、TBI(歯磨き指導) 3.下顎のスケーリング、歯間ブラシでのTBI(歯磨き指導) 4.PMTC(着色除去)、TBI(歯磨き指導) 4.再評価、TBI(歯磨き指導) 5.SRP(縁下歯石除去/4ブロックに分けて)、毎回TBI(歯磨き指導) 6.再評価 |
| 治療期間 | 2ヶ月間 |
| 治療費 | 合計:合計10,220円 ・内訳 スケーリング:640円 PMTC(着色除去):5,500円 上下顎のSRP(縁下歯石除去/左右):1,020円×4 (2022年12月現在) |
| リスク・副作用 | ・最初はブラッシング時、出血することがある。 ・スケーリング後、歯肉が下がり知覚過敏や、見た目上、歯が長く見えたり、隙間が開いてしまうことや、歯が揺れる可能性がある。 ・歯磨きを怠ると再度歯石が着く可能性がある。 |
| 治療方針 | 歯周病治療を行うにあたって、血圧の薬を他のものに変えて頂くか中断して頂かないと、この歯茎の盛り上がりは改善されないと判断し、患者様に相談し内科医より同意を得た上で、血圧の数値も安定していた為、無理ない範囲で中断してもらい、歯周病治療を行った。 治療期間中、特に問題なく、血圧の数値も安定していた。 歯周治療後は、内科医により血圧の薬の種類を変えて頂いた。 |
| 特記事項 | ・何十年も前に歯医者に行った時に虫歯もなく特に問題ないと言われ、それから一度も歯医者に通っておらず、自分では口腔内は健康だと思っていた。 ・血圧の薬(ニフェジピン:副作用で歯肉増殖を引き起こす薬)を服用していた為、歯茎が盛り上がってしまい清掃困難な状態だった。 |
| 担当者所見 | 歯周病治療を成功させるために一番重要なことは、ホームケアの確立であることを改めて実感した。 患者様自身、自分が歯周病だとは思っていなかったが、歯周病治療がひと段落した時に、「歯茎から出血しなくなり食事が美味しくなった」と今までの口腔内との違いを実感していた。 |
CASE 40
before
after
再来院時のお口の中の状況
基本情報
| 年齢・性別 | 35歳・男性 |
|---|---|
| 主訴 | 全顎の歯石除去希望 |
| 治療内容 | 1.TBI.スケーリング 2.TBI.PMTC 3.TBI.SRP |
| 治療期間 | 2ヶ月 |
| 治療費 |
合計 13,890円 ・内訳 初診スケーリング3,950円 PMTC 5,500円 SRP 2回 4,440円 (PMTCのみ自由診療、他保険適用3割負担) (2022年12月現在) |
| リスク・副作用 | ・歯石を落とすことにより知覚過敏の症状が出る可能性がある ・歯肉が退縮し歯が長く見える可能性がある ・下顎前歯は叢生のため歯磨きが難しいが適切に当たらないと再度歯石がついてしまう |
| 特記事項 |
・ブラッシング圧が強く2,3週間で歯ブラシの毛先が開いてくるため交換している ・縁下歯石はそこまでついていなかった |
| 治療方針 | 縁下歯石はそこまでついていないと判断し、通常のスケーリングとTBIを中心に歯周基本治療をしっかり行っていく 特に叢生部分のホームケアを定着させる |
| 担当者所見 | 全顎的にそこまでプラークコントロールが悪いわけではなかったが、前歯部の見えるところに歯石が付着しながらもここまで放置してしまっていた事から歯への意識の低さを感じたため、今後はこの状態に違和感を感じてもらえるよう本来の健康的な歯面を再確認してもらいました。 「再来院時のお口の中の状況」の写真はスケーリング、TBIをして次の来院の再評価をした時の写真です。 |
CASE 41
初診時①
TBI後①
初診時②
TBI後②
基本情報
| 年齢・性別 | 26歳・男性 |
|---|---|
| 主訴 | 検診、全体の歯茎からの出血が気になる |
| 治療内容 | TBI(歯磨き指導)、食生活指導、スケーリング 今後はPMTC 、SRPを行う予定 |
| 治療期間 | 1ヶ月 |
| 治療費 | 合計 5,360円 初診検査、TBI 3,090円 TBI、スケーリング 960円 再評価、TBI 1,310円 (保険適用3割負担) (2022年12月現在) |
| リスク・副作用 | ・歯肉腫脹の為しっかり歯ブラシを当てると最初は歯肉に痛みがでたり出血する ・今までプラークで歯面が覆われていたため、歯面が露出すると最初だけ歯がしみることがある |
| 特記事項 | ・クリーニングは3年ぶり ・歯磨きをすると血が出るので柔らかい歯ブラシを使ってた ・間食よくする、特にチョコ、飲み物はカフェラテよく飲む |
| 治療方針 | 1.TBI(歯磨き指導)、食生活指導 2.TBI(歯磨き指導)、スケーリング (TBI後の写真は歯科医院でのクリーニング前に撮影したものです。) 3.PMTC 4.SRP |
| 担当者所見 | この症例は歯科医院でのクリーニングをせず、患者さま自身が自分でここまで綺麗に改善させることができて歯磨きがいかに大切なのか、歯磨きの仕方だけでここまで変えることができるという症例です。 長期に渡るプラークの停滞によりエナメル質が溶けてしまい、初期虫歯になっている為、歯の表面に凹凸ができ、よりプラークが付着しやすくなってしまっていました。 歯茎からの出血には気付くことができたが、全体的についたプラークには気付くことが出来ていなかった為、口腔内への意識づけと、生活習慣についての見直しをしてもらい、TBI(歯磨き指導)を重ね、患者さま自身でここまで綺麗にケアできるようになりました。これを維持し続けるとこが大切なので今後も歯科医院ではクリーニングをしながら、自然と磨けるように指導していきます。 |
CASE 42
Before
after
基本情報
| 年齢・性別 | 53歳・女性 |
|---|---|
| 主訴 | 右下歯茎が痛い |
| 治療内容 | 1.主訴の右下6番中心に下顎の縁上縁下のスケーリング 2.上顎、下顎の再度スケーリング、歯ブラシにてTBI 3.再評価、歯間ブラシTBI 4.SRP 5.PMTC ※毎回TBIチェック |
| 治療期間 | 2ヶ月 |
| 治療費 | 合計 15,800円 初診検査 2,850円 スケーリング、TBI 1,200円 再評価、TBI 770円 SRPまとめて 5,480円 PMTC 5,500円 (PMTCのみ自由診療、他保険適用3割負担) (2022年12月現在) |
| リスク・副作用 | ・歯石を除去することにより、歯肉が下がり知覚過敏の症状がでる可能性がある ・歯石除去後は歯肉が引き締まるまでは細菌が入りやすい為、管理が不十分だとまたすぐに歯石がついてくる可能性がある ・歯肉が引き締まると歯間の隙間がより大きく感じてしまう 歯ブラシだけではしっかりとした管理ができないため、歯間ブラシを使用していただく必要がある |
| 特記事項 | 歯科医院3年ぶり ブラウンの丸型の電動歯ブラシ使用中 歯間ブラシSSSサイズ持っているが使ってなかった |
| 治療方針 | 歯石除去をして今までの状態に違和感を感じてもらい、今後歯石がつかないような歯ブラシの当て方を徹底的に指導する |
| 担当者所見 | 主訴の右下はかなり骨吸収が進んでいて歯石により歯肉が陥没してしまっていた 歯石除去後も磨きにくい部分だった為プラークの停滞によりなかなか歯肉が引き締まらなかったが、歯間ブラシSサイズと手動歯ブラシのルシェロB20Mで最終的には綺麗に管理できるようになった 電動歯ブラシを元々使用していたが、歯間に毛先が入っていく感覚が電動歯ブラシではなかなか掴めなかった為、1日1回は手動歯ブラシを使ってもらうことにした 今後は3ヶ月おきに定期検診で通って頂き、この状態を維持できるようにしてもらう |
CASE 43
Before
after
基本情報
| 年齢・性別 | 18歳・男性 |
|---|---|
| 主訴 | 全額着色が気になる |
| 治療内容 | スケーリング、PMTC |
| 治療期間 | 1日 |
| 治療費 | 合計9,380円 初診検査、スケーリング 3,880円 PMTC 5,500円 (PMTCのみ自由診療、他保険適用3割負担) (2022年12月現在) |
| リスク・副作用 | 再度着色や歯石がつく可能性がある |
| 特記事項 |
3年ぶりのクリーニング。今まで母親に連れて行かされていたが、そろそろ自分でいきなさいと言われたため、自分で予約を取って来院。 コーヒーよく飲む。 |
| 治療方針 | 1.スケーリング、PMTC 2.TBI 3.定期検診へ |
| 担当者所見 | カリエスリスク、歯周病リスクが共に低いのと、年齢的にも若いため、なかなか自発的に歯科医院に通う習慣がなかったが、親御さんが定期検診の重要性を理解していたため、今回クリーニングを行うことができた。 これを機に、「歯科検診に通ってよかった」と思ってもらえるように、定期検診の重要性を伝えていきます。 |
CASE 44
Before①
after①
Before②
after②
基本情報
| 年齢・性別 | 54歳・男性 |
|---|---|
| 主訴 | 全額クリーニング希望、見えるところは今日全部綺麗にして欲しい |
| 治療内容 | 1.スケーリング,PMTC 2.スケーリング,PMTC,TBI |
| 治療期間 | 1日 |
| 治療費 |
合計 11,440円 スケーリング 2,670円 PMTC 5,500円 SRP 3,270円 (PMTCのみ自由診療、他保険適用3割負担) (2022年12月現在) |
| リスク・副作用 | 一気に着色、歯石を除去するため知覚過敏が起きたり歯肉が下がることがある |
| 特記事項 |
クリーニング5年ぶり。 歯石、着色共にかなり大量に付着。タバコ、コーヒーは毎日かかさない。 |
| 治療方針 | 1.スケーリング、PMTC (表側のみ)→after写真 2.スケーリング、PMTC (残り)、TBI 3.TBIチェック、SRPへ |
| 担当者所見 | タバコにより歯石、着色がかなり硬くこびりついていた為、除去するのが大変だった。 患者様もクリーニングを受けながら、汚れを溜め込みすぎたとおっしゃっていた為、今後はホームケアを定着させ、定期検診も通っていただくよう意識付けをしていきたい。 |
CASE 45
Before
after
基本情報
| 年齢・性別 | 59歳・男性 |
|---|---|
| 主訴 | 主訴:奥様に着色が気になると言われた為、着色除去してほしい 治療部位:全顎 |
| 治療内容 | 1.歯周基本検査、歯石除去(下顎のみ) 2.着色除去、歯石除去(上顎のみ) 3.着色除去残り、仕上げ |
| 治療期間 | 3週間 |
| 治療費 |
■合計15,370円 ・内訳 1.検査・歯石除去(下顎のみ) 保険診療3割負担:3,300円 2.着色除去(PMTC) 自費診療、歯石除去(上顎のみ)保険診療3割負担:5,500円+1,070円 3.着色除去(PMTC) 自費診療:5,500円 (2022年6月現在) |
| リスク・副作用 | 一度着色を除去しても再度着色するため、定期的なクリーニングが必要 |
| 治療方針 | 歯周病や虫歯は問題なかったため、着色除去を重点的に行う 上下全顎裏表に着色がついてたため、今回は2回かけて除去 (着色の量により1回で全顎除去できる場合もあります) |
| 特記事項 | 紅茶、お茶を頻繁に飲む。透析をされていて治療期間中、歯磨きや歯科医院でのクリーニングが満足にできていなかったため着色がついたとのことご本人は目があまり見えないため、除去後奥様に確認して頂いた |
| 担当者所見 | 歯周病の心配もなく磨き残しもかなり少なかったため、今後は3ヶ月に一度の定期検診で通って頂くことになりましたが、どのくらいの期間でここまで着色してきたか分からないため、次回の着色の着き具合で、クリーニングの間隔を再度ご相談させて頂こうと思っています |
CASE 46
Before
after
基本情報
| 年齢・性別 | 37歳・男性 |
|---|---|
| 主訴 | 主訴:歯石、着色を落としたい 治療部位:全顎 |
| 治療内容 | スケーリング PMTC |
| 治療期間 | 60分 |
| 治療費 | PMTC(自費診療)5,500円 (2024年6月現在) |
| リスク・副作用 | ・個人差がありますが、1週間程度歯を磨くといつもより出血することがあります。 ・治療の結果、腫れていた歯ぐきが引き締まることで、歯ぐきが下がったように見えますが下がったわけではなく、本来の状態に戻ったことによる見た目の変化です。それに伴い、歯がしみやすくなることもあります。 |
| 治療方針 | 着色、歯石を落としたいとのことでご来院された患者さまです。 歯の表面にプラークが残っていて歯ぐきが炎症を起こしている状態です。 まず全顎スケーリングを行い歯石とプラークを除去しました。 その後PMTCを行い、表面のバイオフィルムと着色を落としました。 今後歯ぐきの炎症を治していくためにもご自宅でのセルフケアの仕方を一緒に確認していきます。 |
| 特記事項 | ・約1年ぶりの歯科受診 |
| 担当者所見 | 歯面に着色が付着すると、ザラザラしているためプラークが付きやすい状態になります。 プラークが歯面に停滞すると細菌が毒素を出し歯ぐきの腫れや出血、虫歯や歯周病の原因となります。 原因となるプラークを日々のセルフケアでしっかり落としていきましょう。 |
CASE 47
Before
after
Before
after
Before
after
基本情報
| 年齢・性別 | 34歳・女性 |
|---|---|
| 主訴 | 主訴:着色落としたい 治療部位:全顎 |
| 治療内容 | 全顎スケーリング・PMTC |
| 治療期間 | 60分 |
| 治療費 | PMTC(自費診療)5,500円 (2024年1月現在) |
| リスク・副作用 | 知覚過敏 |
| 治療方針 | 超音波スケーラーでの歯石除去とPMTCでのステインの除去行いました。 |
| 担当者所見 | コーヒーをよく飲まれる患者様であるため着色がつきやすく定期的なクリーニングを行っていく。 |
CASE 48
Before
after
Before
after
Before
after
Before
after
Before
after
基本情報
| 年齢・性別 | 33歳・男性 |
|---|---|
| 主訴 | 主訴:クリーニング希望、着色気になる 治療部位:全顎 |
| 治療内容 | スケーリング PMTC |
| 治療期間 | 60分 |
| 治療費 | PMTC(自費診療)5,500円 (2024年7月現在) |
| リスク・副作用 | ・歯石を除去したことにより、個人差はありますが1週間程度歯を磨くといつもより出血しやすくなる可能性があります。 ・着色は1度除去しても再度付着します。 |
| 治療方針 | 着色が気になるとのことでご来院された患者さまです。 まず下顎前歯部に付着した歯石をスケーリングで落としてから、PMTCで着色を除去しました。 |
| 特記事項 | ・喫煙歴なし ・歯科医院受診2年ぶり |
| 担当者所見 | 歯面に着色が付着すると、ザラザラしているためプラークが付きやすい状態になります。 プラークが歯面に停滞すると細菌が毒素を出し歯ぐきの腫れや出血、虫歯や歯周病の原因となります。 コーヒーをよく飲まれるとのことで、着色しやすい物を摂取した後にはうがいをしたり、着色予防の歯磨き粉を使用するなどセルフケアの仕方を患者さまと一緒に確認していきました。 |
CASE 49
Before
after
Before
after
基本情報
| 年齢・性別 | 27歳・男性 |
|---|---|
| 主訴 | 主訴:着色取って欲しい 部位:全顎 |
| 治療内容 | 全顎スケーリング、PMTC |
| 治療期間 | 60分 |
| 治療費 | 5,500円 (2024年9月現在) |
| リスク・副作用 | ・着色は1度綺麗に落としても再度付着します。 ・歯石除去後、歯ぐきに違和感や痛みを覚える場合がありますが、徐々に改善していきます。 |
| 治療方針 | 着色を取って欲しいとの事でご来院された患者さまです。 全顎的に着色と下顎前歯部に歯石が付着していました。 スケーリングで歯石除去後、PMTCで着色を落としました。 歯ぐきの腫れ、出血が見られるため今後ブラッシング方法を患者さまと一緒に確認していきます。 |
| 特記事項 | ・歯科受診約4年ぶり |
| 担当者所見 | 上下顎共に歯の裏側に着色が多く付着していました。 これは喫煙されている方に多く見られます。 タバコを吸うとタバコの煙に含まれているタール(ヤニ)、ニコチンが口腔内に広がり歯の表面に付着し着色の原因となります。 さらにニコチンは血管を収縮させ、歯ぐきの血行を悪くするため歯ぐきが黒っぽく変色したり炎症に気付きづらくなります。 |
CASE 50
Before
after
Before
after
Before
after
基本情報
| 年齢・性別 | 34歳・男性 |
|---|---|
| 主訴 | 主訴:着色落としたい 部位:全顎 |
| 治療内容 | 全顎スケーリング、PMTC |
| 治療期間 | 60分 |
| 治療費 | 5,500円 (2024年9月現在) |
| リスク・副作用 | ・着色は1度綺麗に落としても再度付着します。 ・個人差はありますが1週間程度、歯を磨くと出血することがあります。 |
| 治療方針 | 着色を落としたいとのことでご来院された患者さまです。 現在大学病院で治療を行っており、かかりつけの歯医者がないためこちらを受診、クリーニングのみご希望でした。 全顎スケーリング、PMTCを行い、歯石、着色を除去しました。 |
| 特記事項 | ・大学病院で歯科治療中 ・コーヒーよく飲む、喫煙歴なし |
| 担当者所見 | 右上1番は被せ物が入っており、特に歯頸部に汚れが残りやすいため、歯ブラシの当て方の確認と、下顎前歯部に歯石が付着していたため、フロスの使い方を患者さまと一緒に確認しました。 着色はコーヒーをよく飲むとの事で、着色のつきやすい食べ物を摂取した後にはうがいをしたり、着色予防成分の入った歯磨き粉の使用をするなどセルフケアでの予防方法をお伝えしました。 |
CASE 51
Before
after
基本情報
| 年齢・性別 | 31歳・女性 |
|---|---|
| 主訴 | クリーニングしたい |
| 治療内容 | スケーリング |
| 治療期間 | 1時間 |
| 治療費 | スケーリング 保険診療約1,500円 (2024年2月現在) |
| リスク・副作用 | 歯石除去後は、歯がしみることがあります。 |
| 治療方針 | 正しい歯磨きの仕方を確認してから、歯の表面についている大きい歯石を除去しました。 プラークが歯に長期間ついていると、再石灰化されて歯石になります。 正しいセルフケアにより、歯肉の炎症が改善してから歯周ポケットの内側についている歯石を除去しました。 初診時の歯周病の検査では、口腔内全体の60%から出血が認められました。 約1ヶ月後に再度歯周病の検査を行なった結果、7%まで出血が減少しました。 |
| 特記事項 | 約15年ぶりに歯科医院に受診し、クリーニングを受けたそうです。 |
| 担当者所見 | 正しいセルフケアを確立するために、磨き残しを赤く染めて、歯ブラシの当て方や、フロスの通し方を確認しました。 毎日の歯磨きを協力してもらったことで、赤くなった歯肉や腫れが治りました。 今後も良い歯肉を保つためには、正しいセルフケアの継続と定期検診が重要になります。 |
CASE 52
Before
after
Before
after
基本情報
| 年齢・性別 | 38歳・男性 |
|---|---|
| 主訴 | 主訴:クリーニング希望 治療部位:全顎 |
| 治療内容 | 全顎スケーリング、PMTC |
| 治療期間 | 約60分 |
| 治療費 | 約5,500円 (2024年11月現在) |
| リスク・副作用 | ・歯石除去後、1週間程度歯を磨くと出血しやすくなることがあります。 ・着色は1度除去しても再度付着します。 |
| 治療方針 | クリーニング希望でご来院された患者さまです。着色が気になるとの事でした。 上下ともに前歯の裏側に特に強く付着していました。 歯の表面に着色が付着すると、プラークや細菌の足場となり歯周病が進行する原因になるため患者さまご自身で予防できるようにセルフケアの仕方を確認していきます。 |
| 特記事項 | ・歯科受診約10年ぶり |
| 担当者所見 | 今後は、虫歯の治療と並行しながらブラッシング指導や歯周病の治療を進めていく予定です。 |
CASE 53
Before
after
基本情報
| 年齢・性別 | 23歳・女性 |
|---|---|
| 主訴 | 主訴:歯石取りたい 治療部位:全顎 |
| 治療内容 | スケーリング・PMTC |
| 治療期間 | 60分 |
| 治療費 | PMTC(自費診療)5,500円 (2024年1月現在) |
| リスク・副作用 | 歯石除去後は歯ぐきが下がったように見えます。 一時的にしみたり歯ぐきに痛みが出る可能性があります。 |
| 治療方針 | クリーニング希望で来院された患者さまです。 特に下顎前歯の磨き残しや歯石が多く、歯ぐきにも炎症が見られました。 当日クリーニングをして、その後正しい歯ブラシの当て方を一緒に確認していきました。 その結果、後日来院された際には磨き残しもなく歯ぐきの腫れも治まっていました。。 |
| 特記事項 | 約4年以上ぶりの歯科受診だそうです。 |
| 担当者所見 | 下顎の前歯は磨きにくく汚れが溜まりやすい部位です。 日々の歯ブラシに加えてフロスを正しく使う習慣をつけましょう。 |
CASE 54
Before
after
基本情報
| 年齢・性別 | 36歳・男性 |
|---|---|
| 主訴 | クリーニングしたい。 |
| 治療内容 | 全顎 スケーリング |
| 治療期間 | 30分 |
| 治療費 | スケーリング:約1,500円(保険診療3割負担) (2024年4月現在) |
| リスク・副作用 | 歯ぐきの炎症が治ると、腫れた歯ぐきが下がって歯が長くなったように見える事があります。 |
| 治療方針 | 約半年ぶりの歯科医院受診で、歯石を取りたいとのことでご来院されました。 また、歯磨きしている時に出血するのが気になるそうです。 初診時、歯ぐきが赤く腫れていて炎症を起こしています。 まずは歯石を除去して歯周病の治療を進めました。 また、正しい歯磨きの仕方を習得してもらいました。 セルフケアの状況を確認したところ、使用中の歯ブラシは毛先が開いていて、プラーク除去効率が低いことが分かりました。 歯ぐきの炎症により歯ブラシが当たると痛いため、まずは柔らかい歯ブラシを使用して、1、2ヶ月毎に交換してもらいます。 歯ぐきの内側にも歯石が付いています。 痛みがある場合は麻酔をして歯ぐきの内側の歯石を除去します。 |
| 特記事項 | 海外から来日されました。 今回は治療できる期間が短かったため、応急的に処置しました。 歯周病の治療は治療期間が必要です。 |
| 担当者所見 | 正しいセルフケアと定期的なメインテナンスで歯周病を予防します。 |