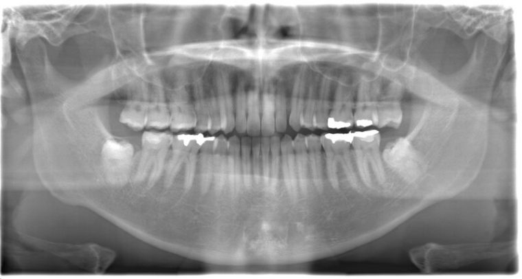
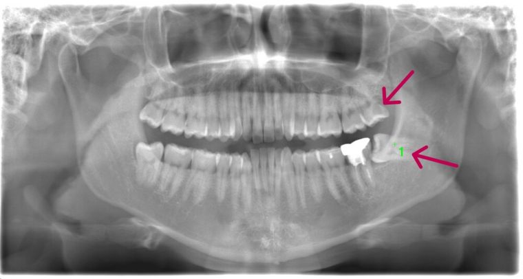
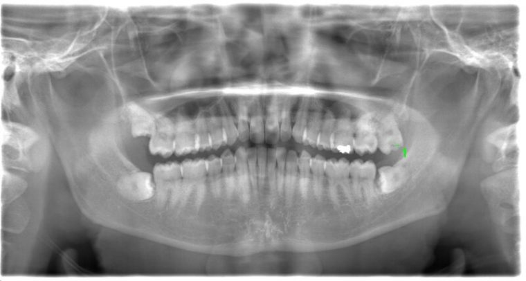
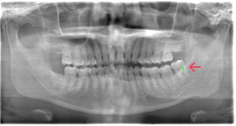
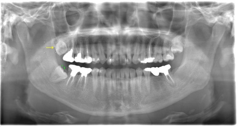
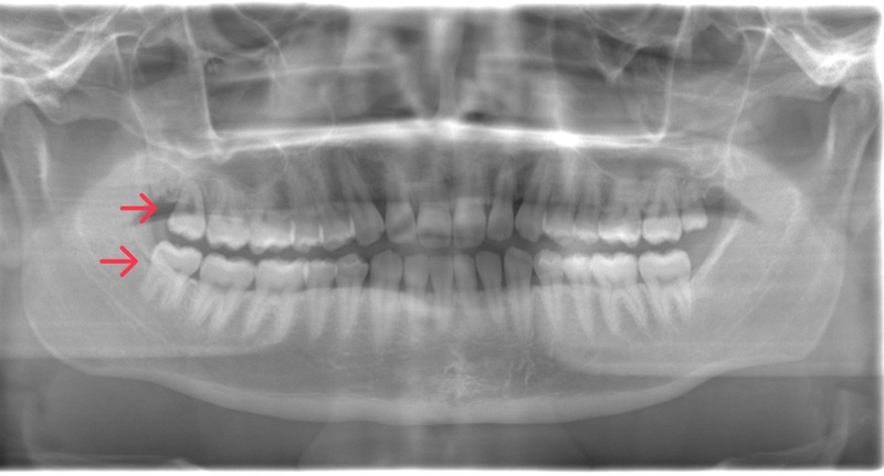
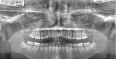
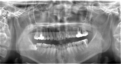
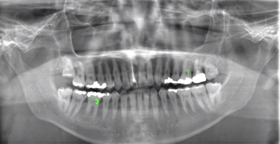
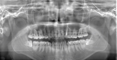
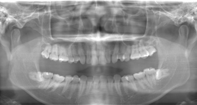
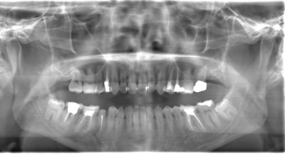
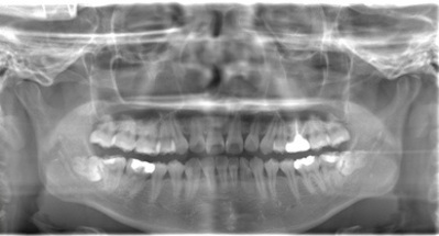
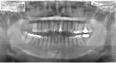
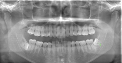
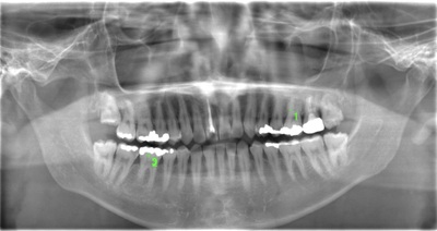
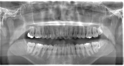
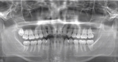
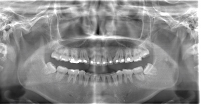
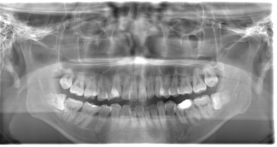
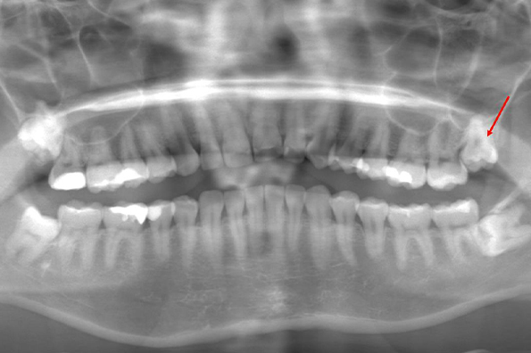
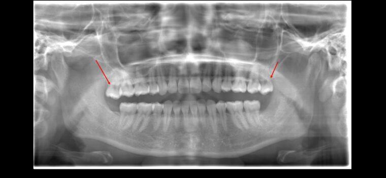
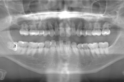
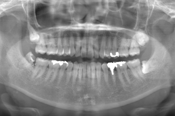
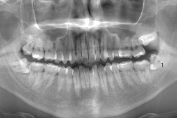
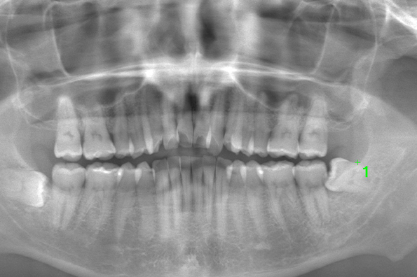
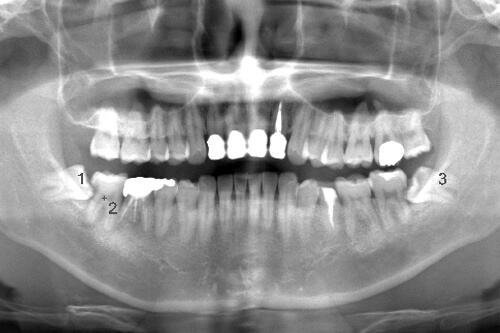
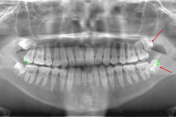
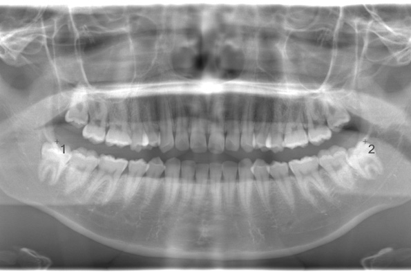
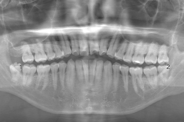
親知らず症例
現在の治療費と異なるとこがございます。最新の治療費は料金表をご確認ください。
親知らずの抜歯に関する注意事項
●抜歯後2~3日をピークに腫れ、痛み、口を開けにくい、のどが痛い、発熱などの症状がしばらく続くことがあります。
●下顎の親知らずを抜いた場合は、まれに唇や舌の知覚異常を起こす可能性があります。
●上顎の親知らず抜歯では、血液・水・空気などが鼻に漏れたり上顎洞に炎症が起きる場合もあります。
●細菌感染しないよう清潔にし指や舌で触らないようにしてください。
●処方された抗生物質は痛みが出ていなくても全て飲み切ってください。
●強くゆすいだり抜いた所を舌や指で刺激しないようご注意ください。
●抜歯後の症状として多いのはドライソケットです。抜歯した後の血液の塊が流れてしまい、骨が露出することで激しい痛みが出ます。
●抜歯後は運動、飲酒、湯船に浸かるなど血流が良くなることは控えてください。
気になることがございましたら、お気軽にご相談ください。
CASE 1
基本情報
| 年齢・性別 | 30代・女性 |
|---|---|
| 主訴 | 左右に分けて親知らずを抜きたい、できれば痛くなく抜きたい |
| 親知らずのはえ方 | 完全に出ていてまっすぐはえている |
| 抜歯期間 | 15分 |
| 抜歯費用 | 約2,000円(保険内) |
| 抜歯内容 |
何度か虫歯になり痛みはないが早めに抜きたい。 完全に頭が出ているため歯ぐきを切ったり骨を削らずに抜歯しました。 根の形も単純なため抜歯自体は5分もかからず上下ともに終わりました。 術後痛みや腫れも出ていません。 抜歯後は感染をしやすいため必ず抗生物質を飲み切ってください。 |
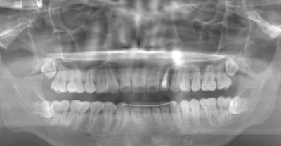
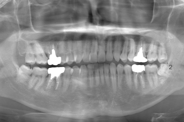
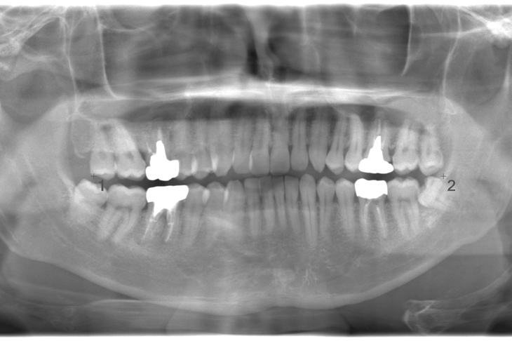
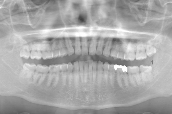
CASE 2
基本情報
| 年齢・性別 | 30代・男性 |
|---|---|
| 主訴 | 左上下親知らず抜きたい |
| 抜歯期間 | 30分 |
| 抜歯費用 | 約2,500円(保険内) 別途CT撮影で3,000円 |
| 抜歯内容 | 左上下の親知らず抜歯 |
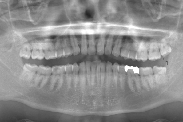
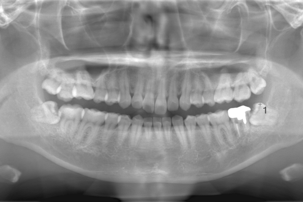
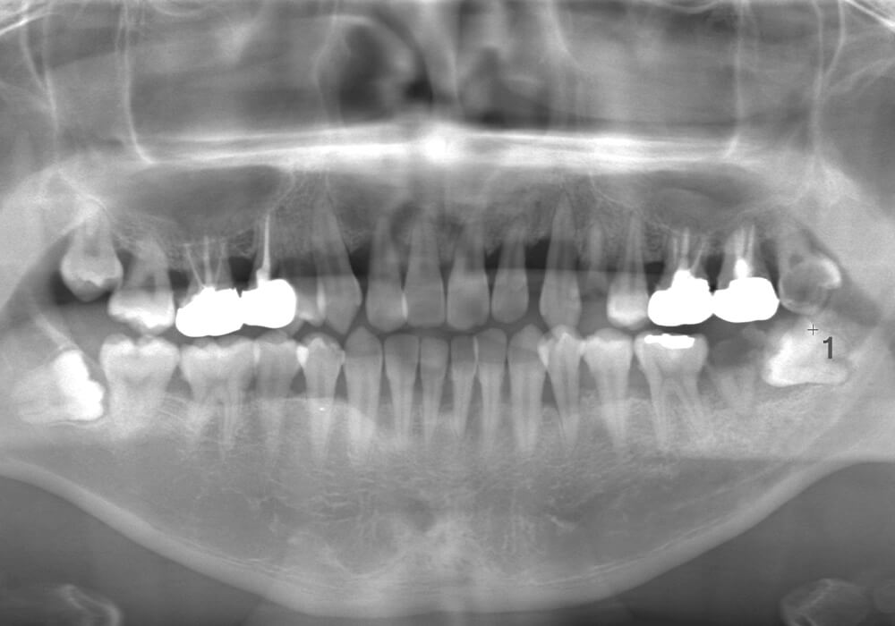
CASE 3
基本情報
| 年齢・性別 | 20代・男性 |
|---|---|
| 主訴 | 左下親知らず抜きたい |
| 親知らずのはえ方 | 半埋伏 |
| 抜歯期間 | 30分 |
| 抜歯費用 | 約2,500円(保険内) 別途CT撮影で3,000円 |
| 抜歯内容 | 左下の半埋伏親知らず抜歯 |
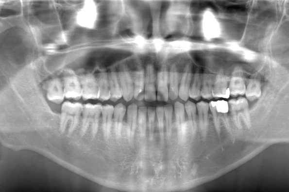
CASE 4
基本情報
| 年齢・性別 | 30代・男性 |
|---|---|
| 主訴 | 左上親知らず抜きたい |
| 抜歯期間 | 15分 |
| 抜歯費用 | 約2,000円(保険内) 別途CT撮影で3,000円 |
| 抜歯内容 | 左上の親知らず抜歯 |
CASE 5
基本情報
| 年齢・性別 | 40代・女性 |
|---|---|
| 主訴 | 右上親知らず抜きたい |
| 抜歯期間 | 30分 |
| 抜歯費用 | 約2,500円(保険内) 別途CT撮影で3,000円 |
| 抜歯内容 | 右上の親知らず抜歯 |
CASE 6
基本情報
| 年齢・性別 | 30代・男性 |
|---|---|
| 主訴 | 右上下 親知らず抜きたい |
| 抜歯期間 | 30分 |
| 抜歯費用 | 約2,500円(保険内) 別途CT撮影で3,000円 (2022年7月現在) |
| 抜歯内容 | 右上下の親知らず抜歯 |
CASE 7
基本情報
| 年齢・性別 | 30代・男性 |
|---|---|
| 主訴 | 左上下 親知らず抜きたい |
| 抜歯期間 | 30分 |
| 抜歯費用 | 約2,500円(保険内) 別途CT撮影で3,000円 (2022年7月現在) |
| 抜歯内容 | 左上下の親知らず抜歯 |
CASE 8
基本情報
| 年齢・性別 | 39歳・男性 |
|---|---|
| 主訴 | 左上下 親知らず抜きたい |
| 抜歯期間 | 30分 |
| 抜歯費用 | 約2,500円(保険内) 別途CT撮影で3,000円 (2022年7月現在) |
| 抜歯内容 | 左上下の親知らず抜歯 |
CASE 9
基本情報
| 年齢・性別 | 27歳・女性 |
|---|---|
| 主訴 | 左上親知らず抜きたい |
| 抜歯期間 | 10分 |
| 抜歯費用 | 約2,500円(保険内) 別途CT撮影で3,000円 (2022年7月現在) |
| 抜歯内容 | 左上の親知らず抜歯 |
CASE 10
基本情報
| 年齢・性別 | 39歳・男性 |
|---|---|
| 主訴 | 左上下親知らず抜きたい |
| 抜歯期間 | 30分 |
| 抜歯費用 | 約2,500円(保険内) 別途CT撮影で3,000円 (2022年7月現在) |
| 抜歯内容 | 左上下の親知らず抜歯 |
| 治療方針 |
親知らずは抜いたほうが良い認識はあったものの、痛みや腫れが出ることを知って、勇気が出ないままでいたとのことでした。 そのまま放置していたら虫歯になってしまい、今回ご来院されました。しっかりと麻酔をして緊張をほぐしながら抜歯を始めました。完全萌出のため、時間を要することなくすぐに抜歯することができました。 |
CASE 11
基本情報
| 年齢・性別 | 33歳・男性 |
|---|---|
| 主訴 | 左上下親知らず抜きたい |
| 抜歯期間 | 30分 |
| 抜歯費用 | 約2,500円(保険内) 別途CT撮影で3,000円 (2022年7月現在) |
| 抜歯内容 | 左上下の親知らず抜歯 |
| 治療方針 |
初めに右下の奥歯が痛いとのことでご来院されました。 右下の親知らずと7番目の歯がカリエスになっていたため、まずは右下の親知らず抜歯と7番目の感染根管治療を行いました。左上下の親知らずもカリエスになっているため、今回抜歯を行いました。 |
CASE 12
基本情報
| 年齢・性別 | 29歳・女性 |
|---|---|
| 主訴 | 右下の親知らず抜きたい |
| 抜歯期間 | 30分 |
| 抜歯費用 | 約2,500円(保険内) 別途CT撮影で3,000円 (2022年8月現在) |
| 抜歯内容 | 右下親知らずの半埋伏抜歯 |
| 治療方針 |
右下の親知らずが斜めにはえていて、頭が半分出ている状態です。このままでは食べものが挟まりやすく、歯ブラシで汚れを落とすことが難しいです。 虫歯や歯周病になりやすくなってしまうため抜歯を行いました。 親知らずが下顎神経と近いため、CTを撮影して確認してから抜歯を行いました。 |
| 特記事項 |
下顎神経が親知らずと近い場合、親知らず抜歯を2回に分ける場合があります。 まず1回目に歯冠だけを抜きます。 手前の歯でストッパーになっている部分を落とすことで、歯根が移動して神経から離れます。 1年程経過をみて、2回目の抜歯を行います。 |
CASE 13
基本情報
| 年齢・性別 | 32歳・男性 |
|---|---|
| 主訴 | 左上下の奥歯が痛い |
| 抜歯期間 | 60分 |
| 抜歯費用 | 約6,000円 別途CT撮影で3,000円 (2022年8月現在) |
| 抜歯内容 | 左上下の親知らず、左下7抜歯 |
| 治療方針 |
初診時は左上下の痛みでご来院されました。全体的に歯石を除去した後、主訴の解決のために虫歯が進行している左上下の親知らずと左下7の抜歯を行いました。 歯石除去と抜歯を行った後は、痛みが引いてきて口腔内の環境が変わったことに喜んでくれました。 今後は歯ぐきの状態を良くしながら、虫歯や欠損部の治療を行っていきます。 |
CASE 14
基本情報
| 年齢・性別 | 60歳・女性 |
|---|---|
| 主訴 | 右下の奥歯が痛い |
| 抜歯期間 | 30分 |
| 抜歯費用 | 約2,500円 別途CT撮影で3,000円 (2022年7月現在) |
| 抜歯内容 | 右下親知らずの半埋伏抜歯 |
| 治療方針 |
右下の奥歯に強い痛みがあり、昨日から痛み止めを服用して過ごしていたそうです。食事中や夜も眠れないほどの痛みがあるとのことでご来院されました。 右下の親知らずが痛みの原因で、虫歯になっていたため抜歯を行いました。アンキローシスを起こしていて骨が癒着していたため、様子を確かめながら麻酔を足して抜歯を行いました。 歯科治療に慣れてなくて初めての抜歯で緊張されていましたが、スムーズに治療を進めることができました。 |
CASE 15
基本情報
| 年齢・性別 | 27歳・男性 |
|---|---|
| 主訴 | 左上の歯ぐきが痛い |
| 抜歯期間 | 30分 |
| 抜歯費用 | 約2,500円 別途CT撮影で3,000円 (2022年8月現在) |
| 抜歯内容 | 左上親知らずの半埋伏抜歯 |
| 治療方針 |
左上親知らずに数日前から痛みがあるとの事でした。親知らずと歯肉の間に細菌がたまり、歯肉が炎症していました。 レントゲンでは完全萌出してるように見えますが、実際は半分歯ぐきに覆われていました。今回は歯ぐきを切開して抜歯しました。 抜歯後はお痛みはなく会話もできて、いつも通りの生活を送れたとのことです。 |
CASE 16
基本情報
| 年齢・性別 | 21歳・女性 |
|---|---|
| 主訴 | 左上下矯正治療前の親知らず抜歯 |
| 抜歯期間 | 60分 |
| 抜歯費用 | 自費 22,000円×2(2022年7月現在) |
| 抜歯内容 | 左上下の完全埋伏親知らず抜歯 |
| 治療方針 |
初診時の主訴は下顎左右の歯肉に痛みがあるとのことでした。原因は上顎の7番目の歯が下顎の歯肉に噛みこんでることでした。そのため、矯正を始める前に親知らずの抜歯を行いました。 パノラマと呼ばれる二次元的なレントゲンでは、上下とも縦にはえているように見えて簡単そうですが、三次元的なCTを見ると下顎の親知らずが舌側に傾いていて、上顎の親知らずは歯ぐきに完全に埋まっていました。下顎の親知らずが舌側に倒れているケースは、真横にはえているケースよりも難しい場合があります。 また、上顎の親知らずが歯ぐきに埋まっていて、口が小さい方の場合は抜くのが難しくなります。今回は術前にCTを撮り、事前にしっかりと診断ができたためスムーズに抜歯を行うことができました。 |
CASE 17
基本情報
| 年齢・性別 | 18歳・男性 |
|---|---|
| 主訴 | 矯正を開始する前に左下と左上の親知らずを抜きたい |
| 抜歯期間 | 約1時間 |
| 抜歯費用 | 1本22,000円×2本 合計44,000円 (2022年10月現在) |
| 抜歯内容 | 完全埋伏抜歯 |
CASE 18
基本情報
| 年齢・性別 | 33歳・女性 |
|---|---|
| 主訴 | 左上がしみる |
| 抜歯期間 | 約10分 |
| 抜歯費用 | 保険診療 約3,000円 (2022年10月現在) |
| 抜歯内容 | 左上7番の虫歯治療を行う際に、左上8番の親知らずは歯ブラシが届きにくく虫歯になりやすいリスクを説明し、抜歯を提案しました。麻酔を効かせ抜歯を行いました。 |
| 特記事項 | 抜歯後は運動、飲酒、湯船に浸かるなど血流が良くなることはお控えください。 細菌感染の恐れがあるため抜いた箇所を指や舌で触らないようにして下さい。 |
| 担当者所見 | 翌日の消毒の際は腫れや痛みはほとんどないとの事でした。 |
CASE 19
基本情報
| 年齢・性別 | 36歳・男性 |
|---|---|
| 主訴 | 左下の親知らず抜きたい |
| 抜歯期間 | 30分 |
| 抜歯費用 | 合計約6,000円(保険診療3割負担) 約2,500円 別途CT撮影で3.500円 (2022年10月現在) |
| 抜歯内容 | 左下親知らずの半埋伏抜歯 |
| 治療方針 | 左下の親知らずが斜めにはえていて、頭が半分出ている状態です。 左下7番の歯が虫歯になっていたため、まずは左下の親知らず抜歯を行いました。 親知らずが下顎神経と近いため、CTを撮影して確認してから抜歯を行いました。 |
CASE 20
基本情報
| 年齢・性別 | 22歳・女性 |
|---|---|
| 主訴 | 右上の奥歯が痛い |
| 抜歯期間 | 15分 |
| 抜歯費用 | 約2,500円(保険診療3割負担) (2022年10月現在) |
| 抜歯内容 | 右上親知らずの抜歯 |
| 治療方針 | 右上の歯ぐきが痛いとのことでご来院されました。 主訴の解決のため右上親知らずの抜歯を行いました。 垂直にはえていたため、時間を要することなくすぐに抜歯することができました。 |
CASE 21
基本情報
| 年齢・性別 | 28歳・男性 |
|---|---|
| 主訴 | 左下の親知らず抜歯 |
| 抜歯期間 | 約15分 |
| 抜歯費用 | 約3,000円 (2022年11月現在) |
| 抜歯内容 | 親知らず周辺は歯ブラシが届きにくく磨きにくい為汚れの付着がみられましたので抜歯を提案致しました。麻酔を効かせ抜歯を行いました。 |
| 治療方針 | 次回は反対側の右下の親知らずを抜歯予定です。 |
| 担当者所見 | 翌日の消毒の際は腫れや痛みはほとんどないとおっしゃっていました。 |
CASE 22
基本情報
| 年齢・性別 | 22歳・女性 |
|---|---|
| 主訴 | 上左右親知らず抜歯 |
| 親知らずのはえ方 | 真っ直ぐはえている |
| 抜歯期間 | 約30分 |
| 抜歯費用 | 約2,500円 (2022年9月現在) |
| 抜歯内容 | 親知らずにより頬の内側を噛みやすいとのことで抜歯をご提案しました。麻酔を効かせ左右同時に抜歯を行いました。 |
| 担当者所見 | 翌日の消毒では強い痛みや腫れはないとおっしゃっていました。 |
CASE 23
基本情報
| 年齢・性別 | 38歳・男性 |
|---|---|
| 主訴 | 左上親知らずを抜きたい |
| 親知らずのはえ方 | 真っ直ぐはえている |
| 抜歯期間 | 15分 |
| 抜歯費用 | 約2,500円(保険内) (2022年12月現在) |
| 抜歯内容 | 左上の親知らず抜歯 |
| 治療方針 | 親知らずにより頬の内側を噛みやすいということで抜歯しました。 完全に頭がでているため抜歯自体は5分もかからず終わりました。 術後は痛みや腫れも出ていないとのことです。 |
| 特記事項 | 抜歯後は感染をしやすいため、抗生物質を飲み切ってください。 |
CASE 24


基本情報
| 年齢・性別 | 31歳・男性 |
|---|---|
| 主訴 | 左上親知らずを抜きたい |
| 親知らずのはえ方 | 真っ直ぐはえている |
| 抜歯期間 | 30分 |
| 抜歯費用 | 約2,500円(保険内) (2022年12月現在) |
| 抜歯内容 | 左上の親知らず抜歯 |
| 治療方針 | 初めに左上に違和感があり発音も親知らずが原因で悪くなったとのことでご来院されました。 主訴解決のため左上親知らずの抜歯を行いました。 |
| 特記事項 | 今回親知らずはまっすぐはえていたが、根っこがかなり太かったため本来よりも抜歯に時間がかかりました。 |
| 担当者所見 | 術後は腫れや痛みも出ず、違和感がなくなり発音もしやすくなり快適に過ごせていると喜ばれていました。 |
CASE 25


基本情報
| 年齢・性別 | 25歳・男性 |
|---|---|
| 主訴 | 左下奥歯に痛み |
| 親知らずのはえ方 | 斜めにはえている |
| 抜歯期間 | 約60分 |
| 抜歯費用 | 合計:約8,500円 ■内訳 ・約5,000円(保険診療3割負担) ・別途CT撮影代3,500円 (2023年4月現在) |
| 抜歯内容 | 左上下親知らずの抜歯 |
| 治療方針 | 今後は左下7番の治療を行います。 |
| 特記事項 | 抜歯後は運動、飲酒、湯船に浸かるなど血流が良くなることは控えてください。 細菌感染しないよう清潔にし指や舌で触らないようにしてください。 |
| 担当者所見 | 左下7番の治療を今後行いますが左下親知らずが痛みの原因の為、治療前に抜歯を行いました。左上の親知らずも虫歯の為、同時に抜歯を行いました。 |
CASE 25


基本情報
| 年齢・性別 | 28歳・男性 |
|---|---|
| 主訴 | 右上親知らずが痛い 右上下親知らず |
| 親知らずのはえ方 | 真っ直ぐ生えている |
| 抜歯期間 | 30分 |
| 抜歯費用 | 約2,500円(保険診療3割負担) (2023年4月現在) |
| 抜歯内容 | 右上下親知らず抜歯 |
| 治療方針 | 右上の歯が痛いとのことでご来院されました。 右上下の親知らずが虫歯になっていたため、抜歯を行いました。 |
| 特記事項 | 抜いた所を舌や指でさわると出血や細菌感染する恐れがありますので、刺激しないようご注意ください。 出血が続く場合は、清潔なティッシュを30分間しっかり噛んで様子をみてください。 |
| 担当者所見 | 垂直に生えていたため、時間を要することなく抜歯することができました。 |
CASE 26


基本情報
| 年齢・性別 | 26歳・男性 |
|---|---|
| 主訴 | 主訴:左下の親知らずが黒くなっている 部位:左上下親知らず |
| 親知らずのはえ方 | 真っ直ぐ生えている |
| 抜歯期間 | 30分 |
| 抜歯費用 | 約2,500円(保険診療3割負担) (2023年4月現在) |
| 抜歯内容 | 左上下親知らず抜歯 |
| 治療方針 | 左下親知らずが黒くなっているとのことでご来院されました。 左上下の親知らずが虫歯になっていたため、抜歯を行いました。 |
| 特記事項 | 抜いた所を舌や指でさわると出血や細菌感染する恐れがありますので、刺激しないようご注意ください。 出血が続く場合は、清潔なティッシュを30分間しっかり噛んで様子をみてください。 |
| 担当者所見 | 垂直に生えていたため、時間を要することなく抜けました。 |
CASE 27


基本情報
| 年齢・性別 | 25歳・男性 |
|---|---|
| 主訴 | 主訴:左上の親知らずが痛い 治療部位:左上親知らず |
| 親知らずの生え方 | 真っ直ぐ生えている |
| 抜歯期間 | 30分 |
| 抜歯費用 | 約2,500円(保険診療3割負担) (2023年5月現在) |
| 抜歯内容 | 左上親知らずの抜歯 |
| 治療方針 | 左上の親知らずが虫歯になっており痛みが出ている状態でした。 主訴解決のため左上親知らずの抜歯を行います。 |
| 特記事項 | 痛みや腫れがある場合は氷などで冷やし過ぎず、濡れタオルで優しく押さえてください。 当日の激しい運動や飲酒は控えてください。 喫煙は5日~1週間控えるのが理想です。 |
| 担当者所見 | 抜歯後は出血も少なく、次の日には痛みも少なかったとのことです。 |
CASE 28


基本情報
| 年齢・性別 | 50歳・男性 |
|---|---|
| 主訴 | 左下親知らず 左下親知らずを抜きたい |
| 親知らずの生え方 | 真っ直ぐ生えている |
| 抜歯期間 | 15分 |
| 抜歯費用 | 約2,500円(保険診療3割負担) (2023年5月現在) |
| 抜歯内容 | 左下の親知らず抜歯 |
| 治療方針 | 左下の親知らずの虫歯が進行しており、症状が出る前に抜歯を行います。 |
| 特記事項 | 下顎には下顎管という神経と血管が通っており、この神経を圧迫・傷つけると麻痺症状がでる可能性があります。 CTにより親知らずと下顎管の距離を三次元的に見ることが可能なため、スムーズに抜歯を行うことができます。 |
CASE 29


基本情報
| 年齢・性別 | 26歳・男性 |
|---|---|
| 主訴 | 右上の親知らず抜歯 |
| 親知らずの生え方 | 斜めに生えている |
| 抜歯期間 | 約45分 |
| 抜歯費用 | 約2,500円(保険診療3割負担) (2023年7月現在) |
| 抜歯内容 | 右上の親知らずが斜めに生え、隣の7番との間が虫歯に。右上7番の被せ物を除去後、親知らずの抜歯を行いました。 |
| 治療方針 | 抜歯の際に除去した右上7番の被せ物の部分の治療を進めていきます。 |
| 特記事項 | 翌日の消毒時は痛みもほとんどなく治癒良好でした。 |
CASE 30


基本情報
| 年齢・性別 | 24歳・男性 |
|---|---|
| 主訴 | 右上の親知らず 左上の親知らず かんだ時に歯ぐきが痛い |
| 親知らずの生え方 | 真っ直ぐ生えている |
| 抜歯期間 | 30分 |
| 抜歯費用 | 約2,500円(保険診療3割負担) (2023年7月現在) |
| 抜歯内容 | 右上の親知らず、左上の親知らず抜歯 |
| 治療方針 | 上顎の親知らずにより下顎の歯ぐきをかんでしまい痛みが出ている状態でした。 主訴解決のため、上顎の親知らず抜歯を当日行いました。 虫歯の治療箇所はないので、今後はクリーニングを行います。 下顎の親知らずは完全埋伏のためリスクをお伝えし希望であればを抜歯を行います。 |
| 特記事項 | 左右どちらの親知らずも真っすぐ生えていたため、時間を要することなく抜けました。 痛みや腫れも少なく次の日から痛み止めは飲まれなかったとのことです。 |
CASE 31


基本情報
| 年齢・性別 | 26歳・男性 |
|---|---|
| 主訴 | 左上の親知らず抜歯 |
| 親知らずの生え方 | 真っ直ぐ生えている |
| 抜歯期間 | 約30分(麻酔時間込み) |
| 抜歯費用 | 約2,000円(保険診療3割負担) (2023年8月現在) |
| 抜歯内容 | 左上の親知らずが頬の内側をかんでしまい痛みがあるということで抜歯しました。 |
| 治療方針 | 次回は右上の親知らずを抜歯します。 |
| 担当者所見 | 抜歯後の消毒と傷口の確認の際は痛みや腫れもなく治癒良好です。 |
CASE 32



基本情報
| 年齢・性別 | 25歳・男性 |
|---|---|
| 主訴 | 右下親知らず |
| 親知らずの生え方 | 斜めに生えている |
| 抜歯期間 | 約45分(麻酔時間込み) |
| 抜歯費用 | 約4,000円(保険診療3割負担) 別途CT撮影代金3,500円 合計約7,500円 (2023年8月現在) |
| 抜歯内容 | 右下親知らず抜歯 |
| 治療方針 | 今後は残りの親知らず抜歯を進めます。 |
| 担当者所見 | 翌日の消毒時は多少の腫れがありましたが痛みはほとんどなく治癒良好です。 |
CASE 33


基本情報
| 年齢・性別 | 29歳・男性 |
|---|---|
| 主訴 | 左下親知らずが痛むので抜歯希望。 同時に左上も抜きたい。 |
| 親知らずの生え方 | 横向きに生えている |
| 抜歯期間 | 約45分 |
| 抜歯費用 | 合計約8,500円 約5,000円(保険診療3割負担) 別途CT撮影代金3,500円 (2023年9月現在) |
| 抜歯内容 | 左上下の親知らず抜歯 |
| 治療方針 | 左下:埋伏抜歯 左上:普通抜歯 |
| 特記事項 | 抜歯当日は飲酒や運動など血流が良くなることは控えてください。スケジュールを確認していただいてご予約をお取りください。 |
| 担当者所見 | 翌日の消毒の際は多少の腫れがありましたが傷口の状態は問題ありません。 |
CASE 34


基本情報
| 年齢・性別 | 24歳・男性 |
|---|---|
| 主訴 | 右上下の親知らず抜歯 |
| 親知らずの生え方 | 真っ直ぐ生えている |
| 抜歯期間 | 15分 |
| 抜歯費用 | 約2,500円(保険診療3割負担) (2023年9月現在) |
| 抜歯内容 | 親知らずは歯ブラシが届きにくいため、汚れが溜まりやすく虫歯のリスクが高いことを説明し、右上下同時に抜歯を行いました。 |
| 担当者所見 | 抜歯後、麻酔が切れた後少し痛みがあったが、翌日の消毒時には痛みと腫れはほとんどないとのことでした。 |
CASE 35


基本情報
| 年齢・性別 | 26歳・女性 |
|---|---|
| 主訴 | 右下の親知らず抜歯 |
| 親知らずの生え方 | 真っ直ぐ生えている |
| 抜歯期間 | 約15分 |
| 抜歯費用 | 約2,500円(保険診療3割負担) 別途CT撮影で3,500円 (2023年10月現在) |
| 抜歯内容 | 右下の親知らずが半分歯ぐきに埋まっており、汚れが溜まりやすい状態のため抜歯をご提案しました。 |
| 治療方針 | 次回は左下親知らずの抜歯を行います。 |
| 担当者所見 | 翌日の消毒時では痛み、腫れはないとのことでした。 |
CASE 36


基本情報
| 年齢・性別 | 30代・男性 |
|---|---|
| 主訴 | 右下8番が痛む |
| 抜歯時間 | 1日 |
| 抜歯費用 | 右下8抜歯(水平に埋まっている):約4,000円 薬処方代:約200円 合計:4,200円 (神経に近い場合CT代:約3,000円もかかります) (2023年8月現在) |
| 治療内容 | 右下8番の抜歯 |
| 治療方針 | 左右下8番が同じ生え方なので両方とも抜歯していきます。 |
| 担当者所見 | 親知らずが真横に生えているので手前の歯にぶつかって抜けない状態なので歯の頭と根っこの部分を分割して抜歯していきました。 手前の歯とぶつかっている部分は虫歯になりやすいところでもあるので早めの原因除去が大切になります。 |
CASE 37


基本情報
| 年齢・性別 | 20代・女性 |
|---|---|
| 主訴 | 右下8番に違和感がある |
| 抜歯時間 | 1日 |
| 抜歯費用 | 右下8抜歯(埋まっている):約4,000円 薬処方代:約200円 合計:4,200円 (神経に近い場合CT代:約3,000円もかかります) (2023年8月現在) |
| 治療内容 | 右下8番の抜歯 |
| 治療方針 | 右下8番に炎症があったため、抗菌薬で消炎後に抜歯しました。 |
| 担当者所見 | 右下8番は歯ぐきに埋まっていましたが、歯と歯ぐきの隙間から触れる様な状態でした。この様な場合は、口の中の細菌はそのスペースに入っていきますが、ご自身で磨くのは困難な状態です。 一度腫れたり違和感が出ると抜歯をしなければ繰り返し炎症が出てしまうので抜歯しました。術後の経過は良好です。 |
CASE 38


基本情報
| 年齢・性別 | 20代・男性 |
|---|---|
| 主訴 | 右下の親知らずを抜きたい |
| 抜歯時間 | 30分 |
| 抜歯費用 | 合計約8,500円 約5,000円(保険診療3割負担) 別途CT撮影代金3,500円 (2023年10月現在) |
| 治療内容 | 右下の親知らずが横向きに生えており、頭の部分が半分歯ぐきから出ている状態です。 汚れが溜まりやすく、手前の歯が虫歯になっているため抜歯を行います。 |
| 治療方針 | 親知らず抜歯後の傷口の治癒を待ち、手前の虫歯の治療を進めていきます。 |
| 担当者所見 | 術後は麻酔が切れてから少し痛みが出たが翌日の消毒と傷口の確認時では治癒良好でした。 |
CASE 39


基本情報
| 年齢・性別 | 30代・男性 |
|---|---|
| 主訴 | 歯科検診希望で来院。右下8番、右下7番の間が虫歯になっていました。 |
| 抜歯時間 | 1日 |
| 抜歯費用 | 合計:4,200円 右下8抜歯(横に生えている):約4,000円 薬処方代:約200円 (神経に近い場合CT代:約3,000円もかかります) (2023年8月現在) |
| 治療内容 | 右下8番は横に埋まっており抜歯しました。腫れが引き次第右下7番の虫歯の治療を行います。 |
| 治療方針 | 右下8番を抜歯し、腫れが治ってから右下7番の治療に入っていきます。 |
| 担当者所見 |
横に生えている右下8番と右下7番の間は汚れがたまりやすく磨きにくいため、虫歯になることが多いです。その上、虫歯のできやすい位置が骨に近いため、処置が遅くなると右下7番が抜歯になることもあります。 そのため痛みなどがなくても横に生えている親知らずは抜く必要性があります。 |
CASE 40


基本情報
| 年齢・性別 | 40代・男性 |
|---|---|
| 主訴 | 右下の親知らずが痛い |
| 抜歯時間 | 30分 |
| 抜歯費用 |
約2,500円(保険診療3割負担) (2023年12月現在) |
| 治療内容 | 右下の親知らずが炎症を起こし痛みが出ている状態でしたので、抗生物質を飲んでいただき、炎症を落ち着かせてから後日抜歯を行いました。 右上にも親知らずが生えていたため、同時に抜歯を行います。 右下の親知らずは、根っこの先が分かれており骨にしっかりとくっついていたため、歯を半分に削り抜歯を行いました。 |
| 治療方針 | 今後は、他の虫歯治療を進めていきます。 |
| 担当者所見 | 抜歯後の消毒時には治癒良好でした。 |
CASE 41


基本情報
| 年齢・性別 | 20代・男性 |
|---|---|
| 主訴 | 矯正のための親知らず抜歯をしてほしい |
| 抜歯時間 | 1日 |
| 抜歯費用 |
埋まっている抜歯22,000円 2本(矯正の抜歯のため保険外になります) 合計:44,000円 (2023年8月現在) |
| 治療内容 | 右上下8番抜歯 |
| 特記事項 | 矯正の前に親知らずの抜歯が必要になることがあります。 |
| 担当者所見 | 上下親知らず共に完全に出てきている状態ではなかったので、歯ぐきを切って、最小限必要な範囲で骨を削って抜歯。 |
CASE 42


基本情報
| 年齢・性別 | 20代・女性 |
|---|---|
| 主訴 | 左上の親知らずがしみる |
| 抜歯時間 | 15分 |
| 抜歯費用 |
約2,500円(保険診療3割負担) (2024年1月現在) |
| 治療内容 | 左上の親知らず抜歯 |
| 治療方針 | 初診の患者さまで左上の親知らずがしみるとのことでご来院されました。 左上の親知らずが大きく虫歯になっており、主訴の解決のため抜歯を行いました。 |
| 担当者所見 | 抜歯後は腫れ・痛みも少なく治癒良好でした。 |
CASE 43


基本情報
| 年齢・性別 | 20代・男性 |
|---|---|
| 主訴 |
主訴:右下が2日前から痛い 治療部位:右下の親知らず |
| 抜歯時間 | 30分 |
| 抜歯費用 |
約2,500円(保険診療3割負担) (2024年1月現在) |
| 治療内容 | 右下の親知らずが大きな虫歯になっており痛みが出ている状態です。 主訴解決のため右下の親知らずの抜歯を行いました。 |
| 治療方針 | 次回は右上の親知らず抜歯を行います。 |
| 特記事項 | 抜歯当日は長時間の入浴、飲酒や過激な運動は避けてください。血の巡りが良くなることによって、出血が止まらないことがあります。 出血が止まらない場合は清潔なティッシュを丸めてかんで止血を続けてください。 |
| 担当者所見 |
翌日の消毒時には、少し痛みが続いていたそうなので痛み止めを飲んで様子をみていただきます。 腫れは気にならないとのことでした。 |
CASE 44


基本情報
| 年齢・性別 | 30代・男性 |
|---|---|
| 主訴 | 右下の歯に違和感がある |
| 抜歯時間 | 60分 |
| 抜歯費用 |
約5,000円(保険診療3割負担) 別途CT撮影代金3,500円 (2024年2月現在) |
| 治療内容 | 右下の親知らずの半埋伏抜歯 |
| 治療方針 | 右下親知らずが斜めに生えていて、一部が埋まっている状態です。 この状態で放置すると手前の歯が虫歯になるリスクが高いため、親知らずの抜歯を提案しました。 親知らずの頭を先に削り分割しながら抜歯を行いました。 |
| 特記事項 | 抜歯後2~3日をピークに腫れます。 個人差はありますが、痛み・腫れが落ち着くまで大体1~2時間かかることがあります。 |
| 担当者所見 |
翌日の傷口の確認では治癒良好でした。 硬い歯ブラシでは傷口付近の歯磨きが難しいということで、やわらかめの歯ブラシを処方し傷口に触れないよう磨いていただきます。 |
CASE 45


基本情報
| 年齢・性別 | 30代・男性 |
|---|---|
| 主訴 | 右下の歯に違和感がある |
| 抜歯時間 | 30分 |
| 抜歯費用 |
約2,500円(保険診療3割負担) 別途CT撮影で3,500円 (2024年1月現在) |
| 治療内容 | 右下親知らずの半埋伏抜歯 |
| 治療方針 | 歯ぐきから少しだけ親知らずが生えている状態では汚れが溜まりやすく、ご自身でのケアが難しいです。 また、歯ぐきが覆っている部分をかんでしまったり、炎症を繰り返す可能性があるため抜歯を提案しました。 |
| 担当者所見 |
右下親知らずが斜めに生えていて、親知らずの頭が少し出ている状態です。 親知らずが歯ぐきに一部埋まっていたため、歯ぐきを少し切開し抜歯を行いました。 1週間~2週間後に傷口の治癒状態を確認し抜糸します。次回は右上親知らずの抜歯を行います。 |
CASE 46


基本情報
| 年齢・性別 | 20代・男性 |
|---|---|
| 主訴 | 右上下の親知らず同時抜歯を希望。 |
| 抜歯時間 | 30分 |
| 抜歯費用 | 合計約8,500円 約5,000円(保険診療3割負担) 別途CT撮影代金3,500円 (2024年3月現在) |
| 治療内容 | 右上下の半埋伏抜歯 |
| 治療方針 | 右上下ともに斜めに生えていて、頭の部分が歯ぐきから少しだけ出ている状態です。 右下は歯ぐきを切開、歯を削り割って抜歯を行いました。 |
| 担当者所見 |
2日後の消毒時では少し腫れている感覚があり、痛み止めがあれば日常生活に困らないとのことでした。 腫れのピークは抜歯より2~3日後、痛みが落ち着くまで1週間前後かかる(個人差があります)ので次回の抜糸時まで様子をみていただきます。 |
CASE 47


基本情報
| 年齢・性別 | 20代・女性 |
|---|---|
| 主訴 |
主訴:親知らずを抜きたい 治療部位:右下の親知らず |
| 抜歯時間 | 30分 |
| 抜歯費用 |
合計約6,500円 ■内訳 ・CT撮影費用 約3,000円 ・抜歯費用 約3,500円 (2024年1月現在) |
| 治療内容 | 右下8番埋伏抜歯 |
| 治療方針 |
右下の親知らずを抜歯希望で来院された患者さまです。 下顎の神経との位置関係を把握するためにまずCT撮影をしました。その後局所麻酔を十分に行い、歯ぐきを切開して骨を少し削り抜歯を行いました。切開した歯ぐきを縫合して終了しました。 |
| 特記事項 | ・抜歯に対して不安はありませんでした。 ・歯の形やはえ方などの状態により、一度で抜けない場合があります。 |
| 担当者所見 | 抜歯後、抜歯窩に汚れが溜まりやすく細菌感染する恐れがあるため、柔らかい歯ブラシなどで優しく磨き清潔に保ちましょう。 |
CASE 48


基本情報
| 年齢・性別 | 20代・女性 |
|---|---|
| 主訴 |
主訴:左右上の親知らずを抜きたい 治療部位:左右上の親知らず |
| 抜歯時間 | 60分 |
| 抜歯費用 |
合計約10,000円(保険診療3割負担) ■内訳 ・約3,500円 2本 ・別途CT撮影で3,000円 (2024年7月現在) |
| 治療内容 | 左右上の親知らず完全埋伏抜歯 |
| 治療方針 |
患者さまは左右上の親知らずが残っているのが気になるとのことで抜歯を希望されました。 左右とも完全埋伏歯でしたので上顎洞とその周囲組織との位置関係を把握するためCTを撮影しました。 麻酔を十分に効かせた上で、歯ぐきの切開から行いました。最後は縫合して処置終了です。 抜歯の際、上顎洞に大きく触れたため鼻症状が出る可能性が高いことをお伝えしました。 抜糸時に抜歯禍に問題がないことを確認し、鼻症状も出ていないとのことでした。 酷い腫れと痛みは出たが2週間弱程で治ったとのことです。 今後は定期検診で経過観察を行っていく予定です。 |
| 特記事項 | 上顎の完全埋伏歯で上顎洞にかなり近接していましたのでこちらからは抜歯は提案しませんでしたが、気になるとのことで抜歯することとなりました。 |
| 担当者所見 | 抜歯後の鼻症状が出るリスクがかなり高いことをより詳しく説明しました。 |
CASE 49


基本情報
| 年齢・性別 | 20代・男性 |
|---|---|
| 主訴 | 主訴:右下の親知らずが痛い 部位:右下8番 |
| 抜歯時間 | 60分 |
| 抜歯費用 | 合計:約9,500円(保険診療3割負担) ■内訳 ・初診検査:約3,000円 ・普通抜歯:約2,000円 ・CT撮影費用:約3,000円 ・全顎スケーリング:約1,500円 (2024年8月現在) |
| 治療内容 | 右下8番埋伏抜歯 |
| 治療方針 | 右下の親知らずが痛いとのことでご来院された患者さまです。約1ヶ月前から痛みが出たり治ったりを繰り返していたそうです。 当日抜歯を希望されたので初診検査後、周囲組織との位置関係を確認するため、CT撮影を行いました。その後麻酔をよく効かせて抜歯を進めていきました。 抜歯後、感染予防のため全顎スケーリングをして終了しました。 |
| 特記事項 | ・歯科受診3年ぶり ・右上、左下の親知らずも今後抜歯予定 |
| 担当者所見 | 親知らずの周りの歯ぐきが腫れて痛みがでている状態を「智歯周囲炎」と言います。 智歯周囲炎は多くの場合、数日から1週間で痛みが引いてきますが、免疫力の低下などにより症状が再発することがあります。 |
CASE 50


基本情報
| 年齢・性別 | 40代・男性 |
|---|---|
| 主訴 | 主訴:親知らずを抜きたい 治療部位:左上の親知らず |
| 抜歯時間 | 30分 |
| 抜歯費用 | 約2,000円 (保険診療3割負担) (2024年8月現在) |
| 治療内容 | 左上8番抜歯 |
| 治療方針 | 左上8番抜歯、今後は定期検診で経過を確認していきます。 オープンバイトで臼歯部しか咬合して(かみ合って)いないため、ナイトガードを使用していただきます。 |
| 特記事項 | ・高血圧薬服用中のため、止血を十分に確認後終了しました。 |
| 担当者所見 | 左上の親知らずは完全に萌出して(生えて)いましたが、左下が水平埋伏で咬合して(かみ合って)おらず、歯ブラシも当たりづらいため抜歯をご提案させていただきました。 |
CASE 51


基本情報
| 年齢・性別 | 40代・男性 |
|---|---|
| 主訴 | 主訴:親知らずを抜きたい 治療部位:左上下の親知らず |
| 抜歯時間 | 60分 |
| 抜歯費用 | 合計 約9,000円 ■内訳 ・CT撮影費用 約3,000円 ・普通抜歯 約2,500円 ・埋伏抜歯 約3,500円 (2024年10月現在) |
| 治療内容 | 左上下親知らず抜歯 |
| 治療方針 | 親知らずを抜きたいとのことでご来院された患者さまです。左下の親知らずは半分生えてきている状態で咬合面が虫歯になっていました。 痛みなどの自覚症状は無かったとのことです。左上の親知らずは真っ直ぐ生えていますが、ブラッシングが行き届いておらず汚れが溜まっている状態だったため左上下一緒に抜歯を行いました。 |
| 特記事項 | ・約5年ぶりの歯科受診 |
| 担当者所見 | 左下の親知らずは下顎管に近接していたため、下歯槽神経麻痺のリスクを患者さまにご説明しました。 また、周囲の神経との位置関係を把握するため、CT撮影を行いました。 |
CASE 52


基本情報
| 年齢・性別 | 30代・女性 |
|---|---|
| 主訴 | 主訴:親知らず抜きたい 治療部位:右下の親知らず |
| 抜歯時間 | 約60分 |
| 抜歯費用 | 合計 約6,500円 ■内訳 ・埋伏抜歯 約3,500円 ・CT撮影費用 約3,000円 (2024年10月現在) |
| 治療内容 | 右下8番埋伏抜歯 |
| 治療方針 |
矯正を始めるため、親知らずを抜きたいとの事でご来院された患者さまです。完全に埋まっていて真横に生えている親知らずでした。 まず周囲組織との位置関係を把握するためにCT撮影を行いました。その後麻酔を十分効かせてから抜歯をしていきました。 |
| 特記事項 | ・抜歯後は感染しやすいため必ず処方された抗生物質を飲み切ってください。 |
| 担当者所見 |
左下の親知らずを約10年前に抜歯した際、大変だったとのことで今回も少し緊張されているようでした。 歯冠を分割して抜歯を行ったためスムーズに進み、患者さまも安心されていました。 |
CASE 53


基本情報
| 年齢・性別 | 20代・男性 |
|---|---|
| 主訴 | 主訴:親知らずを抜きたい 治療部位:右上下の親知らず |
| 抜歯時間 | 約60分 |
| 抜歯費用 | 合計 約10,000円 ■内訳 ・埋伏抜歯 約3,500円 ×2本 ・CT撮影費用 約3,000円 (2024年10月現在) |
| 治療内容 | 右上下8番埋伏抜歯 |
| 治療方針 | 親知らずを抜きたいとのことでご来院された患者さまです。数年前に矯正治療を終了しており、埋まっている4本の親知らずを抜歯したいとのご相談でしたので右の上下親知らずから進めていきました。 麻酔を十分効かせてから、歯ぐきを切開し右下は、真横に生えていたため歯冠を分割して抜歯を行いました。最後に切開した歯ぐきを縫合して終了しました。 |
| 特記事項 | 必ずしも親知らずを抜歯した方が良いということはありませんが、親知らずが手前の方向に力をかけて歯並びが矯正治療前に戻りやすくなる可能性があるので患者さまも早めの抜歯を希望されました。 |
| 担当者所見 | 抜歯後は、多少の腫れと痛み止めでしのげる程度の痛みだったとのことです。次回は左上下の親知らずを抜歯予定です。 |
CASE 54


基本情報
| 年齢・性別 | 20代・男性 |
|---|---|
| 主訴 | 主訴:左下の親知らずを抜きたい。 治療部位:左下の親知らず |
| 抜歯時間 | 60分 |
| 抜歯費用 | 合計6,500円 ■内訳 ・CT撮影費用 約3,000円 ・抜歯費用: 約3,500円 (2024年10月現在) |
| 治療内容 | 左下親知らず埋伏抜歯 |
| 治療方針 | 親知らずを抜きたいと来院された患者さまです。親知らずの位置関係を把握するためにまずCT撮影をしました。 麻酔後、歯ぐきに埋まっていた部位をメスで切開して骨を削り、親知らずを抜歯しました。抜歯後は切開部を縫合し終了しました。 |
| 特記事項 | 出血が多く見られたため、止血を確認してから終了しました。 |
| 担当者所見 | 抜歯後、汚れが溜まり炎症が起きやすいので優しくブラッシングしていただき定期検診で経過観察をしていきます。 |
CASE 55


基本情報
| 年齢・性別 | 20代・男性 |
|---|---|
| 主訴 | 主訴:親知らずを抜きたい 治療部位:左右上下の親知らず |
| 抜歯時間 | 約60分 |
| 抜歯費用 | 合計約8,500円 ■内訳 ・埋伏抜歯 約3,500円 ・普通抜歯 約2,000円 ・CT撮影費用 約3,000円 (2024年10月現在) |
| 治療内容 | 左下親知らず埋伏抜歯 |
| 治療方針 | 親知らずを抜きたいとのことでご来院された患者さまです。左右上下4本、抜歯を希望されていたので左右に分けて進めていくことにしました。 まず親知らずと周囲組織との位置関係を確認するためにCT撮影を行い、その後麻酔を十分に効かせてから進めていきました。 左下の親知らずは真横に埋まっていたため、歯ぐきを切開し歯の周囲の骨を削り歯冠(歯の頭)を割って抜歯を行いました。 左上は真っ直ぐ生えていたのですぐに抜くことができました。今度は経過を見て右上下の親知らずも抜歯していきます。 |
| 特記事項 | 矯正治療を約1ヶ月前から開始しており、通われている矯正歯科からのご紹介でご来院されました。 |
| 担当者所見 | ワイヤーやブラケットの周りは汚れが残りやすいので、今後は抜歯窩の治りをみながら歯ブラシの仕方を一緒に確認していこうと思います。 |
CASE 56


基本情報
| 年齢・性別 | 20代・男性 |
|---|---|
| 主訴 | 主訴:親知らずを抜きたい 治療部位:右上下の親知らず |
| 抜歯時間 | 約60分 |
| 抜歯費用 | 合計 約8,000円 ■内訳 ・普通抜歯 約2,500円×2本 ・CT撮影費用 約3,000円 (2024年10月現在) |
| 治療内容 | 右上下8番抜歯 |
| 治療方針 | 親知らずを抜きたいとの事でご来院された患者さまです。 右下は真っ直ぐ、左下は斜めに歯の頭(歯冠)が半分生えておりどちらも歯周ポケットが4mmと深い状態でした。 左右上下4本とも抜歯を希望されていたので右の上下から進めていきました。右上下は真っ直ぐ生えていたため時間を要することなく抜歯できました。 |
| 特記事項 | 処方された抗生物質は必ず飲み切ってください。 |
| 担当者所見 | 翌日の消毒では痛みや腫れも少なく食事もしっかり出来ているとの事でした。今後治癒の経過を見て左上下の親知らず抜歯も進めていきます。 |
CASE 57


基本情報
| 年齢・性別 | 20代・女性 |
|---|---|
| 主訴 | 主訴:歯が痛い 治療部位:左上下の親知らず |
| 抜歯時間 | 約60分 |
| 抜歯費用 | 合計 約9,000円 ■内訳 ・埋伏抜歯 約3,500円 ・普通抜歯 約2,500円 ・CT撮影費用 約3,000円 (2024年11月現在) |
| 治療内容 | 左上下8番抜歯 |
| 治療方針 | 左下の奥歯が痛いとのことでご来院された患者さまです。 1年以上前に他の歯科医院を受診し親知らずの周りに汚れが溜まって痛みが出るかもしれないと話があったとのことでした。そこから痛みがあったり治ったりを繰り返していたそうです。 抜歯を行う前にまず歯と周囲との位置関係を確認するためのCT撮影を行いました。左下は完全に埋まっていたため、歯ぐきを切開し、歯冠を分割して抜歯を進めていきました。切開した歯ぐきは最後に縫合して終了しました。 |
| 特記事項 | 処方された抗生物質は必ず飲み切ってください。 |
| 担当者所見 | 上下左右の親知らず4本抜歯を希望されたため患者さまと相談の上、特に痛みがあった左上下から抜歯を進めていくことにしました。 次回以降、抜歯窩の治癒経過をみながら右上下の親知らず抜歯も進めていきます。 |
CASE 58


基本情報
| 年齢・性別 | 80代・女性 |
|---|---|
| 主訴 | 主訴:左下の親知らずを抜きたい 治療部位:左下の親知らず |
| 抜歯時間 | 約30分 |
| 抜歯費用 | 約2,500円 (2024年11月現在) |
| 治療内容 | 左下8番抜歯 |
| 治療方針 | 左下の親知らずは初診で来院された時から根面板の状態でそのまま様子を見ていたのですが、数日前に歯ブラシをしていた際、根面板が取れてしまったとの事で抜歯することにしました。 |
| 特記事項 | ・骨粗鬆症、高脂質症の薬を服薬中 |
| 担当者所見 | 抜歯後、当日は痛み止めを服用したが翌日以降は腫れもなく痛みもひいたとのことでした。今後は定期検診で様子をみていきます。 |
CASE 59


基本情報
| 年齢・性別 | 20代・女性 |
|---|---|
| 主訴 | 主訴:親知らずを抜きたい 治療部位:左上の親知らず |
| 抜歯時間 | 約30分 |
| 抜歯費用 | 約2,500円 (2024年11月現在) |
| 治療内容 | 左上8番親知らず抜歯 |
| 治療方針 | 親知らずを抜きたいとご来院された患者さまです。左上の親知らずが生えてきて口が開けづらいとのことで抜歯することにしました。 真っ直ぐ生えていたため時間を要することなく終わりました。 |
| 特記事項 | ・普段から食いしばりが強く、元々口が開きにくい。 |
| 担当者所見 | 翌日の消毒では痛み、腫れなく経過良好でした。 |
CASE 60


基本情報
| 年齢・性別 | 30代・男性 |
|---|---|
| 主訴 | 主訴:親知らずを抜きたい 治療部位:左上下の親知らず |
| 抜歯時間 | 約30分 |
| 抜歯費用 | 合計 約5,000円 ■内訳 普通抜歯 約2,500円×2本 (2024年11月現在) |
| 治療内容 | 左上下8番抜歯 |
| 治療方針 | 親知らずを抜きたいとの事でご来院された患者さまです。 痛みなどの症状は無く、歯の表面が黒くなっているため抜歯を希望されました。上下ともにまっすぐ生えており、時間を要することなく終わりました。 |
| 特記事項 | ・歯科受診約5年ぶり |
| 担当者所見 | 今後、左上下の抜歯窩の治りを確認しながら、虫歯と歯周病の治療を進めていき、左上下が治癒してきたら右上下の親知らずも抜歯予定です。 |
CASE 61


基本情報
| 年齢・性別 | 20代・男性 |
|---|---|
| 主訴 | 主訴:右下の親知らずが痛い 治療部位:右下の親知らず |
| 抜歯時間 | 約60分 |
| 抜歯費用 | 合計 約6,500円 ■内訳 ・抜歯費用 約3,500円 ・CT撮影費用 約3,000円 (2024年11月現在) |
| 治療内容 | 右下8番埋伏抜歯 |
| 治療方針 | 右下の親知らずが痛いとの事でご来院された患者さまです。 右下の親知らずは4分の1程生えていたため磨きづらく、周りに汚れが溜まり歯ぐきが腫れている状態でした。周囲組織との位置関係を把握するため、CT撮影を行い、麻酔をよく効かせてから抜歯を進めていきました。 今後は右下の治癒経過を確認しながら他の部位の虫歯治療を進めていきます。 |
| 特記事項 | 約6年前に矯正治療を終え、その時以来ぶりの歯科医院受診。 |
| 担当者所見 | 歯ぐきの炎症が強い場合や膿が溜まっている場合は、麻酔が効きにくいことがあります。 その場合は一度周囲をクリーニングし、内服薬で炎症を鎮めてから治療を行います。 |
CASE 62


基本情報
| 年齢・性別 | 20代・男性 |
|---|---|
| 主訴 |
主訴:親知らず抜きたい 治療部位:右上下の親知らず |
| 抜歯時間 | 約60分 |
| 抜歯費用 | 合計 約8,500円 ■内訳 ・CT撮影費用 約3,500円 ・埋伏抜歯 約3,000円 ・普通抜歯 約2,000円 (2024年11月現在) |
| 治療内容 | 右上下8番抜歯 |
| 治療方針 | 親知らずを抜きたいとの事でご来院された患者さまです。 右上の親知らずはまっすぐ生えており、右下の親知らずは真横に完全に埋まっている状態でした。右下は歯ぐきを切開し、周囲の骨を削り、歯を分割して抜歯しました。最後に切開した歯ぐきを縫合して終了しました。 |
| 特記事項 | 周囲組織との位置関係を把握するためにCT撮影を行い、麻酔をよく効かせてから抜歯を進めていきました。 |
| 担当者所見 | 今後、右側の治癒経過を見ながら左上下の親知らずも抜歯予定です。 |
CASE 63


基本情報
| 年齢・性別 | 20代・男性 |
|---|---|
| 主訴 | 右下の親知らずを抜きたい。 |
| 抜歯時間 | 60分 |
| 抜歯費用 | 合計6,500円 ■内訳 ・CT撮影費用 約3,000円 ・抜歯費用 3,500円 (2024年12月現在) |
| 治療内容 | 右下親知らず埋伏抜歯 |
| 治療方針 | 腫れ、痛みがあり右下の親知らずを抜きたいと来院された患者さまです。口腔内を清潔にするためにまずクリーニングをしました。 その後、親知らずの位置関係を把握するためにCT撮影をし、麻酔を効かせ歯ぐきをメスで切開して抜歯をしました。 |
| 特記事項 | 抜歯後来院された時は痛みはないとのことでした。 |
| 担当者所見 | 奥歯は歯ブラシが隅々まで届きにくく汚れが溜まりやすいため、定期的なクリーニングや自宅でのブラッシングのやり方を確認し継続して様子を見ていきます。 |
CASE 64


基本情報
| 年齢・性別 | 20代・女性 |
|---|---|
| 主訴 | 左上下の親知らず抜きたい |
| 抜歯時間 | 60分 |
| 抜歯費用 | 合計:約8,500円 ■内訳 ・CT撮影費用 約3,000円 ・抜歯費用 上下で約5,500円 (2024年11月現在) |
| 治療内容 | 左下親知らずの埋伏抜歯と左上親知らずの普通抜歯 |
| 治療方針 | 定期的にクリーニングで来院されていましたが、ブラッシングでは届きにくいところに虫歯が出来てしまい抜歯を希望された患者さまです。 位置関係の確認の為CT撮影をしました。その後麻酔をして下顎は埋まっているため、メスで切開をして骨と歯を削り抜歯しました。上顎は専用の器具を使い抜歯しました。 |
| 特記事項 | 抜歯後は感染しやすいため、処方された抗生物質は全て飲み切りましょう。 |
| 担当者所見 | カリエスリスクが高いため現在も一ヶ月に一回は来院していただきクリーニングを行っています。 お家でのケアが特に重要であるためブラッシングを頑張りましょう。 |
CASE 65


基本情報
| 年齢・性別 | 30代・女性 |
|---|---|
| 主訴 | 主訴:親知らず抜きたい 治療部位:左上の親知らず |
| 抜歯時間 | 約30分 |
| 抜歯費用 | 約2,500円 (2024年12月現在) |
| 治療内容 | 左上8番抜歯 |
| 治療方針 | 左上の親知らずを抜歯後、残ってる部位の虫歯治療と歯周病治療を並行して行っていく予定です。 |
| 特記事項 | ・歯科恐怖症 |
| 担当者所見 | 抜歯に少し恐怖心があり、定期検診で様子を見ていましたが、歯ブラシが当てづらく虫歯のリスクが高いため抜歯をご提案しました。 当日、時間を要することなく抜けたので患者さまも安心されていました。 |
CASE 66


基本情報
| 年齢・性別 | 20代・男性 |
|---|---|
| 主訴 | 主訴:親知らずを抜きたい 治療部位:左下の親知らず |
| 抜歯時間 | 約60分 |
| 抜歯費用 | 合計 約6,500円 ■内訳 ・埋伏抜歯 約3,500円 ・CT撮影費用 約3,000円 (2024年12月現在) |
| 治療内容 | 左下8番抜歯 |
| 治療方針 | 親知らずを抜きたいとのことでご来院された患者さまです。 右下と左下に埋まっている状態で、左下は4分の1程生えていたため先に抜歯を行うことにしました。 まず周囲組織との位置関係を把握するためにCT撮影をしました。横向きに埋まっていたため、歯の頭と根の部分を分割して抜歯を進めていきました。 翌日の消毒では多少の腫れはありましたが、特に問題ないとの事でした。 |
| 特記事項 | 親知らずの抜歯前は感染予防としてお口の中の環境を出来るだけ良くするため、ブラッシング指導やクリーニングを行うことがあります。 |
| 担当者所見 | 左下の抜歯後、治癒経過を確認しながら右下の親知らずを抜くタイミングについて今後患者さまとご相談していきます。 |
CASE 67


基本情報
| 年齢・性別 | 40代・男性 |
|---|---|
| 主訴 | 右上下の親知らず |
| 抜歯時間 | 60分 |
| 抜歯費用 | 合計 約8,500円 ■内訳 ・CT撮影費用 約3,000円 ・抜歯費用 上顎(埋伏) 約3,500円 ・抜歯費用 下顎(普通) 約2,000円 (2025年1月現在) |
| 治療内容 | 右上親知らずの埋伏抜歯と右下親知らずの普通抜歯 |
| 治療方針 | 親知らずを抜きたいと来院された患者さまです。 麻酔をした後上顎の歯はメスで切開をし骨を削り抜歯をしました。切開部は最後縫合しました。 下顎の歯は専用の器具を使い少しずつ力をかけて抜歯しました。 |
| 特記事項 | 抜歯後痛みは無かったとのことです。 |
| 担当者所見 | 満遍なく歯ブラシを当てることが苦手な患者さまなので抜歯前にブラッシング指導を行いました。 抜歯後は感染しやすいので歯ブラシは怠らずにしましょう。 |
CASE 68


基本情報
| 年齢・性別 | 30代・男性 |
|---|---|
| 主訴 | 左上下親知らず |
| 抜歯時間 | 60分 |
| 抜歯費用 | 合計 約8,500円 ■内訳 ・CT撮影費用 約3,000円 ・抜歯費用 上顎(普通) 約2,000円 ・抜歯費用 下顎(埋伏) 約3,500円 (2025年1月現在) |
| 治療内容 | 左上親知らずの普通抜歯と左下親知らずの埋伏抜歯 |
| 治療方針 | クリーニング希望で来院された患者さまです。 左下の親知らずは他院で治療中でしたが放置してしまい虫歯になっていました。親知らずはどうしても歯ブラシが届きにくいので虫歯になってしまう可能性が高く、今回は抜歯しました。 まずCT撮影して親知らずの位置関係を調べました。麻酔を効かせた後左下は切開し抜歯して左上は専用の器具を使い抜歯しました。 |
| 特記事項 | 抗生剤は飲み切るようにしましょう。 |
| 担当者所見 | 親知らずを抜いた後は感染しやすいため清潔に保つようにしましょう。 |
CASE 69


基本情報
| 年齢・性別 | 20代・男性 |
|---|---|
| 主訴 | 主訴:親知らずを抜きたい 治療部位:右上の親知らず |
| 抜歯時間 | 60分 |
| 抜歯費用 | 合計 約6,500円 ■内訳 ・CT撮影費用 約3,500円 ・埋伏抜歯 約3,000円 (2025年1月現在) |
| 治療内容 | 右上8番埋伏抜歯 |
| 治療方針 | 右上の親知らずは完全に埋まっていたため、定期検診で様子を見ていましたが、早めに抜いておきたいとの事で抜歯することにしました。 周囲組織との位置関係を確認するためCT撮影を行い、麻酔を十分に効かせてから進めていきました。 |
| 特記事項 | ・上顎の歯は上顎洞(副鼻腔)に接しているため、抜歯の際上顎洞と口腔が交通することがあります。 その場合血液、水、空気が鼻に漏れたり、上顎洞に炎症が起きたりする事があります。 |
| 担当者所見 | 次の日の消毒の際、腫れや痛みはほとんどなく経過良好でした。最後縫合したため約2週間後くらいに抜糸に来て頂きます。 |
CASE 70


基本情報
| 年齢・性別 | 20代・女性 |
|---|---|
| 主訴 | 主訴:親知らずを抜きたい 治療部位:左下の親知らず |
| 抜歯時間 | 60分 |
| 抜歯費用 | 合計 約8,500円 ■内訳 ・初診検査 約3,000円 ・CT撮影費用 約3,000円 ・普通抜歯 約2,500円 (2024年12月現在) |
| 治療内容 | 左下8番抜歯 |
| 治療方針 | 現在ワイヤー矯正中で、通われている矯正歯科から親知らず抜いた方がいいと言われたとご来院されました。 ご本人も親知らずが少し気になっていたようで、たまに下顎の親知らずが痛むとのことで左下の親知らずから抜歯をすることにしました。 次回約2週間後の糸取り時に、右下の親知らずも抜歯する予定です。 |
| 特記事項 | ・他院で矯正治療中 |
| 担当者所見 | 抜糸の際、ワイヤーがついてる部分の歯ブラシの当て方を患者さまと一緒に確認しました。 今後定期検診もこちらで行っていく予定です。 |
CASE 71


基本情報
| 年齢・性別 | 30代・男性 |
|---|---|
| 主訴 | 主訴:親知らずを抜きたい 治療部位:左下の親知らず |
| 抜歯時間 | 60分 |
| 抜歯費用 |
合計:9,500円 ■内訳 抜歯費用:約6,500円 CT撮影:約3,000円 (2025年1月現在) |
| 治療内容 | 右上8番の普通抜歯と右下8番の埋伏抜歯 |
| 治療方針 | 親知らずの痛みで来院された患者さまです。患者さま自身歯ブラシは気をつけてやっているつもりですが、届きにくい親知らずは虫歯になっていたので今回抜歯することになりました。 位置の確認のためCT写真を撮影しました。下顎の歯は横向きで骨に埋まっていたため、十分に麻酔を効かせた後切開し骨を削り歯を分割して抜歯しました。 |
| 特記事項 | 4年以上歯医者に行っていないとの事です。 |
| 担当者所見 | 気をつけていても届かない場所はどうしても汚れが蓄積しやすいです。 親知らずが虫歯になると手前の歯も虫歯になる可能性があるので定期的に歯医者に行き状態を確認しましょう。 |
CASE 72


基本情報
| 年齢・性別 | 20代・男性 |
|---|---|
| 主訴 | 主訴:虫歯になるリスクがあるので親知らず抜いた方が良いと言われた。 治療部位:右上8 |
| 抜歯時間 | 30分 |
| 抜歯費用 |
約2,500円(保険診療3割負担) (2025年2月現在) |
| 治療内容 | 右上8番抜歯 |
| 治療方針 | 虫歯と歯根の肥大が見られたため、歯ぐきを切開し骨を露出させ、歯の周囲の骨を削り抜歯をおこないます。 |
| 特記事項 | 抜歯後、数日経っても鼻から水が漏れる・鼻が詰まるなどの症状が続く場合はご連絡ください。 |
| 担当者所見 | 一番奥の親知らずは歯ブラシが隅々まで届きにくく、虫歯になりやすいです。 今回抜歯を行ったことで、磨きやすくなったと思います。 定期検診でも歯磨きの方法などお伝えしていきますので、他の歯が虫歯にならないようにケアしていきましょう。 |
CASE 73


基本情報
| 年齢・性別 | 20代・男性 |
|---|---|
| 主訴 | 治療部位:右下の親知らず主訴:親知らずを抜きたい 治療部位:右下の親知らず |
| 抜歯時間 | 約60分 |
| 抜歯費用 | 合計:約6,500円(保険診療3割負担) ■内訳 ・CT撮影 約3,500円 ・埋伏抜歯 約3,000円 (2025年2月現在) |
| 治療内容 | 右下8番埋伏抜歯 |
| 治療方針 | ・右下の親知らずを抜きたいとの事でご来院された患者さまです。真横に埋まっており、症状などは無かったのですが早めに抜いておきたいとのご希望でした。 |
| 特記事項 | ・下顎管に近接していた |
| 担当者所見 | 右下の親知らずは下顎管に近接しており、周囲組織との位置関係を確認するため最初にCT撮影を行いました。 |
CASE 74


基本情報
| 年齢・性別 | 30代・男性 |
|---|---|
| 主訴 | 右下親知らず |
| 抜歯時間 | 60分 |
| 抜歯費用 | 合計:約6,500円(保険診療3割負担) ■内訳 ・CT撮影費用 約3,500円 ・抜歯費用 約3,000円 (2025年1月現在) |
| 治療内容 | 右下親知らず埋伏抜歯 |
| 治療方針 | 親知らず抜きたいと来院された患者さまです。CT撮影をして根の形態や位置関係を確認後麻酔を効かせ抜歯をしました。 横向きに生えていたため、メスで歯茎を切開し、骨を削り歯を分割しています。 |
| 特記事項 | 痛みは無かったそうです。 |
| 担当者所見 | 細菌感染しやすいため抗生剤は飲み切りましょう。 |
CASE 75


基本情報
| 年齢・性別 | 50代・男性 |
|---|---|
| 主訴 | 右上の親知らず |
| 抜歯時間 | 30分 |
| 抜歯費用 | 抜歯費用 約2,000円 (2025年1月現在) |
| 治療内容 | 右上親知らずの普通抜歯 |
| 治療方針 |
親知らず抜きたいで来院された患者さまです。右上の親知らずは真っ直ぐ生えていましたが、奥歯まで歯ブラシが届き難く虫歯になっていました。 抜歯の説明後麻酔を効かせ抜歯をしました。 |
| 特記事項 | 痛みは特に感じなかったそうです。 |
| 担当者所見 | 奥歯は歯ブラシが届きにくく虫歯になりやすいため定期的に歯科医院に受診し磨き方を確認しましょう。 |
CASE 76


基本情報
| 年齢・性別 | 20代・男性 |
|---|---|
| 主訴 | 左上の親知らず |
| 親知らずの生え方 | 真っ直ぐ生えている |
| 抜歯期間 | 30分 |
| 抜歯費用 | 約2,000円(保険診療3割負担) (2025年3月現在) |
| 抜歯内容 | 左上親知らず普通抜歯 |
| リスク・副作用 | 上顎洞と近接しており抜歯後、空気や血液などが鼻から漏れる可能性があります。 |
| 治療方針 | 親知らず抜きたいで来院された患者さまです。 真っ直ぐに生えていたため、麻酔後専用の器具を使い抜歯しました。 |
| 特記事項 | 噛みガーゼは血が止まるまで噛んでいてください。 |
| 担当者所見 | 親知らず抜歯後は感染しないように口腔内を清潔に保ちましょう。 |