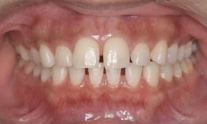
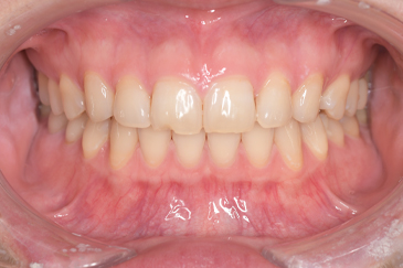
ホワイトニング
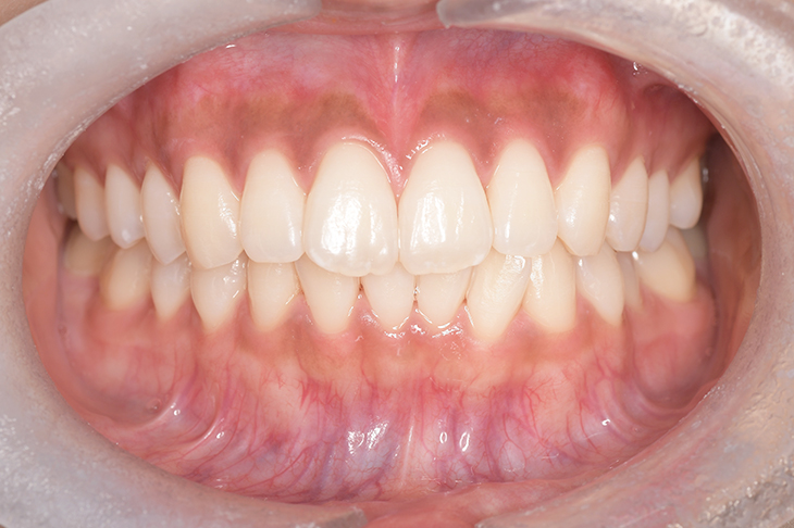
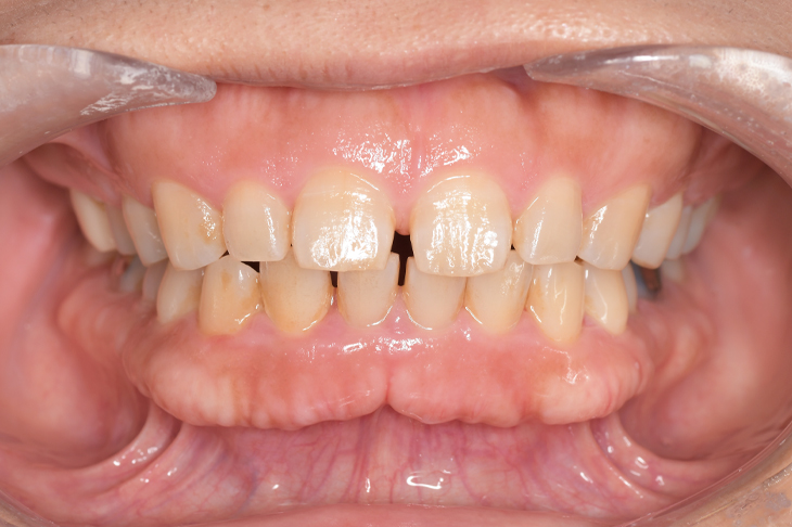
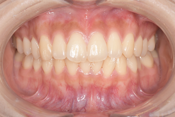
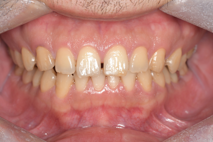
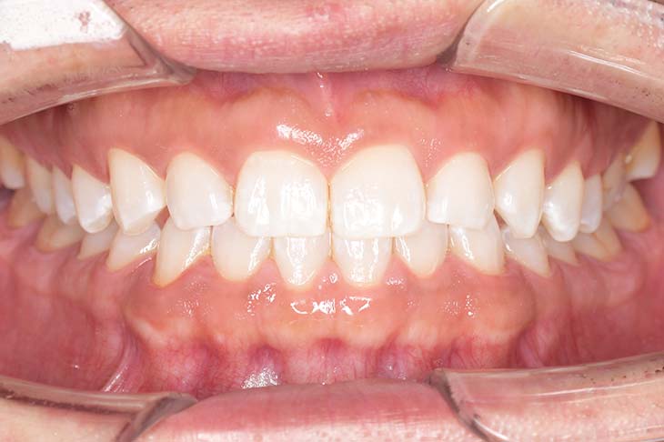
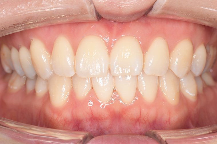
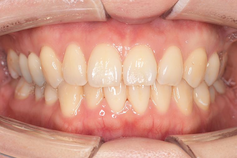
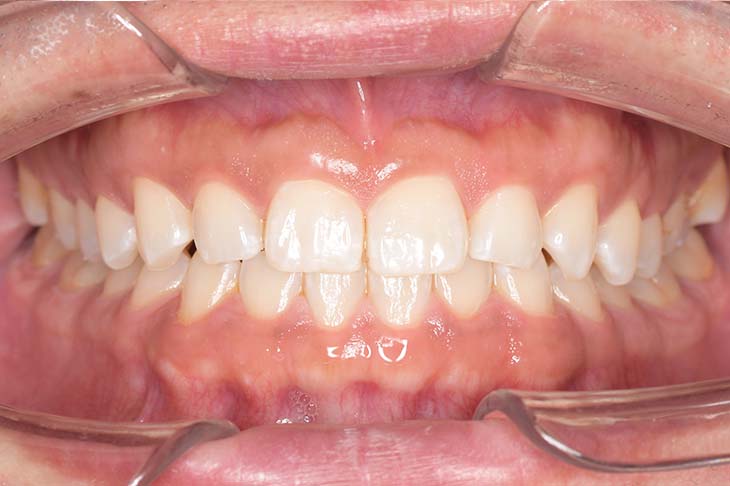
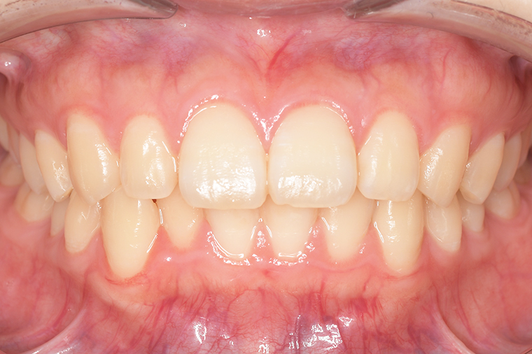
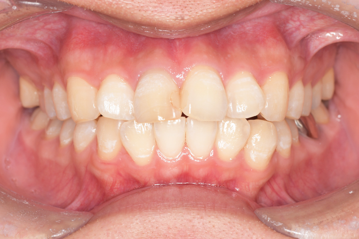
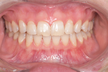
現在の治療費と異なる場合がございます。最新の治療費は料金表をご確認ください。CASE 1
Before
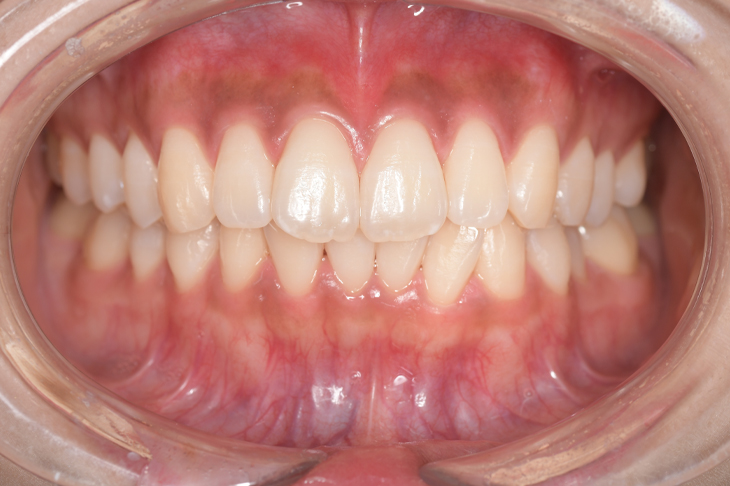
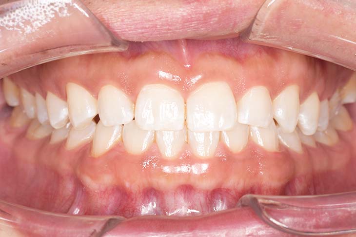
After
基本情報
| 年齢・性別 | 54歳 女性 |
|---|---|
| 主訴 | 白くしたい |
| 治療内容 | PMTC、オフィスホワイトニング |
| 治療費 | 9,900円 |
| 治療期間 | 1ヶ月 |
| リスク・副作用 | 知覚過敏、ホワイトスポット |
| 治療方針 | ホワイトニングして、色が変化しなかったところはCRで修復する。 |
| 担当者所見 | オフィスホワイトニング1回で効果があったため、 今後オフィスホワイトニング3回とホームホワイトニングで白くする。 |
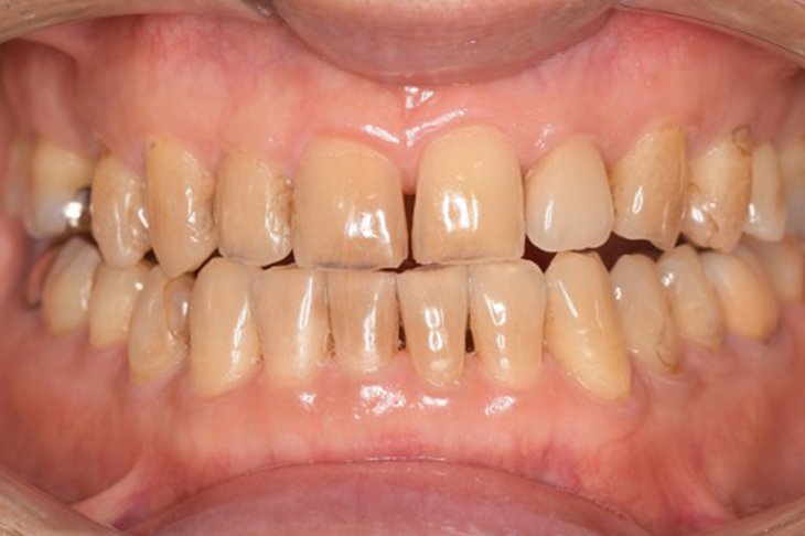
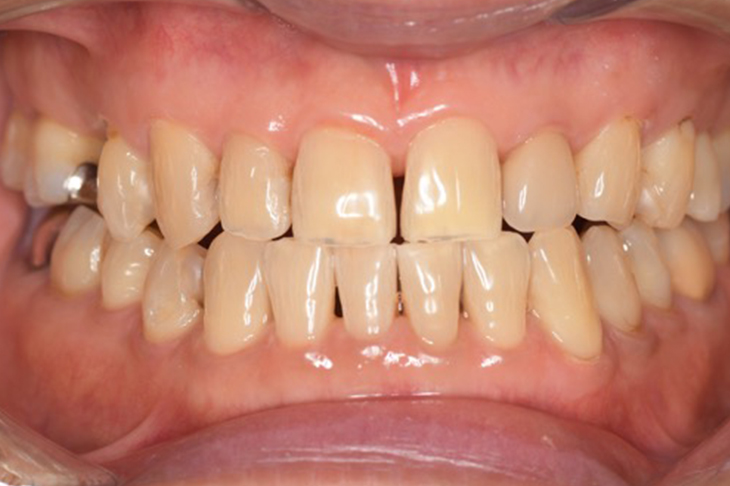
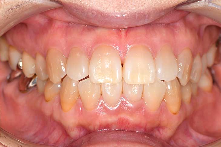
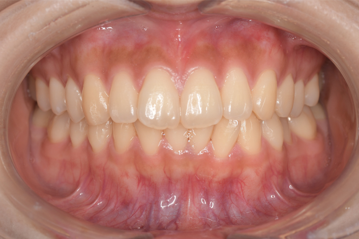
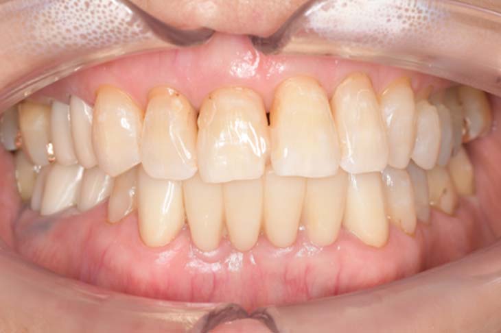
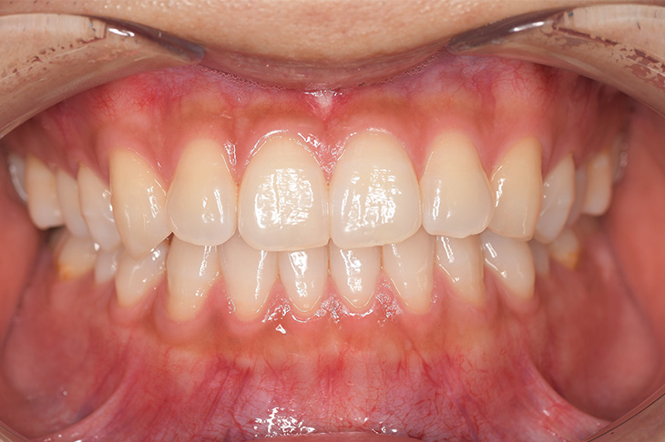
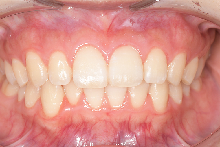
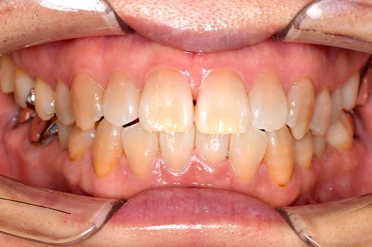
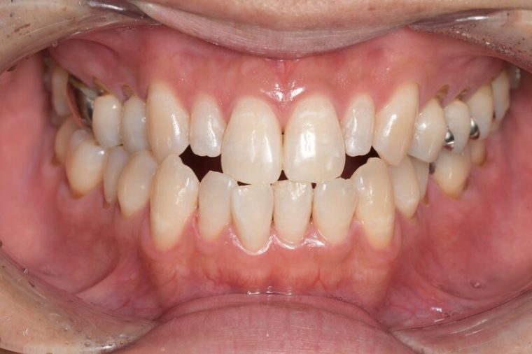
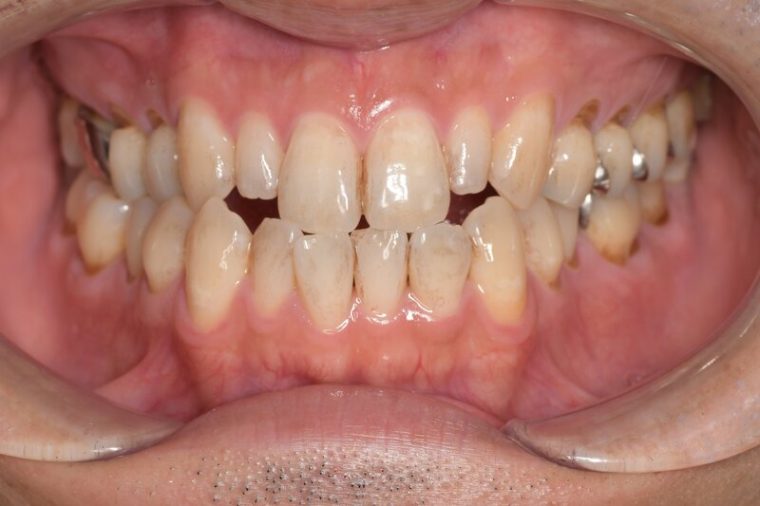
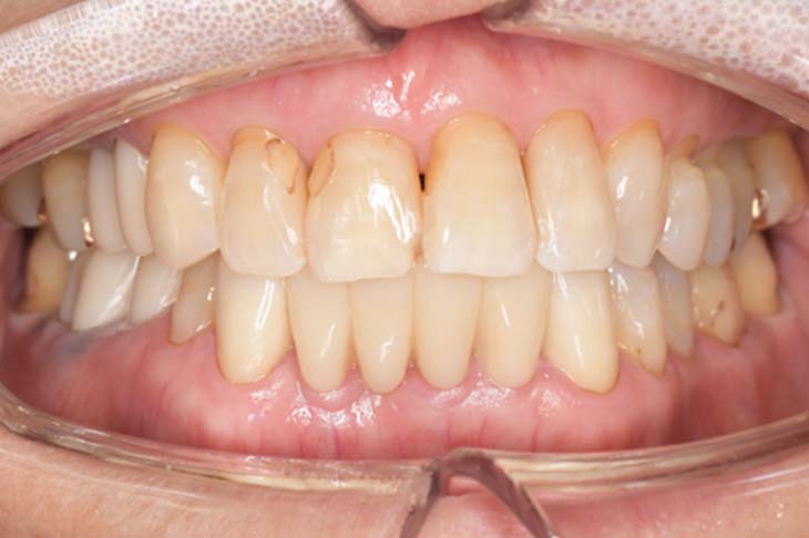
CASE 2
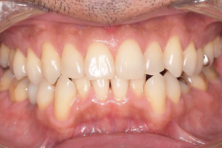
Before
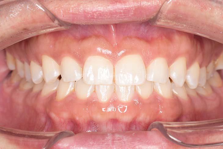
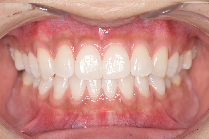
After
基本情報
| 年齢・性別 | 68歳 男性 |
|---|---|
| 主訴 | 着色取りとホワイトニング同時に行いたい |
| 治療内容 | PMTC、オフィスホワイトニング×3回 |
| 治療費 | PMTC 5,500円 オフィスホワイトニング 3,300円×3回 |
| 治療期間 | 2時間 |
| リスク・副作用 | 知覚過敏、ホワイトスポット |
| 治療方針 | 着色が強いため、まずはPMTCを行い、その後オフィスホワイトニングで内部から白くしていく。 |
| 特記事項 | 着色がついてる状態でのホワイトニングはあまり効果がない。 |
| 担当者所見 | PMTCの段階でかなりきれいになりましたがオフィスホワイトニングでより透明感を出すことができた。今後ホームホワイトニングで更に定着させていく。 |
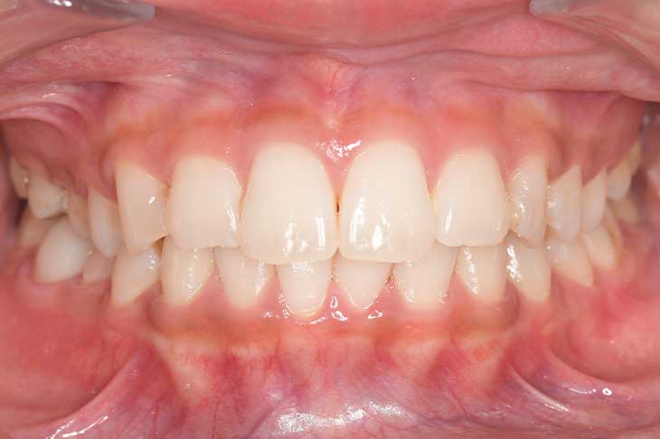
CASE 3
Before
After
基本情報
| 年齢・性別 | 25歳 男性 |
|---|---|
| 主訴 | ホワイトニングしたい |
| 治療内容 | オフィスホワイトニング×2回 |
| 治療費 | オフィスホワイトニング 3,300円×2回 |
| 治療期間 | 1時間 |
| リスク・副作用 | 知覚過敏、ホワイトスポット |
| 治療方針 | オフィスホワイトニングをして今後はホームホワイトニングで定着させていく。 |
| 担当者所見 | 知覚過敏の症状があったためオフィスホワイトニングは2回行い、今後は知覚過敏の様子をみながらご自身でホームホワイトニングを行っていただく。 |
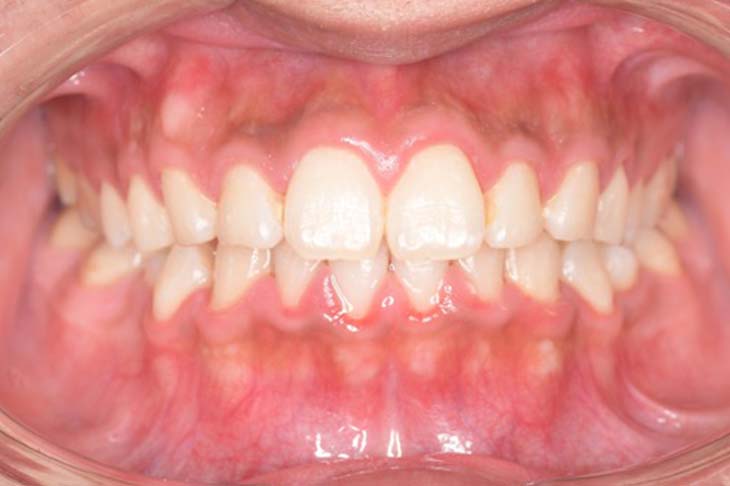
CASE 4
Before
After
基本情報
| 年齢・性別 | 54歳 女性 |
|---|---|
| 主訴 | 白くしたい |
| 治療内容 | PMTC、オフィスホワイトニング |
| 治療費 | 3,300円 |
| 治療期間 | 1ヶ月 |
| リスク・副作用 | 知覚過敏、ホワイトスポット |
| 治療方針 | ホワイトニングして、色が変化しなかったところはCRで修復する。 |
| 担当者所見 | オフィスホワイトニング1回のお試しで効果があったため、 今後オフィスホワイトニング3回とホームホワイトニングで白くする。 |
CASE 5
Before
After
基本情報
| 年齢・性別 | 36歳 女性 |
|---|---|
| 主訴 | 歯を白くして、シルバーインレーを白いものにやり替えたい。 |
| 治療内容 | オフィスホワイトニング3回 |
| 治療費 | 3,300円×3回 |
| 治療期間 | 90分 |
| リスク・副作用 | 知覚過敏、ホワイトスポット |
| 治療方針 | オフィスホワイトニングで全体的に白くしてから、詰め物をやり替える。その後はホームホワイトニングで白さを定着させる。 |
| 担当者所見 | 反応が良く、オフィスホワイトニング1回目から色の変化がありました。今後はホームホワイトニングで白さをキープしてもらい、定期検診でチェックしていきます。 |
CASE 6
Before
After
基本情報
| 年齢・性別 | 75歳 女性 |
|---|---|
| 主訴 | ホワイトニング |
| 治療内容 | オフィスホワイトニング3回 |
| 治療費 | 9,900円 |
| 治療期間 | 90分 |
| リスク・副作用 | 知覚過敏、ホワイトスポット |
| 治療方針 | 下顎前歯部のセラミックが天然歯よりも白いため、上顎前歯部と色味が合うようにホワイトニングしました。 歯間に隙間があり、着色がつきやすいためご自身で毎日歯間ブラシを使用することをおすすめしました。 |
| 担当者所見 | オフィスホワイトニング3回で効果があり、患者様も満足する白さになったため今後は白さを維持できるように、様子を見ながら定期的にオフィスホワイトニングをします。 |
CASE 7
Before
After
基本情報
| 年齢・性別 | 28歳 女性 |
|---|---|
| 主訴 | 前歯を綺麗にしたい |
| 治療内容 | ジルコニアボンド オフィスホワイトニング |
| 治療費 |
仮歯(テック) 5,500円 ジルコニアボンド 165,000円 オフィスホワイトニング 2,750円×6回 合計 170,500円 |
| 治療期間 | 1ヶ月 |
| リスク・副作用 |
噛む力が強い方の場合、クラウンが欠けてしまうことがあるので、就寝時にマウスピースを装着していただく必要があります。 オフィスホワイトニングでは、ホワイトスポットや知覚過敏が起こる可能性があります。 |
| 治療方針 |
仮歯を装着し、ホワイトニングで白くなった色味に合わせてジルコニアボンドを作成し、試適、確認をしてから装着しました。 治療後はホワイトニングとジルコニアボンドクラウンにより審美性を獲得できましたが、ホワイトニング後の後戻りが起こる可能性があるため、定期的にホームホワイトニングを行っていただきます。 |
CASE 8
Before
After
基本情報
| 年齢・性別 | 34歳 男性 |
|---|---|
| 主訴 | ホワイトニングしたい |
| 治療内容 | オフィスホワイトニング 1回 |
| 治療費 | 3,300円 |
| 治療期間 | 30分 |
| リスク・副作用 | 知覚過敏、ホワイトスポット |
| 担当者所見 | 白くなりやすかったため、オフィスホワイトニング一回でもホワイトニングの効果がありました。 |
CASE 9
Before
After
基本情報
| 年齢・性別 | 34歳 男性 |
|---|---|
| 主訴 | ホワイトニングしたい |
| 治療内容 | オフィスホワイトニング 3回 |
| 治療費 | 3,300円×3 合計 9,900円 |
| 治療期間 | 90分 |
| リスク・副作用 | 知覚過敏、ホワイトスポット |
| 治療方針 | オフィスホワイトニングで全体の色を明るくしてから、ホームホワイトニングで定着させます。 |
| 担当者所見 | 反応が良く、オフィスホワイトニング3回で充分の白さになりました。 |
CASE 10
Before
After
基本情報
| 年齢・性別 | 49歳 男性 |
|---|---|
| 主訴 | 全体的に右下5のインプラントと近い色味に合わせたい |
| 治療内容 | オフィスホワイトニング 3回×2 |
| 治療費 | オフィスホワイトニング 3,300円×6回 合計 19,800円 |
| 治療期間 | 2日 |
| リスク・副作用 | 知覚過敏、ホワイトスポットの出現 |
| 治療方針 | オフィスホワイトニングで満足する色味になるまで通っていただき、後戻りの様子を見ながら定期的にオフィスホワイトニングを行なっていきます。 |
| 担当者所見 | 右下5のインプラントは全体的な色味に比べてかなり白く、同じ色味にするにはオフィスホワイトニングとホームホワイトニングの併用が必要になります。ホームホワイトニングを継続するのは苦手とのことで、歯磨剤のスーパースマイルの使用をおすすめしました。 |
CASE 11
Before
After
基本情報
| 年齢・性別 | 28歳 女性 |
|---|---|
| 主訴 | ホワイトニングしたい |
| 治療内容 | オフィスホワイトニング2回 |
| 治療費 | 3,300円×2回 |
| 治療期間 | 60分 |
| リスク・副作用 | 知覚過敏、ホワイトスポットの出現 |
| 担当者所見 | オフィスホワイトニング2回でもホワイトニングの効果はありました。 更に白くしたい場合は1日3回を数回通っていただくことをおすすめしました。 |
CASE 12
Before
After
基本情報
| 年齢・性別 | 26歳 女性 |
|---|---|
| 主訴 | ホワイトニングしたい |
| 治療内容 | オフィスホワイトニング3回 |
| 治療費 | 3,300円×3回(2022年7月現在) |
| 治療期間 | 90分 |
| リスク・副作用 | 知覚過敏、ホワイトスポットの出現 |
CASE 13
Before
After
基本情報
| 年齢・性別 | 23歳 女性 |
|---|---|
| 主訴 | ホワイトニングしたい |
| 治療内容 | オフィスホワイトニング3回 |
| 治療費 | 3,300円×3回(2022年6月現在) |
| 治療期間 | 90分 |
| リスク・副作用 | 知覚過敏、ホワイトスポットの出現 |
| 治療方針 | オフィスホワイトニングで全体の色を明るくしてから、ホームホワイトニングで定着させます。 |
| 担当者所見 | オフィスホワイトニング3回でかなり白くなりました。 |
CASE 14
Before
After
基本情報
| 年齢・性別 | 34歳 女性 |
|---|---|
| 主訴 | 歯を白くしたい |
| 治療内容 | オフィスホワイトニング3回 |
| 治療費 | 3,300円×3回(2022年8月現在) |
| 治療期間 | 90分 |
| リスク・副作用 | 知覚過敏、ホワイトスポットの出現 |
| 治療方針 |
一年程前にオフィスホワイトニングを行いました。 最近色戻りが気になってきたとのことで再度オフィスホワイトニングを行いました。 |
| 特記事項 | 歯の性質によっては、オフィスホワイトニングを行うことでホワイトスポットが出現します。歯に縞模様が浮き上がったように感じることがありますが、徐々に馴染んできます。ホワイトスポットを目立ちにくくする歯磨き粉もありますので対策することが可能です。 |
CASE 15
Before
After
基本情報
| 年齢・性別 | 24歳 女性 |
|---|---|
| 主訴 | 歯を白くしたい |
| 治療内容 | オフィスホワイトニング3回×2 |
| 治療費 | オフィスホワイトニング3,300円×6回 合計19,800円(2022年7月現在) |
| 治療期間 | 90分×2日 |
| リスク・副作用 | 知覚過敏、ホワイトスポットの出現 |
| 治療方針 |
まずはスケーリングをして歯石をとり、着色がついていたため自費でPMTCを行いました。オフィスホワイトニングの反応が良く、1日3回を2日行い全体的に明るくなりました。 今後はホームホワイトニングで更に白くしながら色味を定着させます。また歯石が付きやすいため1、2カ月の間隔でクリーニングをしていきます。 |
CASE 16
Before
After
基本情報
| 年齢・性別 | 53歳 女性 |
|---|---|
| 主訴 | 全体的に少し白くしたい |
| 治療内容 | オフィスホワイトニング2回 |
| 治療費 | 3,300円×2回(2022年7月現在) |
| 治療期間 | 60分 |
| リスク・副作用 | 知覚過敏、ホワイトスポットの出現 |
| 治療方針 |
初めに虫歯治療と併せてシルバーの詰めものや被せものを白いものにやり替えました。歯石が多かったためスケーリングを行い、口腔内がどんどん綺麗になっていく感覚を実感していただいたところ、ホワイトニングで歯を少し白くしたいとのことでした。 着色が多かったので、着色と歯石を再度しっかりと落としてからホワイトニングを行いました。白い歯を維持するために、今後はご自身でのセルフケアを中心に歯間ブラシやフロスを使用していただき、着色がつきにくい歯磨き粉をおすすめしました。 また、着色がつきやすいため定期的にクリーニングをして様子を見ていきます。 |
CASE 17
Before
After
基本情報
| 年齢・性別 | 30歳 男性 |
|---|---|
| 主訴 | 歯を白くしたい |
| 治療内容 | オフィスホワイトニング3回 |
| 治療費 | 3,300円×3回(2022年7月現在) |
| 治療期間 | 90分 |
| リスク・副作用 | 知覚過敏、ホワイトスポットの出現 |
| 治療方針 |
喫煙本数が多くてコーヒーをよく飲むため、着色が付きやすい状態でした。 まずは自費で全顎PMTCを行い着色を落としました。更に全体的に黄ばみをなくして白くしたいとのことで、ホワイトニングを行いました。オフィスホワイトニング3回で満足してもらえる白さになりました。 今後は3カ月毎の定期検診に加えて、着色がついてきたタイミングでPMTCを行います。また、セルフケアでは着色予防の効果がある歯磨き粉を使用してもらいます。 白さを定着させるためにはホームホワイトニングをおすすめしました。 |
| 特記事項 | ホワイトニング後の左上1番目の歯の表面にホワイトスポットと呼ばれる白い斑点がありますが、これはホワイトニングをすることによって一時的に目立ちやすくなります。 数日経過すると色がなじんできて、ほとんど気にならなくなります。 |
CASE 18
Before
After
基本情報
| 年齢・性別 | 32歳 男性 |
|---|---|
| 主訴 | 歯を白くしたい |
| 治療内容 | オフィスホワイトニング3回 |
| 治療費 | 3,300円×3回(2022年8月現在) |
| 治療期間 | 90分 |
| リスク・副作用 | 知覚過敏、ホワイトスポットの出現 |
| 治療方針 |
ホワイトニング希望でご来院されました。全体的に黄色みがかっているのを白くしたいとのことでした。今回はオフィスホワイトニングを3回行いました。ホワイトスポットの出現もなく、自然な明るい白さになりました。 今後はホームホワイトニングで色味を定着させていきます。 |
CASE 19
Before
After
基本情報
| 年齢・性別 | 24歳 男性 |
|---|---|
| 主訴 | 歯を白くしたい |
| 治療内容 | オフィスホワイトニング3回 |
| 治療費 | 3,300円×3回(2022年8月現在) |
| 治療期間 | 90分 |
| リスク・副作用 | 知覚過敏、ホワイトスポットの出現 |
| 治療方針 |
ホワイトニングしたいとのことでご来院されました。 反応が良く、オフィスホワイトニング3回でかなり白くなりました。ホワイトニングすることによってホワイトスポットが一時的に目立っています。 今後はホームホワイトニングとホワイトスポットが目立ちにくくなる歯磨き粉を使用していただきます。 |
CASE 20
Before
After
基本情報
| 年齢・性別 | 32歳 男性 |
|---|---|
| 主訴・治療部位 | 主訴:着色除去とホワイトニング 治療部位:全顎 |
| 治療内容 | スケーリング、PMTC、オフィスホワイトニング3回 |
| 治療費 | 合計 19,170円 (内訳) スケーリング 3,770円 PMTC 5,500円 オフィスホワイトニング 3,300円×3回 9,900円 (2023年4月現在) |
| 治療期間 | 1日 |
| リスク・副作用 | ・知覚過敏の症状が出る可能性がある ・ホワイトニング後は着色の強い食べ物飲み物は控える必要がある ・均等に歯面が白くならない場合がある ・再度着色してくる可能性がある |
| 治療方針 | 1.スケーリング 2.PMTC 3.オフィスホワイトニング |
| 特記事項 | 10年ほど前から歯の根元が削れていた (ブラッシング圧と歯ぎしりによるもの) 知覚過敏の症状は今はないがホワイトニング後審美的に気になってきたため、今後樹脂で埋めていく |
| 担当者所見 | プラークコントロールも問題なく歯石もほとんどついていなかったため1日でホワイトニングまで行えた |
CASE 21
Before
After
基本情報
| 年齢・性別 | 28歳 女性 |
|---|---|
| 主訴・治療部位 | 主訴:結婚式前に歯を白くしたい 部位:全顎 |
| 治療内容 | 1.歯石除去、PMTC 2.オフィスホワイトニング |
| 治療費 | 合計:17,340円 初診(レントゲン撮影・検査・歯石除去) 4,140円 ①オフィスホワイトニング2回 3,300円×2回 6,600円 ②オフィスホワイトニング2回 3,300円×2回 6,600円 (2024年7月現在) |
| 治療期間 | 1ヶ月 |
| リスク・副作用 | ・知覚過敏の症状が出る可能性がある ・均等に白くならない場合がある ・徐々に色が馴染み、白さが落ち着いてくる |
| 治療方針 | 1.クリーニング 2.オフィスホワイトニング |
| 特記事項 | ・今回は虫歯や歯周病の治療が必要ないケースだった為、すぐにホワイトニングを行うことができた。 ・1回目のホワイトニングから2回目のホワイトニングは3ヶ月空けて行い、2回目は結婚式の2日前に行った。 |
| 担当者所見 | 全体的に均等に綺麗にトーンアップすることができた。 知覚過敏の症状も今回はなかった。 |