お口の痛み

冷たいもので痛い!噛むと痛い!どこかわからないけどとにかく痛い!などお口の中の痛みで悩まれた方は多いのではないでしょうか?

お口の中の痛みといったら虫歯が多いと思われているかもしれませんが、実際は様々な痛みの原因があります。
いくつかの痛みの原因を紹介していきます。

歯がズキズキして痛い!

何もしなくてもズキズキする痛み(自発痛)は虫歯のサインです。
虫歯の分類はC1〜C4に分かれていますが、この自発痛はC2(象牙質まで達した虫歯)orC3(神経まで達した虫歯)の症状が一番に考えられます。

C2であれば神経を取らずに治療を終えることができますが、C3まで虫歯が進行すると残念ながら神経を取って治療をしなければいけなく歯が脆くなる上に治療期間、治療費用もかかってきます。虫歯は痛くなる前に治療することがお勧めです。

虫歯治療について

歯が重い感じがして痛い!

ズーンとした痛み、温かいものを食べると出る痛み、噛むと痛い、歯ぐきを押すと痛いなどの痛みは歯の根っこが感染している感染根先性歯周炎のサインになります。様々な原因により根管が感染し根先の先の骨に膿が溜まっている状況です。

初期であれば根管治療で治りますが、重度になったりあるいは破折などしてしまうと抜歯になり歯を失ってしまいます。
歯を失ってしまうと入れ歯やブリッヂ、インプラントなどで欠損したところを補塡しないと更に歯を失ってしまうループに陥ってしまうためこのような痛みの症状があるときはすぐに歯医者で診てもらったほうがいいです。

根管治療について

歯ぐきが痛いし血が出る!

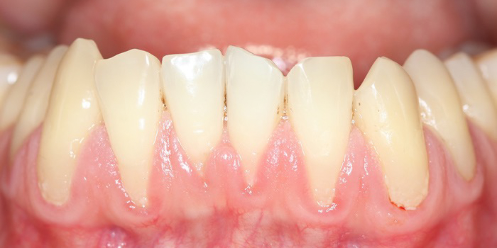
歯ぐきがチクチク痛い、歯ブラシをすると痛いし血が出る、歯がグラグラして痛いなどの痛みは歯肉炎、歯周病のサインです。

歯肉炎であればまだ歯ぐきでおさまっている炎症のため歯磨きや歯石とりで治ることもありますが、歯周病になると骨も溶かしてしまい治すことは極めて難しくなります。最初は歯ぐきがチクチク痛いくらいでもそれが進行すると骨を溶かし、歯が動揺し痛みが出て、口臭もきつくなり最終的には歯が抜け落ちてしまいます。

歯周病は罹ってしまう可能性が高い病気のため、歯磨きの方法の見直しや定期的な歯石とりなどが重要になってきます。

歯周病治療に
ついて

朝晩顎が痛い!

朝起きると顎が痛いし重い、夜仕事終わりになると顎が痛いなどの痛みは歯ぎしり、食いしばりをしているサインです。歯ぎしりしていますか?と聞くとほとんどの方がしてない!と答えますがお口の中を見るとしていることがわかります。ほぼ全ての人が食いしばり、歯ぎしりをしていると思われます。

無意識にしていませんか?

1日24時間の中で歯が触れ合ってる時間はどれくらいが正常だと思いますか?
正解は20分ほどです。この歯が触れ合ってる時間が長ければ長いほど顎に負担がかかってきます。

スマホやパソコンを見ているとき顎を引き下を見ることが多くないですか?
この間も歯は不必要に触れています。

仕事や育児などでストレスを抱える方も多いと思います。歯ぎしりや食いしばりは顎が痛くなるだけではなく、歯がすり減る、虫歯になりやすくなる、詰め物が欠けるなど様々な良くないことが起こります。しかしこのストレスや無意識に行なっていることをなくすことはできません。そのため予防が必要になってきます。

一番はマウスピース(ナイトガード)です。薄くて透明なため見た目もそこまで気にならないと思いますので可能な限りつけていてください。他にも筋肉マッサージであったりボトックスも効果があるため気になる方はご気軽にご相談ください。

歯ぎしりについて ナイトガードに
ついて

知覚過敏でしみて痛い!

アイスを食べるとキーンとした痛みが出る、冷たいものが痛くて飲めない、深呼吸をするとしみて痛いなどの痛みは知覚過敏が考えられます。
知覚過敏の原因は歯ブラシの圧が強かったり歯ぎしり、食いしばりが原因になってきます。

知覚過敏用の歯磨き粉を使用したり、お薬を塗ることにより対処的によくすることはできますが、欠けている部分をプラスチックの樹脂で覆ったり、歯磨きの仕方の見直し、ナイトガード使用などをしない限り繰り返し知覚過敏は起きてしまいます。知覚過敏の方は、ホワイトニングすると悪化してしまう可能性があるので要注意です!

知覚過敏について 歯ぎしり・食いしばりについて ホワイトニングについて

親知らずが痛い!

親知らずが痛い、親知らずの周りの歯ぐきが痛い、親知らずから喉の方まで腫れて痛いという方は親知らずの抜歯を検討されたほうがいいと思います。痛みの強い際は炎症を抗生物質や消毒でおさえてから後日抜歯になります。

当院をはじめ、当法人では親知らず抜歯の経験豊富なドクターが多いため、難しいと言われた親知らずでも一度ご相談ください。

親知らずについて

詰めたところがしみて痛い!

虫歯治療で治したばかりなのに痛い!虫歯が取りきれていないんじゃないの?せっかくセラミック入れたのにしみて痛い!という方も多いんじゃないでしょうか?
決して虫歯を取りきってないから痛みが出ているわけではありません。虫歯治療ではしっかりと検査薬なども使い虫歯を取りきります。

痛みの原因は、詰め物を入れた刺激

痛みの原因は、詰め物を入れた刺激がほとんどです。当然歯を削れば削るほど神経に近くなり少しの刺激でも痛みを感じます。 しかしこの刺激により歯は防御反応を起こし神経の上層に新たな歯を作ります。これが第二象牙質といわれるものであり神経と詰め物の間に厚みができます。人それぞれこの第二象牙質ができる時間は異なりますがこの厚みにより刺激は伝わりにくくなり痛みが減っていきます。

あまりにもズキズキするようなことがあれば肉眼では確認できないような形で神経まで達している可能性もあり、その場合は神経の治療が必要になります。

虫歯治療について セラミック治療について

被せたところが噛むと痛い!

被せたところが普段痛くないが噛むと痛い、何かズーンと重い感じがする場合は被せ物の高さが高い可能性があります。被せ物は噛み合う面が全て人工のもののため噛み合わせの調整がとても重要になります。噛み合わせが高いと歯根膜炎と呼ばれる歯のクッション材が炎症を起こした状態になることがあります。しかしこれは噛み合わせの調整と抗生物質で数日で引いてくことがほとんどです。

一番厄介なのが昔入れた被せ物の場所が噛むと痛いパターンです。これは根の先で膿が溜まってきているか歯が破折している可能性があります。この場合は治療に時間がかかってくるため違和感があったらすぐにご連絡ください。

クラウンについて 根管治療について

口内炎ができて痛い!

下や頬にぷくっとしたものができて痛い、熱いものが痛いなどは口内炎が考えられます。口内炎は治すのに特別な治療は必要ありません。またすぐに治るものでもありません。塗り薬を塗っていただき、ビタミンをとって安静にしていただきます。
治るまではちょっとした刺激で痛みが出るため刺激物は口にしないほうがいいと思います。

仮蓋が痛い!

型どりしたところがズキズキして痛い!型どりしたところが噛むと痛い!下や頬が痛い!などの痛みは仮蓋に原因があります。
ズキズキするような痛みや染みるような痛みであれば仮蓋がしっかり覆われていない、噛むと痛い場合は仮蓋が高い、頬や舌が痛い場合は仮蓋が周りに溢れているなどが考えられます。

1週間ほどその状況が続くのは苦痛だと思いますのですぐにご連絡ください。

インレーについて

舌がヒリヒリして痛い!

朝起きると舌がヒリヒリして痛い!舌が擦れて痛い!などの痛みに関しては色々な可能性が考えられます。
歯ぎしり食いしばりにより舌に刺激を与え続け痛みが出ている、歯が欠けていたり詰め物や仮蓋が合っていなく舌が擦れ痛みが出ている、口内炎による痛みなどがあります。舌の痛みに関しては原因をはっきりさせるのが難しいですがまずは受診をお勧めします。

歯ぎしり・食いしばりについて ナイトガードについて

矯正をしていて痛い!

矯正していて痛い!器具が刺さって痛い!器具が外れて痛い!などの矯正独特の痛みがあると思います。当然歯を動かすにはかなりの力がかかり矯正中は痛みが伴うものです。器具が外れたケースでは矯正医に見ていただくしかないですが器具が刺さって痛いケースに関しては対処することができることもあります。
一番はかかりつけの矯正の先生に診てもらうことですが予約の関係などで診てもらうのに時間がかかる場合は一度ご相談ください。

矯正歯科について

まとめ

お口の中の痛みは様々な原因が考えられます。ちょっとした我慢できる痛みを放置することにより更に辛い思いをしたことがある人はたくさんいます。もし少しでも該当することがあればいつでもご連絡ください。