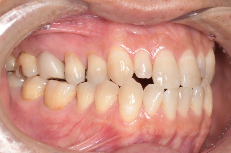
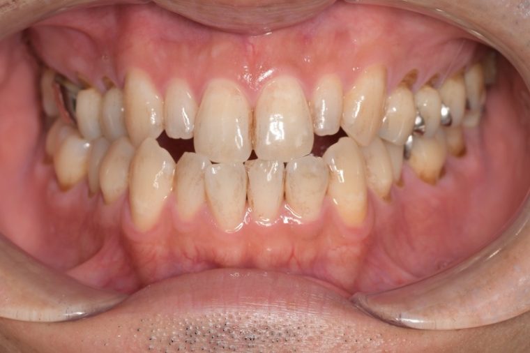
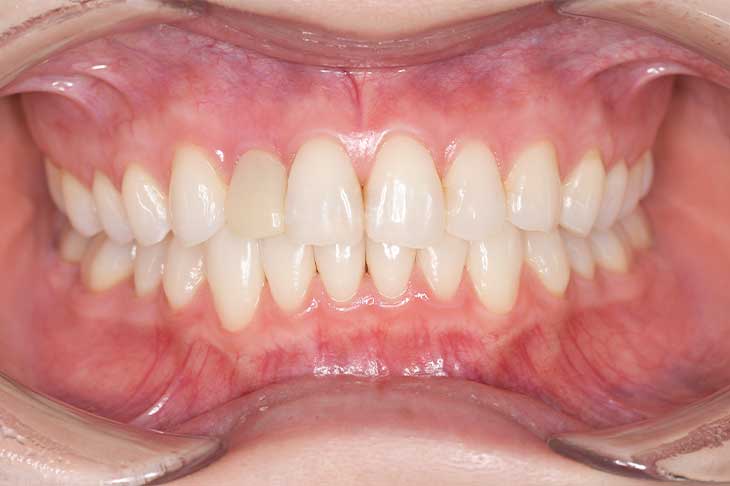
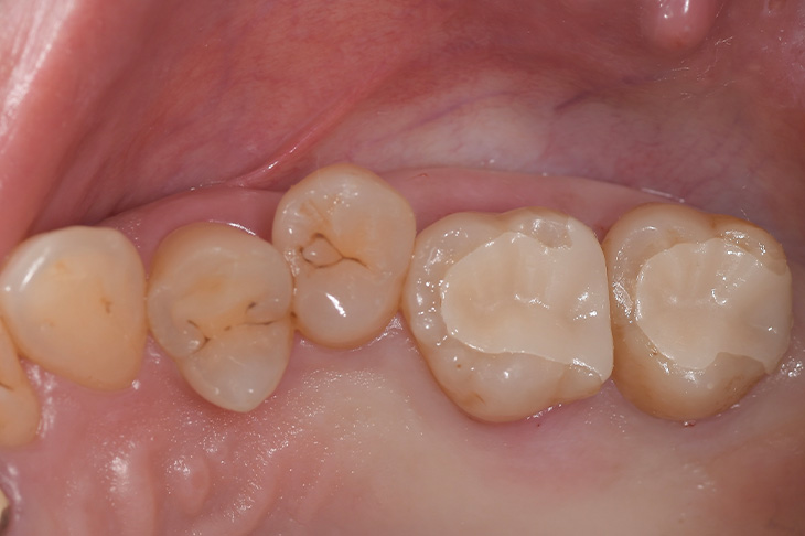
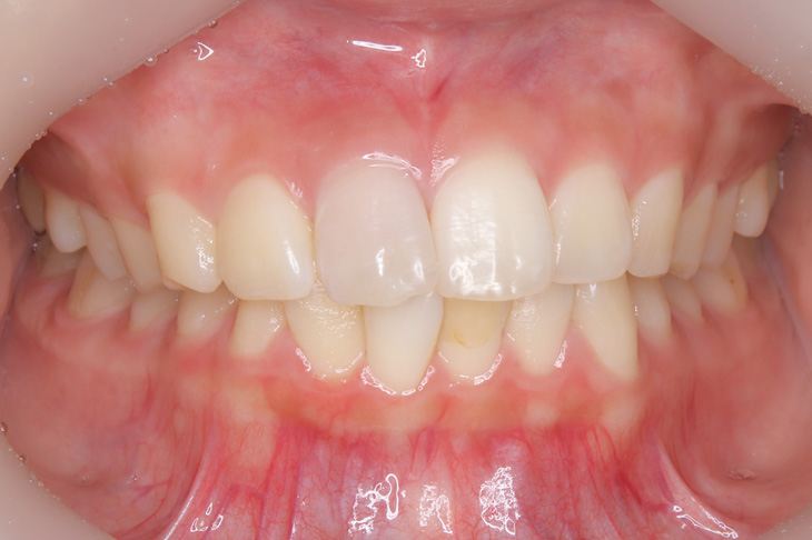
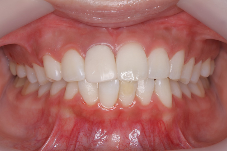
CASE 1
Before
After
Before
途中経過
After
基本情報
| 年齢・性別 | 20代・女性 |
|---|---|
| 主訴 | 右上1の審美障害 |
| 治療内容 | ジルコニアボンドクラウン |
| 治療費 | 165,000円 |
| 治療期間 | 1ヶ月 |
| リスク・副作用 | 歯の破折 |
| 治療方針 | まずは仮歯を入れながら形、機能面を精査。 その後問題がなければ最終的な被せ物の型取りと色合わせをしていき、仮の接着剤でしばらく過ごしていただく。 日常生活に問題がなく、審美的にも満足していただけたら最終的な接着剤で装着。 |
| 特記事項 | 仮歯の期間は患者様のお口の中の状態で変わってきます。 |
| 担当者所見 | 前歯をぶつけ、神経が死んでしまったため黒くなってしまった症例になります。元々の歯がかなり白く綺麗であったため審美面での調整が難しいケースになりましたが最終的に満足していただくことができました。 |
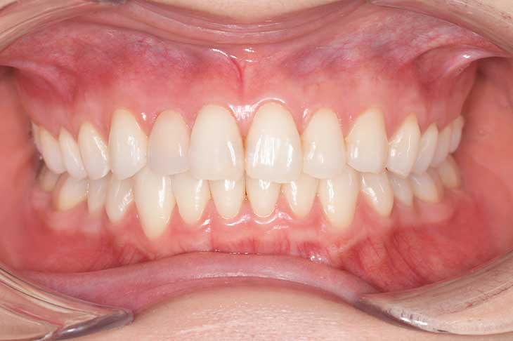
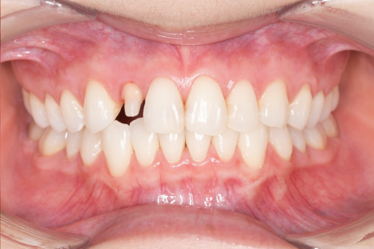
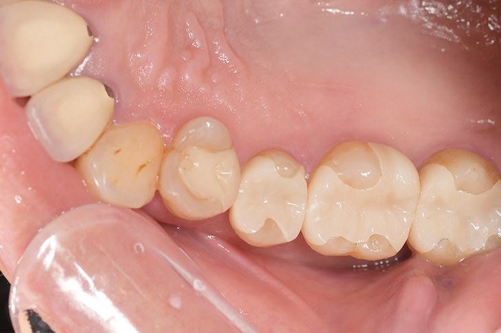
CASE 2
Before
After
基本情報
| 年齢・性別 | 30代・男性 |
|---|---|
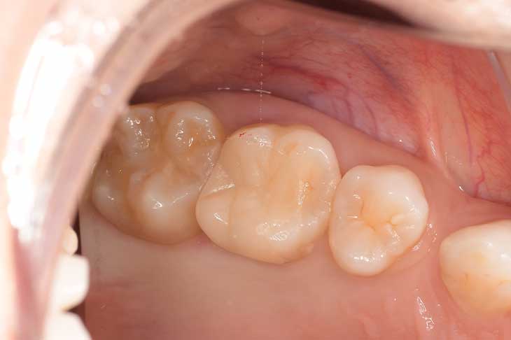
| 主訴 | 銀歯を白くしたい |
| 治療内容 | 金属除去、詰め物被せ物治療 |
| 治療費 | 合計330,000円 詰め物(セラミックインレー) 55,000円×2 被せ物(ジルコニアステイニング) 110,000円×2 |
| 治療期間 | 2週間 |
| リスク・副作用 | 神経の治療 |
| 治療方針 | 金属を除去し中の虫歯をしっかりとりき りセラミックの詰め物被せ物の型取り。 |
| 特記事項 | 金属の中は虫歯になっており、症状がなかったが神経まで達していて神経の治療が 必要になったケースです。 |
| 担当者所見 | 一本ずつではなく同時にブロックで型取り、色味合わせを行なったため精度、審美面 どちらも患者様には満足していただけました。 |
CASE 3
Before
After
基本情報
| 年齢・性別 | 20代・女性 |
|---|---|
| 主訴 | 銀歯を白いものに変えたい 左上6 |
| 治療内容 | 銀歯を除去してセラミックインレーに変えた |
| 治療費 | 55,000円 |
| 治療期間 | 約2週間 |
| リスク・副作用 |
・詰めた後にしみたり痛みが出ることがある ・嚙みあわせが強いと稀に割れることがある |
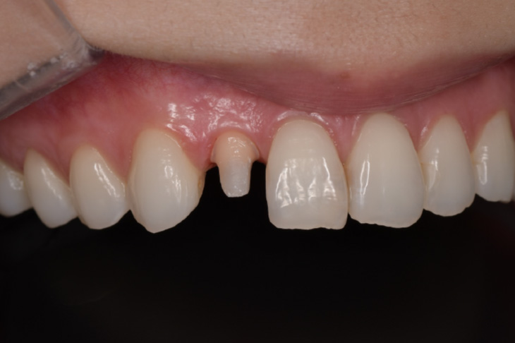
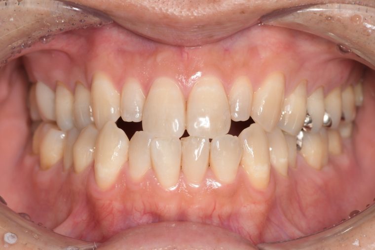
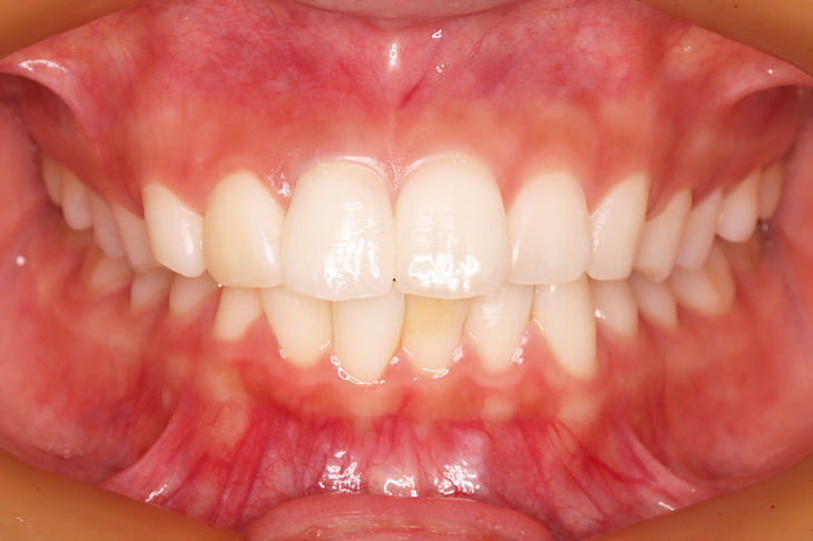
CASE 4
Before
After
Before
途中経過
After
基本情報
| 年齢・性別 | 20代・女性 |
|---|---|
| 主訴 | 右上2の審美障害 |
| 治療内容 | 前歯部ジルコニアボンド |
| 治療費 | 165,000円 |
| 治療期間 | 1ヶ月 |
| リスク・副作用 | 歯の破折 |
| 治療方針 | まずは仮歯を入れながら形、機能面を精査。 その後問題がなければ最終的な被せ物の型取りと色合わせをしていき、仮の接着剤でしばらく過ごしていただく。 日常生活に問題がなく、審美的にも満足していただけたら最終的な接着剤で装着。 |
| 特記事項 | 仮歯の期間は患者様のお口の中の状態で変わってきます。 |
| 担当者所見 | 前歯をぶつけ、神経が死んでしまったため黒くなってしまった症例になります。元々の歯がかなり白く綺麗であったため審美面での調整が難しいケースになりましたが最終的に満足していただくことができました。 |
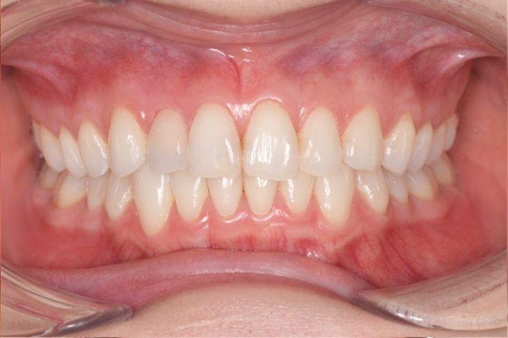
CASE 5
Before
After
基本情報
| 年齢・性別 | 28歳 女性 |
|---|---|
| 主訴 | 前歯を綺麗にしたい |
| 治療内容 | ジルコニアボンド オフィスホワイトニング |
| 治療費 |
仮歯(テック) 5,500円 ジルコニアボンド 165,000円 オフィスホワイトニング 2,750円×6回 合計 170,500円 |
| 治療期間 | 1ヶ月 |
| リスク・副作用 |
噛む力が強い方の場合、クラウンが欠けてしまうことがあるので、就寝時にマウスピースを装着していただく必要があります。 オフィスホワイトニングでは、ホワイトスポットや知覚過敏が起こる可能性があります。 |
| 治療方針 |
仮歯を装着し、ホワイトニングで白くなった色味に合わせてジルコニアボンドを作成し、試適、確認をしてから装着しました。 治療後はホワイトニングとジルコニアボンドクラウンにより審美性を獲得できましたが、ホワイトニング後の後戻りが起こる可能性があるため、定期的にホームホワイトニングを行っていただきます。 |
CASE 6
Before
After
基本情報
| 年齢・性別 | 30歳 男性 |
|---|---|
| 主訴 | 右下6がしみる |
| 治療内容 | 右下6の根管治療後、 ジルコニアボンドクラウンの型どりをし装着した。 |
| 治療費 | ジルコニアボンドクラウン 165,000円 |
| 治療期間 | 約1ヶ月 |
| リスク・副作用 |
欠けることがある 天然の歯より硬い |
CASE 7
Before
After
基本情報
| 年齢・性別 | 63歳 女性 |
|---|---|
| 主訴 | 主訴:金属を白いものにやり変えたい 部位:左上5~7番 |
| 治療内容 | 金属のインレーを除去し、ジルコニアインレーを装着した。 |
| 治療費 |
合計132,000円 ジルコニアインレー44,000円×3本 (2022年10月現在) |
| 治療期間 | 約2週間 |
| リスク・副作用 |
セット後凍みる事がある。 稀に割れることがある。 |
| 治療方針 | 銀歯を除去してジルコニアインレーにやり変え |
| 特記事項 | 2次カリエスにはなっていないが、銀歯の見た目が気になるので、ジルコニアインレーにやり変え |
CASE 8
Before
After
基本情報
| 年齢・性別 | 63歳 女性 |
|---|---|
| 主訴 | 主訴:金属を白いものにやり変えたい 部位:右上6番、右上7番 |
| 治療内容 | 金属のインレーを除去し、ジルコニアインレーを装着した。 |
| 治療費 | 合計88,000円 ジルコニアインレー44,000円×2本 (2022年10月現在) |
| 治療期間 | 約2週間 |
| リスク・副作用 |
セット後凍みる事がある。 天然歯より硬い素材のため、噛み合う歯を傷めることがある。 |
| 治療方針 | 銀歯を除去してジルコニアインレーにやり変え。 |
| 特記事項 | 2次カリエスにはなっていないが、銀歯の見た目が気になるので、ジルコニアインレーにやり変え。 |
CASE 9
Before
After
基本情報
| 年齢・性別 | 31歳 女性 |
|---|---|
| 主訴 | 主訴:虫歯を治して白い詰め物にしたい 治療部位:右上5番、右上6番 |
| 治療内容 | 右上5番、右上6番の虫歯を除去して型取りを行いセラミックインレーを入れた |
| 治療費 | 合計 110,000円 セラミックインレー55,000円×2本 (2023年1月現在) |
| 治療期間 | 約2週間 |
| リスク・副作用 |
凍みることがある。 再度虫歯になる可能性がある。 |
| 治療方針 | 右上5番、右上6番の虫歯を除去してセラミックインレーにする。 見た目の良さ、強度がある詰め物を希望されたためセラミックインレーにて治療。 |
| 担当者所見 | 綺麗な仕上がりにとても喜ばれていました。 詰め物をつけた後、凍みるなどの症状はなかったとのことです。 |
CASE 10
Before
After
Before
After
基本情報
| 年齢・性別 | 32歳 男性 |
|---|---|
| 主訴 | 右上4番、右上5番、右上7番 右下4~7番 左上4~6番 左下4~7番 |
| 治療内容 | 歯ぎしり・食いしばりが原因で歯と歯ぐきの境目が欠けた部分に、コンポジットレジン充填を行います |
| 治療費 | ■合計 約10,270円 ・内訳 (保険診療) コンポジットレジン充填:約1,000円/本 スケーリング: 約3,770円 (自由診療) PMTC:5,500円 (2022年6月現在) |
| 治療期間 | 約一週間 |
| リスク・副作用 |
凍みることがある。 再度虫歯になる可能性がある。 |
| リスク・副作用 | 欠ける可能性があります。 再度虫歯になる可能性があります。 着色する可能性があります。 削った部分はしみる可能性があります。 |
| 治療方針 | 歯石除去してから全体の着色を除去します。 欠けた部分の治療を行い、右上奥歯の銀歯が目立つため、保険診療の白い被せ物(保険適応)にやり変えます。 歯ぎしり、食いしばりにより再度欠けてしまうことがないよう、ナイトガードを使用していただきます。 着色は再度付着するため、今後は定期的なクリーニングを行います。 |
| 特記事項 | 歯を削った部分は、歯の神経までの距離が近くなるため、刺激が伝わり、しみやすくなります。 |
| 担当者所見 | 歯石、着色を除去してとても綺麗になりました。 右上の銀歯を保険診療の白い被せ物(保険適応)をご提案し、見た目も良くなり患者さまには満足していただきました。 |